Primary Antibodies
Secondary Antibodies
Proteins & Peptides
ELISA Kits
About Us
Contact Us
Sign In/Register
0
ISO 9001:2015 Certified
Live Customer Support
4.5/5 on Trustpilot
100% Quality Guarantee
Home
Primary Antibodies
CLCA4 Antibodies
Anti-CLCA4 Antibody (A37802)
Anti-CLCA4 Antibody (A37802)
Overview
Specifications
Images
Enlarge Image
Enlarge Image
$430
Rabbit polyclonal antibody to CLCA4 for WB and IHC.
100% Guarantee
Price Match Guarantee
Product Size:
100µl
Quantity:
1
2
3
4
5
6
7
8
9
10
Add To Cart
Request a Quotation
Custom or Bulk Request
Shipping Information
Freight/Packing Charges:
$40
Dispatched from St. Louis, MO.
Lead Time: 6-9 business days.
Specifications
Name
Anti-CLCA4 Antibody
Description
Rabbit polyclonal antibody to CLCA4
Specificity
The antibody detects endogenous levels of total CLCA4 protein.
Applications
WB
,
IHC
Reactivity
Human
Immunogen
Fusion protein corresponding to a region derived from internal residues of human Calcium-activated chloride channel regulator 4
Host
Rabbit
Clonality
Polyclonal
Conjugate
Unconjugated
Purification
Antigen affinity purification.
Concentration
0.4 mg/ml
Formulation
Rabbit IgG in pH7.3 PBS, 0.05% NaN3, 50% Glycerol.
Storage
Store at -20˚C
Synonyms
CaCC-2, CaCC2, Calcium-activated chloride channel family member 4, Calcium-activated chloride channel protein 2, Calcium-activated chloride channel regulator 4, Chloride channel accessory 4, hCaCC-2, hCLCA4
Suitable Secondaries
Goat Anti-Rabbit IgG H&L Antibody (AP) (A294874)
Goat Anti-Rabbit IgG H&L Antibody (Biotin) (A294795)
Goat Anti-Rabbit IgG H&L Antibody (FITC) (A294887)
Goat Anti-Rabbit IgG H&L Antibody (HRP) (A294888)
See all Anti-Rabbit IgG Secondaries →
Disclaimer
This product is for research use only. It is not intended for diagnostic or therapeutic use.
Scientific Validation Data
Validation Data
(2)
Enlarge Image
Anti-CLCA4 Antibody (A37802)
Gel: 8% SDS-PAGE Lysate: 40ug 293T cell Primary antibody: 1/200 dilution Secondary antibody dilution: 1/8000 Exposure time: 30 seconds
Enlarge Image
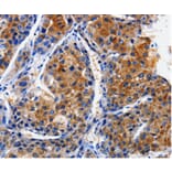
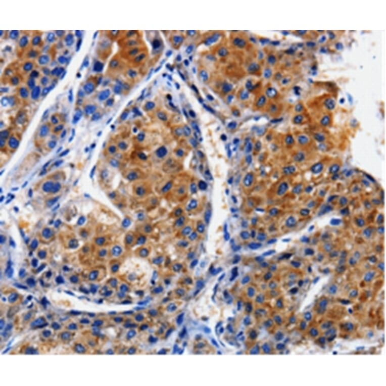
Immunohistochemistry - Anti-CLCA4 Antibody (A37802)
Immunohistochemical analysis of paraffin-embedded Human liver cancer tissue using #35684 at dilution 1/10.
Publishing research using Anti-CLCA4 Antibody (A37802)? Please
let us know
so that we can list the citation on this page.
Alternative products to Anti-CLCA4 Antibody (A37802)
(2)
A308647
Anti-CLCA4 Antibody
Rabbit polyclonal antibody to CLCA4 for WB.
(2)
A308647
Anti-CLCA4 Antibody
Rabbit polyclonal antibody to CLCA4 for WB.
Proteins predicted to interact with CLCA4
Predicted protein interactions based upon String database. Revelancy score correlates with probability of interaction.
TMEM16B Antibodies
98.4% Relevancy Score
TMEM16A Antibodies
94.6% Relevancy Score
CLCA1 Antibodies
91.8% Relevancy Score
CFTR Antibodies
74.7% Relevancy Score
MS4A12 Antibodies
70.6% Relevancy Score
ANO6 Antibodies
65.5% Relevancy Score
Bestrophin 2 Antibodies
60.3% Relevancy Score
Bestrophin 1 Antibodies
58.9% Relevancy Score
Aquaporin 8 Antibodies
56% Relevancy Score
Top