ISO 9001:2015 Certified
Live Customer Support
4.5/5 on Trustpilot
100% Quality Guarantee

Anti-Clusterin Antibody [CLU/4731] - BSA and Azide free (A278136)

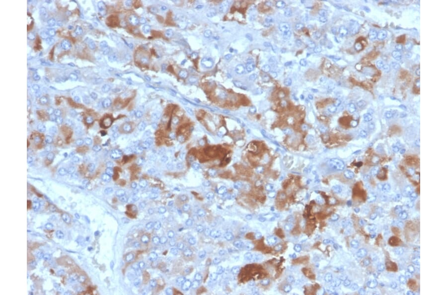
Mouse monoclonal [CLU/4731] antibody to Clusterin for WB and IHC-P.

Alternative Formats and ConjugatesAlternative Formats

Shipping Information

$40
Dispatched from St. Louis, MO.
Lead Time: 5-8 business days.
Name
Anti-Clusterin Antibody [CLU/4731] - BSA and Azide free
Description
Mouse monoclonal [CLU/4731] antibody to Clusterin.
Specificity
Clusterin, also designated complement lysis inhibitor (CLI), apolipoprotein J (APOJ), sulfated glycoprotein 2 (SGP2), SP40 and testosterone-repressed prostate message 2 (TRPM2), is a secretory, heterodimeric glycoprotein that influences immune regulation, cell adhesion, transformation, lipid transportation, tissue remodeling, membrane recycling and cell-cell interactions. Clusterin is synthesized as a 449 amino acid polypeptide that is post-translationally cleaved at an internal bond between Arg 227 and Ser 228. Two subunits, α and β, are associated through disulfide bonds. The β subunit (also called ApoJα) corresponds to residues 23-227. The α subunit (also called ApoJβ) corresponds to residues 228-449. Overexpression of Clusterin appears to be more common in late stages of mammary tumor progression. Clusterin markedly influences β-Amyloid structure and neuritic toxicity in vivo and may influence Alzheimer s pathogenesis.
Applications
WB, IHC-P
Dilutions
WB: 2-4 µg/ml, IHC-P: 1-2 µg/ml
Reactivity
Human
Immunogen
Recombinant fragment, around amino acids 150-300, of human Clusterin protein. The exact sequence is proprietary.
Host
Mouse
Clonality
Monoclonal
Clone ID
CLU/4731
Isotype
IgG2a
Light Chains
kappa
Conjugate

Unconjugated

Purification
Protein A/G chromatography.
Concentration
1 mg/ml
Molecular Weight
70 kDa (precursor) / 36-39 kDa (alpha) / 34-36 kDa (beta)
Product Form
Liquid
Formulation
Supplied in 10mM Phosphate Buffered Saline; without Sodium Azide and carrier free.
Storage
Shipped at 4°C. Upon delivery aliquot and store at -20°C. Avoid freeze / thaw cycles.
General Notes
This monoclonal antibody is also available in a different formulation with BSA and Sodium Azide - Anti-Clusterin Antibody [CLU/4731] (A277548).
Synonyms
Aging-associated gene 4 protein, Apo-J, APOJ, Apolipoprotein J, CLI, CLU, Complement cytolysis inhibitor, Complement-associated protein SP-40,40, Ku70-binding protein 1, KUB1
Disclaimer
This product is for research use only. It is not intended for diagnostic or therapeutic use.
Publishing research using Anti-Clusterin Antibody [CLU/4731] - BSA and Azide free (A278136)? Please let us know so that we can list the citation on this page.

Alternative products to Anti-Clusterin Antibody [CLU/4731] - BSA and Azide free (A278136)

Proteins predicted to interact with Clusterin

Predicted protein interactions based upon String database. Revelancy score correlates with probability of interaction.
99.9% Relevancy Score
99.8% Relevancy Score
99.8% Relevancy Score
99.6% Relevancy Score
99.4% Relevancy Score
99.3% Relevancy Score
98.5% Relevancy Score
97.6% Relevancy Score
97.3% Relevancy Score