Primary Antibodies
Secondary Antibodies
Proteins & Peptides
ELISA Kits
About Us
Contact Us
Sign In/Register
0
ISO 9001:2015 Certified
Live Customer Support
4.5/5 on Trustpilot
100% Quality Guarantee
Home
Primary Antibodies
CLECSF6 Antibodies
Anti-CLEC4A Antibody (A37157)
Anti-CLEC4A Antibody (A37157)
Overview
Specifications
Images
Enlarge Image
Enlarge Image
Enlarge Image
$430
Rabbit polyclonal antibody to CLEC4A for WB and IHC.
100% Guarantee
Price Match Guarantee
Product Size:
100µl
Quantity:
1
2
3
4
5
6
7
8
9
10
Add To Cart
Request a Quotation
Custom or Bulk Request
Shipping Information
Freight/Packing Charges:
$40
Dispatched from St. Louis, MO.
Lead Time: 6-9 business days.
Specifications
Name
Anti-CLEC4A Antibody
Description
Rabbit polyclonal antibody to CLEC4A
Specificity
The antibody detects endogenous levels of total CLEC4A protein.
Applications
WB
,
IHC
Reactivity
Human, Mouse
Immunogen
Fusion protein corresponding to a region derived from internal residues of human C-type lectin domain family 4, member A
Host
Rabbit
Clonality
Polyclonal
Conjugate
Unconjugated
Purification
Antigen affinity purification.
Concentration
0.6 mg/ml
Formulation
Rabbit IgG in pH7.3 PBS, 0.05% NaN3, 50% Glycerol.
Storage
Store at -20˚C
Synonyms
C-type lectin DDB27, C-type lectin domain family 4 member A, C-type lectin superfamily member 6, CD367, DCIR, Dendritic cell immunoreceptor, Lectin-like immunoreceptor, LLIR
Suitable Secondaries
Goat Anti-Rabbit IgG H&L Antibody (AP) (A294874)
Goat Anti-Rabbit IgG H&L Antibody (Biotin) (A294795)
Goat Anti-Rabbit IgG H&L Antibody (FITC) (A294887)
Goat Anti-Rabbit IgG H&L Antibody (HRP) (A294888)
See all Anti-Rabbit IgG Secondaries →
Disclaimer
This product is for research use only. It is not intended for diagnostic or therapeutic use.
Scientific Validation Data
Validation Data
(3)
Enlarge Image
Anti-CLEC4A Antibody (A37157)
Gel: 15+12% SDS-PAGE Lysates (from left to right): RAW264.7, Hela, 823 and A549 cell Amount of lysate: 40ug per lane Primary antibody: 1/300 dilution Secondary antibody dilution: 1/8000 Exposure time: 10 minutes
Enlarge Image
Immunohistochemistry - Anti-CLEC4A Antibody (A37157)
Immunohistochemical analysis of paraffin-embedded Human colon cancer tissue using #35707 at dilution 1/15.
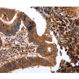
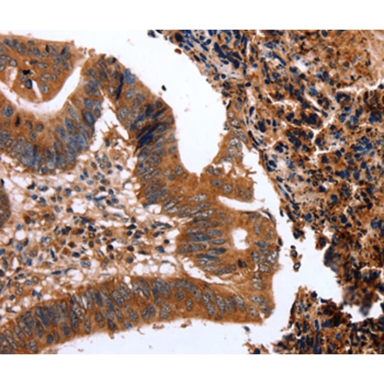
Enlarge Image
Immunohistochemistry - Anti-CLEC4A Antibody (A37157)
Immunohistochemical analysis of paraffin-embedded Human lung cancer tissue using #35707 at dilution 1/15.
Publishing research using Anti-CLEC4A Antibody (A37157)? Please
let us know
so that we can list the citation on this page.
Alternative products to Anti-CLEC4A Antibody (A37157)
(4)
A99306
Anti-CLEC4A Antibody
Rabbit polyclonal antibody to CLEC4A for WB, IHC and ELISA.
(2)
A37323
Anti-CLEC4A Antibody
Rabbit polyclonal antibody to CLEC4A for WB and IHC.
A320676
Annexin V (FITC)
Mouse monoclonal [9E8] antibody to CD367 for ICC, Flow Cytometry and ELISA.
A9076
Anti-CLECSF6 Antibody
Rabbit polyclonal antibody to CLECSF6 for WB.
(4)
A99306
Anti-CLEC4A Antibody
Rabbit polyclonal antibody to CLEC4A for WB, IHC and ELISA.
(2)
A37323
Anti-CLEC4A Antibody
Rabbit polyclonal antibody to CLEC4A for WB and IHC.
A320676
Annexin V (FITC)
Mouse monoclonal [9E8] antibody to CD367 for ICC, Flow Cytometry and ELISA.
A9076
Anti-CLECSF6 Antibody
Rabbit polyclonal antibody to CLECSF6 for WB.
Proteins predicted to interact with CLECSF6
Predicted protein interactions based upon String database. Revelancy score correlates with probability of interaction.
DEC-205 Antibodies
87.7% Relevancy Score
SHP2 Antibodies
74.4% Relevancy Score
TLR8 Antibodies
71.7% Relevancy Score
TLR2 Antibodies
71.1% Relevancy Score
FCER1G Antibodies
69.3% Relevancy Score
Dectin 1 Antibodies
68.5% Relevancy Score
GLUT3 Antibodies
67.5% Relevancy Score
ITIH4 Antibodies
65.1% Relevancy Score
DAP12 Antibodies
64.7% Relevancy Score
Top