ISO 9001:2015 Certified
Live Customer Support
4.5/5 on Trustpilot
100% Quality Guarantee

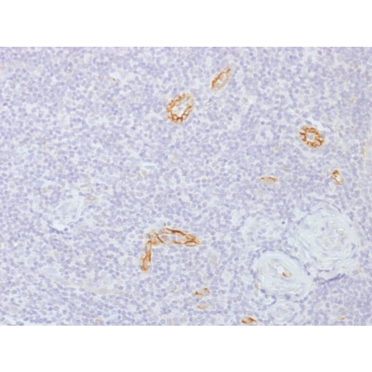
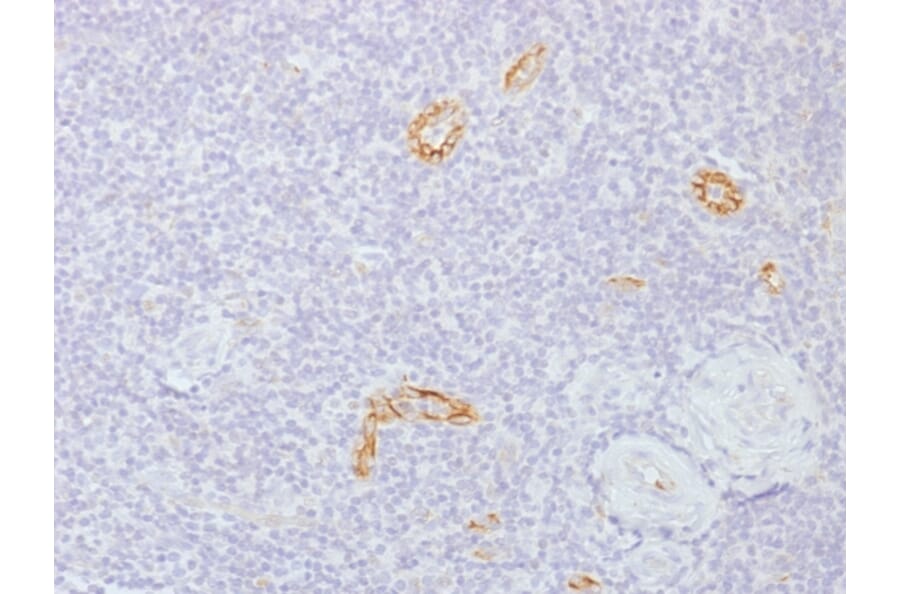
Anti-Connexin 32 Antibody [GJB1/1753] - BSA and Azide free (A251901)

Mouse monoclonal [GJB1/1753] antibody to Connexin 32 for IHC-P.

Alternative Formats and ConjugatesAlternative Formats

Shipping Information

$40
Dispatched from St. Louis, MO.
Lead Time: 5-8 business days.
Name
Anti-Connexin 32 Antibody [GJB1/1753] - BSA and Azide free
Description
Mouse monoclonal [GJB1/1753] antibody to Connexin 32.
Specificity
This antibody recognizes a protein of 27-32kDa, identified as Connexin 32. The connexin family of proteins forms hexameric complexes called 'connexons' that facilitate movement of low molecular weight proteins between cells via gap junctions. Connexin proteins share a common topology of four transmembrane therefore, one connexin usually cannot fully substitute for another.
Applications
IHC-P
Dilutions
IHC-P: 1-2 µg/ml
Reactivity
Human, Mouse, Rat
Immunogen
Recombinant human GJB1 protein.
Host
Mouse
Clonality
Monoclonal
Clone ID
GJB1/1753
Isotype
IgG
Conjugate

Unconjugated

Purification
Protein G chromatography.
Concentration
1 mg/ml
Molecular Weight
27-32 kDa
Product Form
Liquid
Formulation
Supplied in 10mM Phosphate Buffered Saline; without Sodium Azide and carrier free.
Storage
Shipped at 4°C. Upon delivery aliquot and store at -20°C. Avoid freeze / thaw cycles.
General Notes
This monoclonal antibody is also available in a different formulation with BSA and Sodium Azide - Anti-Connexin 32 Antibody [GJB1/1753] (A248719).
Synonyms
Connexin-32, CX32, GAP junction 28 kDa liver protein, Gap junction beta-1 protein, GJB1
Isotype Controls
Disclaimer
This product is for research use only. It is not intended for diagnostic or therapeutic use.
Publishing research using Anti-Connexin 32 Antibody [GJB1/1753] - BSA and Azide free (A251901)? Please let us know so that we can list the citation on this page.

Alternative products to Anti-Connexin 32 Antibody [GJB1/1753] - BSA and Azide free (A251901)

Proteins predicted to interact with Connexin 32

Predicted protein interactions based upon String database. Revelancy score correlates with probability of interaction.
99.8% Relevancy Score
96.8% Relevancy Score
95.2% Relevancy Score
94.8% Relevancy Score
94.2% Relevancy Score
93.5% Relevancy Score
93.3% Relevancy Score
93.2% Relevancy Score
91% Relevancy Score