Primary Antibodies
Secondary Antibodies
Proteins & Peptides
ELISA Kits
About Us
Contact Us
Sign In/Register
0
ISO 9001:2015 Certified
Live Customer Support
4.5/5 on Trustpilot
100% Quality Guarantee
Home
Primary Antibodies
Dectin 1 Antibodies
Anti-CLEC7A Antibody (A37152)
Anti-CLEC7A Antibody (A37152)
Overview
Specifications
Images
Enlarge Image
Enlarge Image
$430
Product Datasheet
Rabbit polyclonal antibody to CLEC7A for WB and IHC.
100% Guarantee
Price Match Guarantee
Product Size:
100µl
Quantity:
1
2
3
4
5
6
7
8
9
10
Add To Cart
Request a Quotation
Custom or Bulk Request
Shipping Information
Freight/Packing Charges:
$40
Dispatched from St. Louis, MO.
Lead Time: 6-9 business days.
Tags:
Macrophage Marker
Specifications
Name
Anti-CLEC7A Antibody
Description
Rabbit polyclonal antibody to CLEC7A
Specificity
The antibody detects endogenous levels of total CLEC7A protein.
Applications
WB
,
IHC
Reactivity
Human, Mouse
Immunogen
Full length fusion protein
Host
Rabbit
Clonality
Polyclonal
Conjugate
Unconjugated
Purification
Antigen affinity purification.
Concentration
0.2 mg/mL
Formulation
Supplied in PBS, pH 7.3, containing 0.05% sodium azide and 50% glycerol.
Storage
Shipped at 4°C. Upon delivery aliquot and store at -20°C. Avoid freeze/thaw cycles.
Synonyms
Beta-glucan receptor, BGR, C-type lectin domain family 7 member A, C-type lectin superfamily member 12, CD369, CLECSF12, DC-associated C-type lectin 1, Dectin-1, DECTIN1, Dendritic cell-associated C-type lectin 1
Suitable Secondaries
Goat Anti-Rabbit IgG H&L Antibody (AP) (A294874)
Goat Anti-Rabbit IgG H&L Antibody (Biotin) (A294795)
Goat Anti-Rabbit IgG H&L Antibody (FITC) (A294887)
Goat Anti-Rabbit IgG H&L Antibody (HRP) (A294888)
See all Anti-Rabbit IgG Secondaries →
Disclaimer
This product is for research use only. It is not intended for diagnostic or therapeutic use.
Scientific Validation Data
Validation Data
(2)
Enlarge Image
Anti-CLEC7A Antibody (A37152)
Gel: 12% SDS-PAGE Lysates (from left to right): SP20 and RAW264.7 cell Amount of lysate: 40ug per lane Primary antibody: 1/200 dilution Secondary antibody dilution: 1/8000 Exposure time: 30 seconds
Enlarge Image
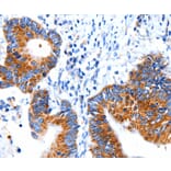
Immunohistochemistry - Anti-CLEC7A Antibody (A37152)
Immunohistochemical analysis of paraffin-embedded Human colon cancer tissue using #35673 at dilution 1/5.
Publishing research using Anti-CLEC7A Antibody (A37152)? Please
let us know
so that we can list the citation on this page.
Alternative products to Anti-CLEC7A Antibody (A37152)
(4)
A279170
Anti-Dectin-1 Antibody [2A11]
Rat monoclonal [2A11] antibody to Dectin-1 for IP, Flow Cytometry and IHC-Fr.
(2)
A323994
Anti-Dectin-1 Antibody [Research Grade Antibody] - Low endotoxin, Azide free
Recombinant human monoclonal antibody to Dectin-1 for ELISA, FACS, Functional Assay and In Vivo.
(2)
A254403
Anti-Dectin-1 Antibody [15E2]
Mouse monoclonal [15E2] antibody to Dectin-1 for Flow Cytometry and IHC-Fr.
A279171
Anti-Dectin-1 Antibody [2A11] - BSA and Azide free
Rat monoclonal [2A11] antibody to Dectin-1 for IP, Flow Cytometry, IHC-Fr and Functional Assays.
A16364
Anti-Dectin-1 Antibody
Rabbit polyclonal antibody to Dectin-1 for WB and ELISA.
A49243
Anti-CLEC7A Antibody
Rabbit polyclonal antibody to CLEC7A for ELISA and WB.
A329312
Anti-Dectin-1 Antibody
Rabbit polyclonal antibody to Dectin-1 for WB and ELISA.
A338007
Anti-Dectin 1 Nanobody [SAA1364]
Recombinant alpaca monoclonal [SAA1364] nanobody to Dectin 1 for ELISA and ICC/IF.
A280510
Anti-Dectin-1 Antibody [GE2] - BSA and Azide free
Mouse monoclonal [GE2] antibody to Dectin-1 for Flow Cytometry and Functional Assays.
A279800
Anti-Dectin-1 Antibody [BD6]
Mouse monoclonal [BD6] antibody to Dectin-1 for Flow Cytometry.
(4)
A279170
Anti-Dectin-1 Antibody [2A11]
Rat monoclonal [2A11] antibody to Dectin-1 for IP, Flow Cytometry and IHC-Fr.
(2)
A323994
Anti-Dectin-1 Antibody [Research Grade Antibody] - Low endotoxin, Azide free
Recombinant human monoclonal antibody to Dectin-1 for ELISA, FACS, Functional Assay and In Vivo.
(2)
A254403
Anti-Dectin-1 Antibody [15E2]
Mouse monoclonal [15E2] antibody to Dectin-1 for Flow Cytometry and IHC-Fr.
A279171
Anti-Dectin-1 Antibody [2A11] - BSA and Azide free
Rat monoclonal [2A11] antibody to Dectin-1 for IP, Flow Cytometry, IHC-Fr and Functional Assays.
A16364
Anti-Dectin-1 Antibody
Rabbit polyclonal antibody to Dectin-1 for WB and ELISA.
A49243
Anti-CLEC7A Antibody
Rabbit polyclonal antibody to CLEC7A for ELISA and WB.
A329312
Anti-Dectin-1 Antibody
Rabbit polyclonal antibody to Dectin-1 for WB and ELISA.
A338007
Anti-Dectin 1 Nanobody [SAA1364]
Recombinant alpaca monoclonal [SAA1364] nanobody to Dectin 1 for ELISA and ICC/IF.
A280510
Anti-Dectin-1 Antibody [GE2] - BSA and Azide free
Mouse monoclonal [GE2] antibody to Dectin-1 for Flow Cytometry and Functional Assays.
A279800
Anti-Dectin-1 Antibody [BD6]
Mouse monoclonal [BD6] antibody to Dectin-1 for Flow Cytometry.
See all CLEC7A Antibodies
Proteins predicted to interact with Dectin 1
Predicted protein interactions based upon String database. Revelancy score correlates with probability of interaction.
Syk Antibodies
99.9% Relevancy Score
TLR2 Antibodies
99.8% Relevancy Score
Galectin 3 Antibodies
99.4% Relevancy Score
CD32 Antibodies
99.1% Relevancy Score
Galectin 9 Antibodies
98.7% Relevancy Score
TLR4 Antibodies
97.8% Relevancy Score
CARD9 Antibodies
97.3% Relevancy Score
CD37 Antibodies
93.4% Relevancy Score
LSP1 Antibodies
91.6% Relevancy Score
Top