Western Blot - Anti-Cleaved GSDMD Antibody [ARC57994] (A306734)
Western blot analysis of various lysates, using Anti-Cleaved GSDMD Antibody [ARC57994] (A306734) at 1:800 dilution. THP-1 cells were treated by PMA/TPA (80 nM) at 37°C for overnight and LPS (1 µg/ml) at 37°C for 6 hours. The secondary antibody was Goat Anti-Rabbit IgG H&L Antibody (HRP) at 1:10,000 dilution. Lysates/proteins were present at 25µg per lane. The blocking buffer used was 3% non-fat dry milk in TBST. Detection was with a ECL Basic Kit. Exposure time: 180s.
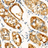
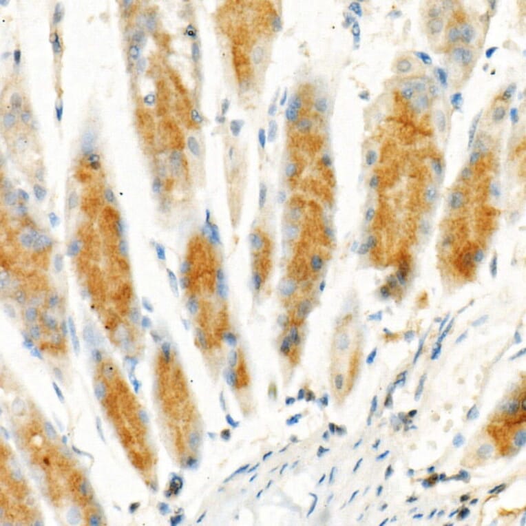
Immunohistochemistry analysis of paraffin-embedded human stomach using Anti-Cleaved GSDMD Antibody [ARC57994] (A306734) at dilution of1:1000(40x lens). Perform high pressure antigen retrieval with 10 mM citrate buffer pH 6.0 before commencing with IHC staining protocol.
Immunohistochemistry analysis of paraffin-embedded human thyroid cancer using Anti-Cleaved GSDMD Antibody [ARC57994] (A306734) at dilution of1:1000(40x lens). Perform high pressure antigen retrieval with 10 mM citrate buffer pH 6.0 before commencing with IHC staining protocol.
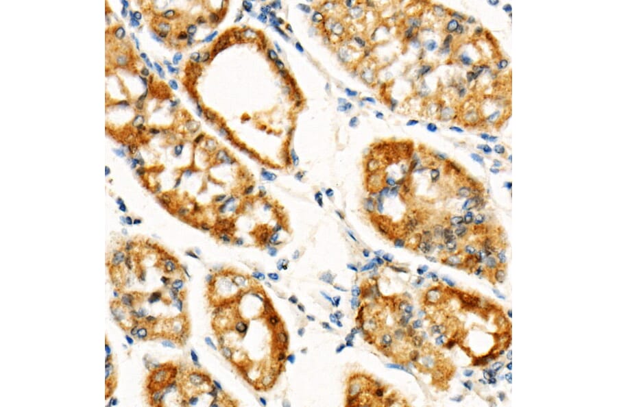
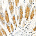
Immunohistochemistry analysis of paraffin-embedded mouse stomach using Anti-Cleaved GSDMD Antibody [ARC57994] (A306734) at dilution of1:1000(40x lens). Perform high pressure antigen retrieval with 10 mM citrate buffer pH 6.0 before commencing with IHC staining protocol.
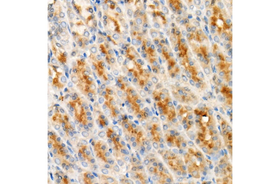
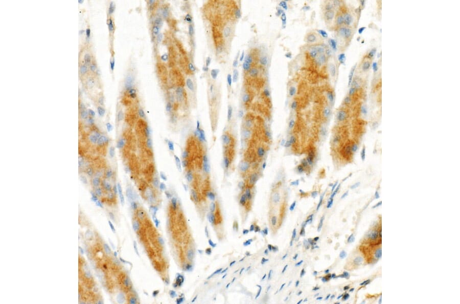
Immunohistochemistry analysis of paraffin-embedded rat stomach using Anti-Cleaved GSDMD Antibody [ARC57994] (A306734) at dilution of1:1000(40x lens). Perform high pressure antigen retrieval with 10 mM citrate buffer pH 6.0 before commencing with IHC staining protocol.