Primary Antibodies
Secondary Antibodies
Proteins & Peptides
ELISA Kits
About Us
Contact Us
Sign In/Register
0
ISO 9001:2015 Certified
Live Customer Support
4.5/5 on Trustpilot
100% Quality Guarantee
Home
Primary Antibodies
CLCA1 Antibodies
Anti-CLCA1 Antibody (A35061)
Anti-CLCA1 Antibody (A35061)
Overview
Specifications
Images
Enlarge Image
Enlarge Image
Enlarge Image
$645
Product Datasheet
Rabbit polyclonal antibody to CLCA1 for WB, IHC and ICC/IF.
100% Guarantee
Price Match Guarantee
Product Size:
100µl
Quantity:
1
2
3
4
5
6
7
8
9
10
Add To Cart
Request a Quotation
Custom or Bulk Request
Shipping Information
Freight/Packing Charges:
$40
Dispatched from St. Louis, MO.
Lead Time: 6-9 business days.
Specifications
Name
Anti-CLCA1 Antibody
Description
Rabbit polyclonal antibody to CLCA1
Applications
WB
,
IHC
,
ICC/IF
Reactivity
Human
Immunogen
Synthetic peptide contain a sequence corresponding to a region within amino acids 542 and 603 of CLCA1
Host
Rabbit
Clonality
Polyclonal
Conjugate
Unconjugated
Purification
Purified by antigen-affinity chromatography.
Formulation
Supplied in 1XPBS, 1%BSA, 20% Glycerol (pH7.0). 0.01% Thimerosal was added as a preservative.
Storage
Shipped at 4°C. Upon delivery aliquot and store at -20°C. Avoid freeze/thaw cycles.
Synonyms
CaCC-1, CACC1, Calcium-activated chloride channel family member 1, Calcium-activated chloride channel protein 1, Calcium-activated chloride channel regulator 1, hCaCC-1, hCLCA1
Suitable Secondaries
Goat Anti-Rabbit IgG H&L Antibody (AP) (A294874)
Goat Anti-Rabbit IgG H&L Antibody (Biotin) (A294795)
Goat Anti-Rabbit IgG H&L Antibody (FITC) (A294887)
Goat Anti-Rabbit IgG H&L Antibody (HRP) (A294888)
See all Anti-Rabbit IgG Secondaries →
Disclaimer
This product is for research use only. It is not intended for diagnostic or therapeutic use.
Scientific Validation Data
Validation Data
(3)
Enlarge Image
Anti-CLCA1 Antibody (A35061)
Sample (30 µg of whole cell lysate) A431 7.5% SDS PAGE Primary antibody diluted at 1: 1000
Enlarge Image
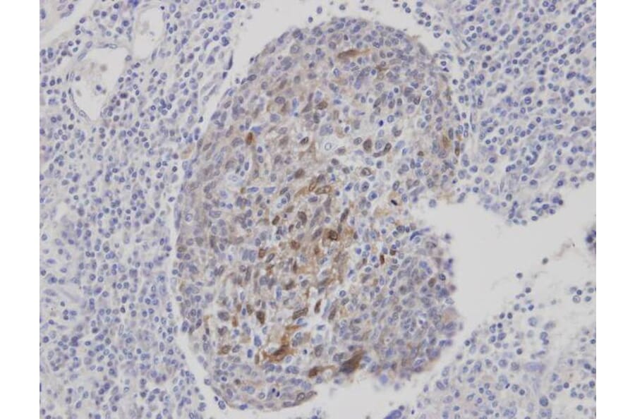
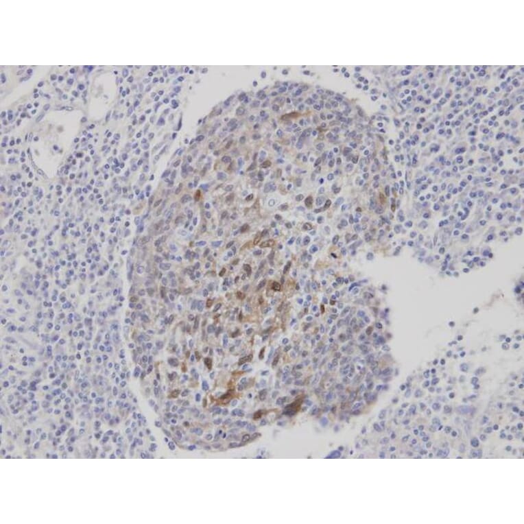
Immunohistochemistry - Anti-CLCA1 Antibody (A35061)
Immunohistochemical analysis of paraffin-embedded gastric CA, using CLCA1 antibody at 1: 100 dilution.
Enlarge Image
Immunofluorescence - Anti-CLCA1 Antibody (A35061)
Immunofluorescence analysis of methanol-fixed A431, using CLCA1 antibody at 1: 200 dilution.
Publishing research using Anti-CLCA1 Antibody (A35061)? Please
let us know
so that we can list the citation on this page.
Alternative products to Anti-CLCA1 Antibody (A35061)
(4)
A91345
Anti-CLCA1 Antibody
Rabbit polyclonal antibody to CLCA1 for WB, IHC and ICC/IF.
A84530
Anti-CLCA1 Antibody
Goat polyclonal antibody to CLCA1 for ELISA and WB.
A83710
Anti-CLCA1 Antibody
Goat polyclonal antibody to CLCA1 for ELISA and WB.
(4)
A91345
Anti-CLCA1 Antibody
Rabbit polyclonal antibody to CLCA1 for WB, IHC and ICC/IF.
A84530
Anti-CLCA1 Antibody
Goat polyclonal antibody to CLCA1 for ELISA and WB.
A83710
Anti-CLCA1 Antibody
Goat polyclonal antibody to CLCA1 for ELISA and WB.
Proteins predicted to interact with CLCA1
Predicted protein interactions based upon String database. Revelancy score correlates with probability of interaction.
TMEM16B Antibodies
93.3% Relevancy Score
CLCA4 Antibodies
91.8% Relevancy Score
SERPINB2 Antibodies
90% Relevancy Score
Periostin Antibodies
89.8% Relevancy Score
TMEM16A Antibodies
87.6% Relevancy Score
CFTR Antibodies
83.8% Relevancy Score
IL-13 Antibodies
78.8% Relevancy Score
FKBP51 Antibodies
77.3% Relevancy Score
FKBP52 Antibodies
74.5% Relevancy Score
Top