Rabbit polyclonal antibody to cofilin1 / cofilin2 (Ab-88)
Specificity
The antibody detects endogenous level of total cofilin1 / cofilin2 protein.
Applications
WB, IHC, ICC/IF
Dilutions
Western blotting: 1:500~1:1000 Immunohistochemistry: 1:50~1:100 Immunofluorescence: 1:100~1:200
Reactivity
Human, Mouse, Rat
Immunogen
Peptide sequence around aa. 86~90 (A-T-Y-E-T) derived from Human cofilin1 / cofilin2.
Host
Rabbit
Clonality
Polyclonal
Conjugate
Unconjugated
Purification
Antibodies were produced by immunizing rabbits with synthetic peptide and KLH conjugates. Antibodies were purified by affinity-chromatography using epitope-specific peptide.
Concentration
1.0 mg/mL
Predicted MW
19kd
Formulation
Supplied in phosphate-buffered saline (without Mg²? and Ca²?), pH 7.4, containing 150 mM NaCl, 0.02% sodium azide, and 50% glycerol.
Storage
Shipped at 4°C. Upon delivery aliquot and store at -20°C. Avoid freeze/thaw cycles.
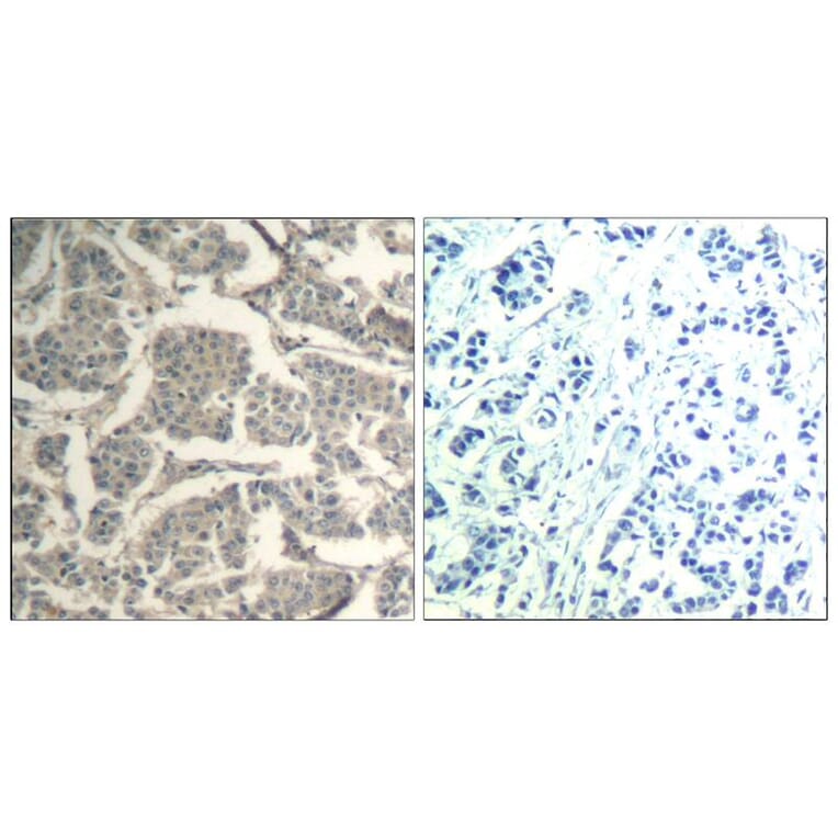
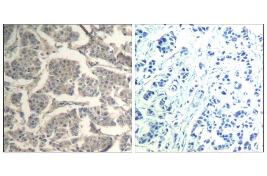
Immunohistochemical analysis of paraffin-embedded human breast carcinoma tissue using cofilin1/cofilin2 (Ab-88) Antibody #21507 (left) or the same antibody preincubated with blocking peptide (right).