ISO 9001:2015 Certified
Live Customer Support
4.5/5 on Trustpilot
100% Quality Guarantee

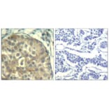
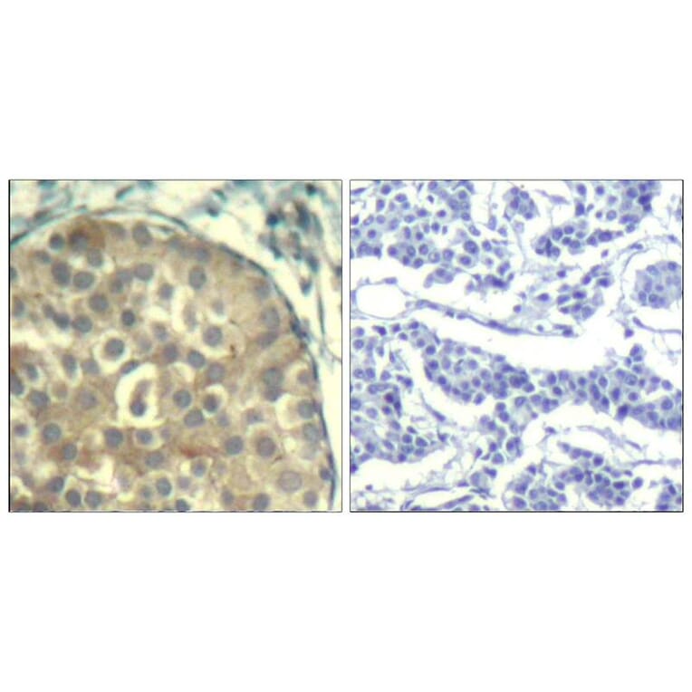
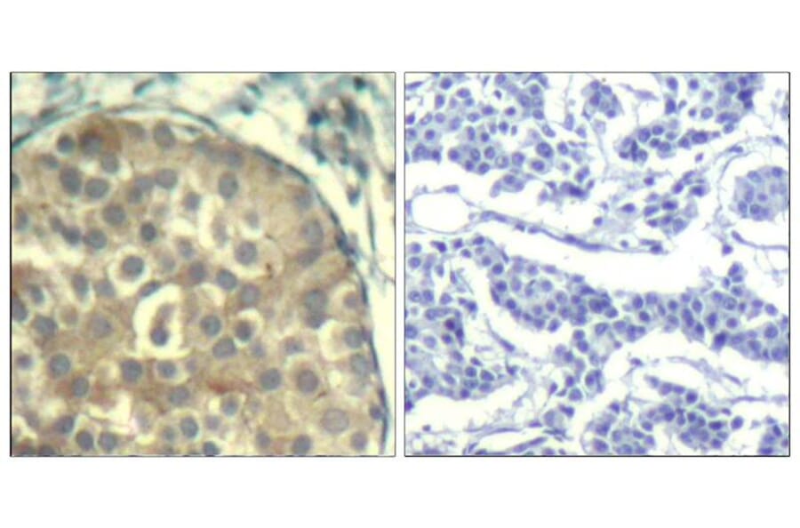
Anti-cofilin1 / cofilin2 (phospho-Tyr88) Antibody (A51399)

Rabbit polyclonal antibody to cofilin1 / cofilin2 (phospho-Tyr88) for IHC and WB.

Shipping Information

$40
Dispatched from St. Louis, MO.
Lead Time: 6-9 business days.
Name
Anti-cofilin1 / cofilin2 (phospho-Tyr88) Antibody
Description
Rabbit polyclonal antibody to cofilin1 / cofilin2 (phospho-Tyr88)
Specificity
The antibody detects endogenous level of cofilin1 / cofilin2 only when phosphorylated at tyrosine 88.
Applications
IHC, WB
Reactivity
Human, Mouse, Rat
Immunogen
Peptide sequence around phosphorylation site of tyrosine 88 (A-T-Y(p)-E-T) derived from Human coflin1 / cofilin2.
Host
Rabbit
Clonality
Polyclonal
Conjugate

Unconjugated

Purification
Antibodies were produced by immunizing rabbits with synthetic phosphopeptide and KLH conjugates. Antibodies were purified by affinity-chromatography using epitope-specific phosphopeptide. Non-phospho specific antibodies were removed by chromatogramphy using non-phosphopeptide.
Concentration
1.0 mg/mL
Formulation
Supplied in phosphate-buffered saline (without Mg²? and Ca²?), pH 7.4, containing 150 mM NaCl, 0.02% sodium azide, and 50% glycerol.
Storage
Shipped at 4°C. Upon delivery aliquot and store at -20°C. Avoid freeze/thaw cycles.
Disclaimer
This product is for research use only. It is not intended for diagnostic or therapeutic use.
Publishing research using Anti-cofilin1 / cofilin2 (phospho-Tyr88) Antibody (A51399)? Please let us know so that we can list the citation on this page.