Primary Antibodies
Secondary Antibodies
Proteins & Peptides
ELISA Kits
About Us
Contact Us
Sign In/Register
0
ISO 9001:2015 Certified
Live Customer Support
4.5/5 on Trustpilot
100% Quality Guarantee
Home
Primary Antibodies
CNNM3 Antibodies
Anti-CNNM3 Antibody (A37805)
Anti-CNNM3 Antibody (A37805)
Overview
Specifications
Images
Enlarge Image
Enlarge Image
$430
Product Datasheet
Rabbit polyclonal antibody to CNNM3 for WB and IHC.
100% Guarantee
Price Match Guarantee
Product Size:
100µl
Quantity:
1
2
3
4
5
6
7
8
9
10
Add To Cart
Request a Quotation
Custom or Bulk Request
Shipping Information
Freight/Packing Charges:
$40
Dispatched from St. Louis, MO.
Lead Time: 6-9 business days.
Specifications
Name
Anti-CNNM3 Antibody
Description
Rabbit polyclonal antibody to CNNM3
Specificity
The antibody detects endogenous levels of total CNNM3 protein.
Applications
WB
,
IHC
Reactivity
Human, Mouse
Immunogen
Fusion protein corresponding to residues near the C terminal of human Cyclin M3
Host
Rabbit
Clonality
Polyclonal
Conjugate
Unconjugated
Purification
Antigen affinity purification.
Concentration
0.8 mg/mL
Formulation
Supplied in PBS, pH 7.3, containing 0.05% sodium azide and 50% glycerol.
Storage
Shipped at 4°C. Upon delivery aliquot and store at -20°C. Avoid freeze/thaw cycles.
Synonyms
ACDP3, Ancient conserved domain-containing protein 3, Cyclin-M3, Metal transporter CNNM3
Suitable Secondaries
Goat Anti-Rabbit IgG H&L Antibody (AP) (A294874)
Goat Anti-Rabbit IgG H&L Antibody (Biotin) (A294795)
Goat Anti-Rabbit IgG H&L Antibody (FITC) (A294887)
Goat Anti-Rabbit IgG H&L Antibody (HRP) (A294888)
See all Anti-Rabbit IgG Secondaries →
Disclaimer
This product is for research use only. It is not intended for diagnostic or therapeutic use.
Scientific Validation Data
Validation Data
(2)
Enlarge Image
Anti-CNNM3 Antibody (A37805)
Gel: 10% SDS-PAGE Lysates (from left to right): Mouse liver tissue Amount of lysate: 40ug per lane Primary antibody: 1/400 dilution Secondary antibody dilution: 1/8000 Exposure time: 30 seconds
Enlarge Image
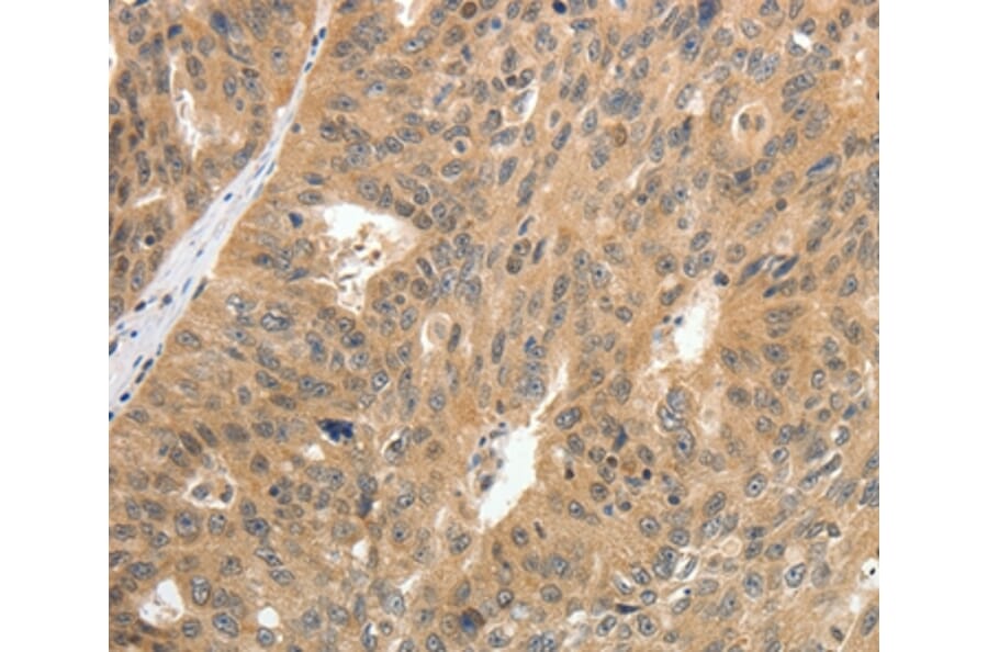
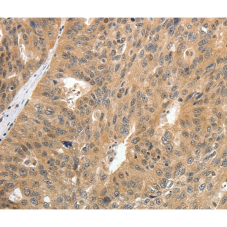
Immunohistochemistry - Anti-CNNM3 Antibody (A37805)
Immunohistochemical analysis of paraffin-embedded Human ovarian cancer tissue using #35704 at dilution 1/25.
Publishing research using Anti-CNNM3 Antibody (A37805)? Please
let us know
so that we can list the citation on this page.
Proteins predicted to interact with CNNM3
Predicted protein interactions based upon String database. Revelancy score correlates with probability of interaction.
PTP4A2 Antibodies
99.8% Relevancy Score
PRL-3 Antibodies
94.5% Relevancy Score
CBS Antibodies
83.6% Relevancy Score
PRL-1 Antibodies
79.8% Relevancy Score
GMPS Antibodies
70.1% Relevancy Score
ATIC Antibodies
63.3% Relevancy Score
CD73 Antibodies
61.5% Relevancy Score
TRPM6 Antibodies
60.2% Relevancy Score
SLC41A3 Antibodies
54% Relevancy Score
Top