CLEC2D expression in U937 cell lysate analyzed by western blot. Cells were lysed in RIPA buffer and 35µg protein was run per lane. Primary antibody incubation was performed with Anti-CLEC2D Antibody (A286012) at 0.3µg/ml and detected by chemiluminescence.
CLEC2D expression in A431 cells analyzed by immunofluorescence. Cells were permeabilized with 0.15% Triton. Staining was performed with Anti-CLEC2D Antibody (A286012) at 10µg/ml for 1 hour and Alexa Fluor 488 secondary antibody at 2µg/ml. Cytoplasmic/plasma membrane staining shown and nuclei were stained with DAPI (blue). Negative control: Goat IgG Isotype Control at 10µg/ml followed by Alexa Fluor 488 secondary antibody at 2µg/ml.
CLEC2D expression in Jurkat cells (blue line) analyzed by flow cytometry. Cells were fixed in PFA and permeabilized with 0.5% Triton. Staining was performed with Anti-CLEC2D Antibody (A286012) at 10µg/ml for 1 hour and Alexa Fluor 488 secondary antibody at 1µg/ml. Negative Control: Goat IgG Isotype Control (black line) followed by Alexa Fluor 488 secondary antibody.
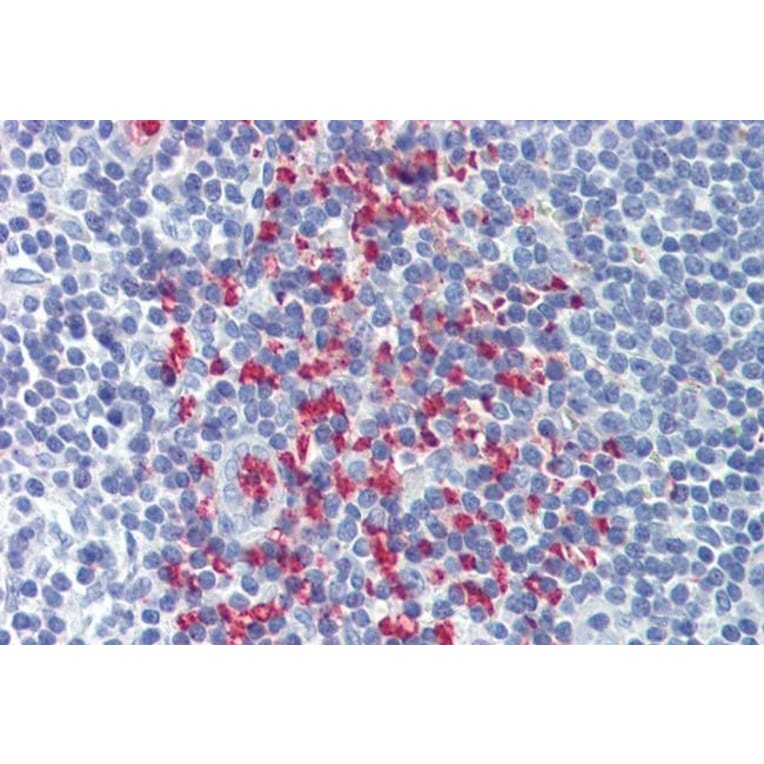
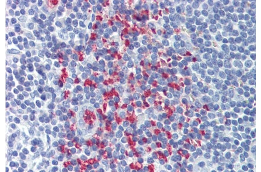
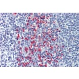
CLEC2D expression in Human Tonsil analyzed by immunohistochemistry. Tissue was paraffin-embedded, and antigen retrieval was achieved by steaming in citrate buffer, pH 6. Staining was performed with Anti-CLEC2D Antibody (A286012) at 3.75µg/ml and revealed with alkaline phosphatase (AP).
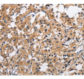
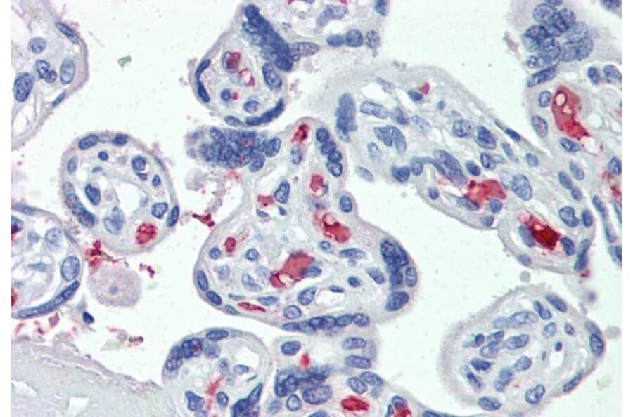
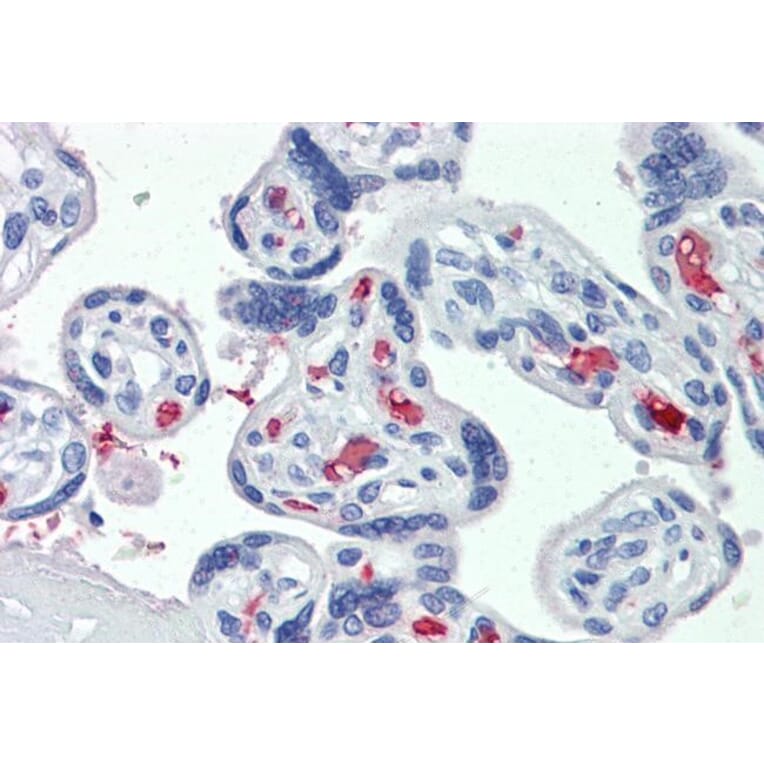
CLEC2D expression in Human Placenta analyzed by immunohistochemistry. Tissue was paraffin-embedded, and antigen retrieval was achieved by steaming in citrate buffer, pH 6. Staining was performed with Anti-CLEC2D Antibody (A286012) at 3.75µg/ml and revealed with alkaline phosphatase (AP).
Recombinant human monoclonal antibody to CLEC2D for use as a research grade ZM008 biosimilar for ELISA, Flow Cytometry, Functional Studies and in vivo Research.
Recombinant human monoclonal antibody to CLEC2D for use as a research grade ZM008 biosimilar for ELISA, Flow Cytometry, Functional Studies and in vivo Research.