ISO 9001:2015 Certified
Live Customer Support
4.5/5 on Trustpilot
100% Quality Guarantee

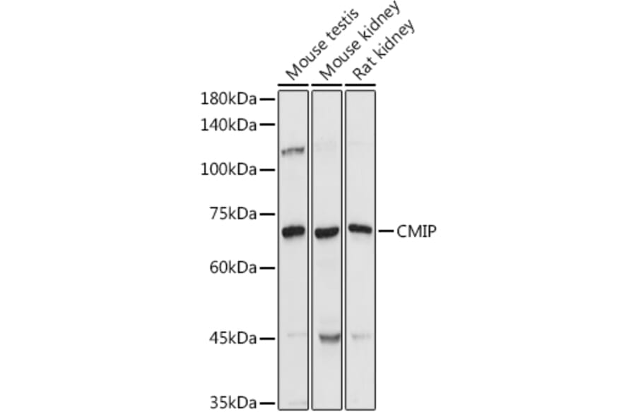
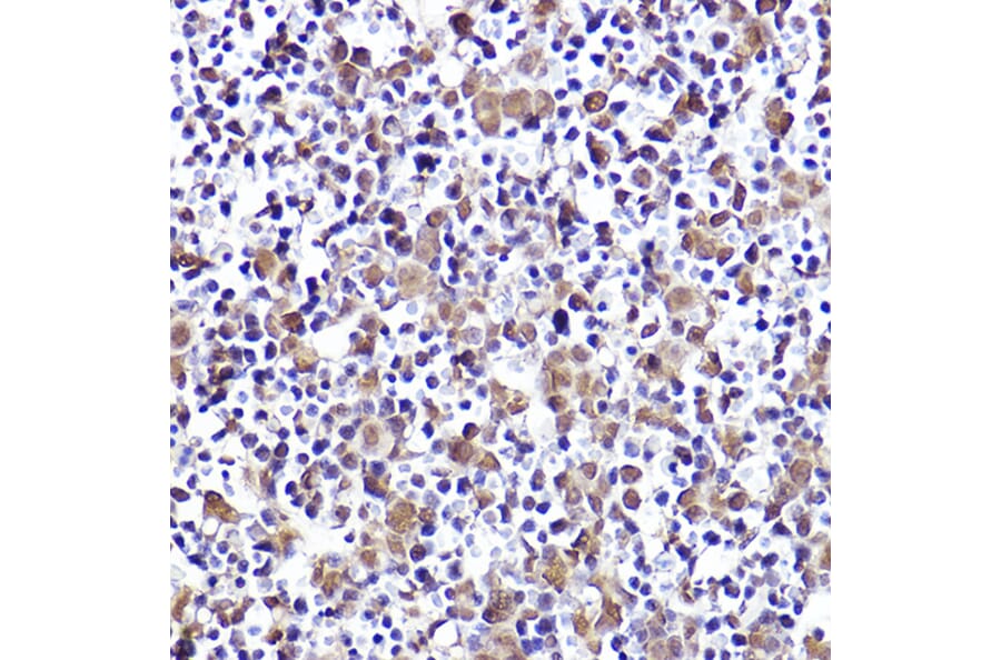
Anti-CMIP Antibody (A308496)

Rabbit polyclonal antibody to CMIP for WB and IHC.

Shipping Information

$40
Dispatched from St. Louis, MO.
Lead Time: 7-10 business days.
Name
Anti-CMIP Antibody
Description
Rabbit polyclonal antibody to CMIP.
Applications
WB, IHC
Dilutions
WB: 1:500-1:1,000, IHC: 1:50-1:200
Reactivity
Human, Mouse, Rat
Immunogen
Recombinant fusion protein containing a sequence corresponding to amino acids 640-773 of human CMIP (NP_938204.2).
Sequence
RLTLPSKSTDADLARLLSSGSFGNLENLSLAFTNVTSACAEHLIKLPSLKQLNLWSTQFGDAGLRLLSEHLTMLQVLNLCETPVTDAGLLALSSMKSLCSLNMNSTKLSADTYEDLKAKLPNLKEVDVRYTEAW
Host
Rabbit
Clonality
Polyclonal
Isotype
IgG
Conjugate

Unconjugated

Purification
Affinity purification.
Concentration
Lot Specific
Molecular Weight
70 kDa
Product Form
Liquid
Formulation
Supplied in Phosphate Buffered Saline, pH 7.3, with 50% Glycerol and 0.05% Proclin 300.
Storage
Shipped at 4°C. Upon delivery aliquot and store at -20°C. Avoid freeze/thaw cycles.
Synonyms
C-Maf-inducing protein, c-Mip, KIAA1694, Tc-Mip, TCMIP, Truncated c-Maf-inducing protein
Disclaimer
This product is for research use only. It is not intended for diagnostic or therapeutic use.
Publishing research using Anti-CMIP Antibody (A308496)? Please let us know so that we can list the citation on this page.

Proteins predicted to interact with CMIP

Predicted protein interactions based upon String database. Revelancy score correlates with probability of interaction.
94.2% Relevancy Score
90.7% Relevancy Score
83.6% Relevancy Score
68.4% Relevancy Score
64.8% Relevancy Score
59.2% Relevancy Score
57.6% Relevancy Score
57.3% Relevancy Score
57.2% Relevancy Score