Primary Antibodies
Secondary Antibodies
Proteins & Peptides
ELISA Kits
About Us
Contact Us
Sign In/Register
0
ISO 9001:2015 Certified
Live Customer Support
4.5/5 on Trustpilot
100% Quality Guarantee
Home
Primary Antibodies
COL8A2 Antibodies
Anti-COL8A2 Antibody (A45718)
Anti-COL8A2 Antibody (A45718)
Overview
Specifications
Images
Enlarge Image
Enlarge Image
$430
Product Datasheet
Rabbit polyclonal antibody to COL8A2 for IHC.
100% Guarantee
Price Match Guarantee
Product Size:
100µl
Quantity:
1
2
3
4
5
6
7
8
9
10
Add To Cart
Request a Quotation
Custom or Bulk Request
Shipping Information
Freight/Packing Charges:
$40
Dispatched from St. Louis, MO.
Lead Time: 6-9 business days.
Specifications
Name
Anti-COL8A2 Antibody
Description
Rabbit polyclonal antibody to COL8A2
Specificity
The antibody detects endogenous levels of total COL8A2 protein.
Applications
IHC
Reactivity
Human, Mouse
Immunogen
Synthetic peptide of human COL8A2
Host
Rabbit
Clonality
Polyclonal
Conjugate
Unconjugated
Purification
Antigen affinity purification.
Concentration
0.4 mg/mL
Formulation
Rabbit IgG in pH7.4 PBS, 0.05% NaN3, 40% Glycerol.
Storage
Shipped at 4°C. Upon delivery aliquot and store at -20°C. Avoid freeze/thaw cycles.
Synonyms
Collagen alpha-2(VIII) chain, Endothelial collagen
Suitable Secondaries
Goat Anti-Rabbit IgG H&L Antibody (AP) (A294874)
Goat Anti-Rabbit IgG H&L Antibody (Biotin) (A294795)
Goat Anti-Rabbit IgG H&L Antibody (FITC) (A294887)
Goat Anti-Rabbit IgG H&L Antibody (HRP) (A294888)
See all Anti-Rabbit IgG Secondaries →
Disclaimer
This product is for research use only. It is not intended for diagnostic or therapeutic use.
Scientific Validation Data
Validation Data
(2)
Enlarge Image
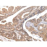
Immunohistochemistry - Anti-COL8A2 Antibody (A45718)
Immunohistochemical analysis of paraffin-embedded Human liver cancer tissue using #43219 at dilution 1/20.
Enlarge Image
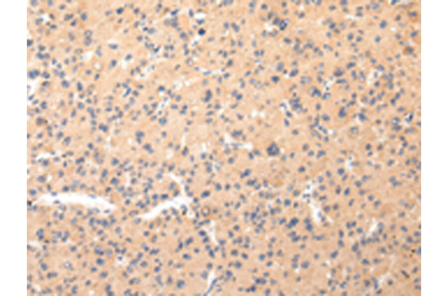
Immunohistochemistry - Anti-COL8A2 Antibody (A45718)
Immunohistochemical analysis of paraffin-embedded Human oesophagus cancer tissue using #43219 at dilution 1/20.
Publishing research using Anti-COL8A2 Antibody (A45718)? Please
let us know
so that we can list the citation on this page.
Proteins predicted to interact with COL8A2
Predicted protein interactions based upon String database. Revelancy score correlates with probability of interaction.
Sodium Bicarbonate Transporter-Like Protein 11 Antibodies
96.2% Relevancy Score
GPVI Antibodies
94.9% Relevancy Score
Collagen VIII alpha 1 Antibodies
92.7% Relevancy Score
VSX1 Antibodies
89.5% Relevancy Score
Collagen alpha-5(IV) Chain Antibodies
88% Relevancy Score
ZEB1 Antibodies
87.1% Relevancy Score
GLT25D2 Antibodies
81.8% Relevancy Score
COL5A1 Antibodies
81.2% Relevancy Score
Collagen II Antibodies
79.5% Relevancy Score
Top