Primary Antibodies
Secondary Antibodies
Proteins & Peptides
ELISA Kits
About Us
Contact Us
Sign In/Register
0
ISO 9001:2015 Certified
Live Customer Support
4.5/5 on Trustpilot
100% Quality Guarantee
Home
Primary Antibodies
CLPS Antibodies
Anti-CLPS Antibody (A46784)
Anti-CLPS Antibody (A46784)
Overview
Specifications
Images
Enlarge Image
Enlarge Image
$405
Rabbit polyclonal antibody to CLPS for IHC.
100% Guarantee
Price Match Guarantee
Product Size:
100µl
Quantity:
1
2
3
4
5
6
7
8
9
10
Add To Cart
Request a Quotation
Custom or Bulk Request
Shipping Information
Freight/Packing Charges:
$40
Dispatched from St. Louis, MO.
Lead Time: 6-9 business days.
Specifications
Name
Anti-CLPS Antibody
Description
Rabbit polyclonal antibody to CLPS
Specificity
The antibody detects endogenous levels of total CLPS protein.
Applications
IHC
Reactivity
Human
Immunogen
Fusion protein corresponding to a region derived from internal residues of human colipase, pancreatic
Host
Rabbit
Clonality
Polyclonal
Conjugate
Unconjugated
Purification
Antigen affinity purification.
Concentration
2 mg/ml
Formulation
Rabbit IgG in pH7.3 PBS, 0.05% NaN3, 50% Glycerol.
Storage
Store at -20˚C
Synonyms
Colipase
Suitable Secondaries
Goat Anti-Rabbit IgG H&L Antibody (AP) (A294874)
Goat Anti-Rabbit IgG H&L Antibody (Biotin) (A294795)
Goat Anti-Rabbit IgG H&L Antibody (FITC) (A294887)
Goat Anti-Rabbit IgG H&L Antibody (HRP) (A294888)
See all Anti-Rabbit IgG Secondaries →
Disclaimer
This product is for research use only. It is not intended for diagnostic or therapeutic use.
Scientific Validation Data
Validation Data
(2)
Enlarge Image
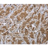
Immunohistochemistry - Anti-CLPS Antibody (A46784)
Immunohistochemical analysis of paraffin-embedded Human oesophagus cancer tissue using #36357 at dilution 1/45.
Enlarge Image
Immunohistochemistry - Anti-CLPS Antibody (A46784)
Immunohistochemical analysis of paraffin-embedded Human breast cancer tissue using #36357 at dilution 1/45.
Publishing research using Anti-CLPS Antibody (A46784)? Please
let us know
so that we can list the citation on this page.
Alternative products to Anti-CLPS Antibody (A46784)
(2)
A40010
Anti-CLPS Antibody
Rabbit polyclonal antibody to CLPS for WB and IF.
A31325
Anti-CLPS Antibody
Rabbit polyclonal antibody to CLPS for WB and IHC.
A36396
Anti-ClpS Antibody
Rabbit polyclonal antibody to ClpS for WB and IHC.
A88110
Anti-CLPS Antibody
Rabbit polyclonal antibody to CLPS for WB.
A11967
Anti-CLPS Antibody
Rabbit polyclonal antibody to CLPS for WB.
(2)
A40010
Anti-CLPS Antibody
Rabbit polyclonal antibody to CLPS for WB and IF.
A31325
Anti-CLPS Antibody
Rabbit polyclonal antibody to CLPS for WB and IHC.
A36396
Anti-ClpS Antibody
Rabbit polyclonal antibody to ClpS for WB and IHC.
A88110
Anti-CLPS Antibody
Rabbit polyclonal antibody to CLPS for WB.
A11967
Anti-CLPS Antibody
Rabbit polyclonal antibody to CLPS for WB.
See all CLPS Antibodies
Proteins predicted to interact with CLPS
Predicted protein interactions based upon String database. Revelancy score correlates with probability of interaction.
Pancreatic Lipase Antibodies
99.9% Relevancy Score
PNLIPRP1 Antibodies
99.4% Relevancy Score
LIPF Antibodies
94.5% Relevancy Score
TBX22 Antibodies
94% Relevancy Score
Bile Salt-Activated Lipase Antibodies
91.7% Relevancy Score
Elastase Antibodies
90.1% Relevancy Score
Carboxypeptidase A Antibodies
83.8% Relevancy Score
CTRB1 Antibodies
80.1% Relevancy Score
REG1 alpha Antibodies
79.7% Relevancy Score
Top