Supplied in Phosphate Buffered Saline, pH 7.3, with 50% Glycerol and 0.01% Thiomersal.
Storage
Shipped at 4°C. Upon delivery aliquot and store at -20°C. Avoid freeze / thaw cycles.
Synonyms
CAR, Constitutive activator of retinoid response, Constitutive active response, Nuclear receptor subfamily 1 group I member 3, Orphan nuclear receptor MB67
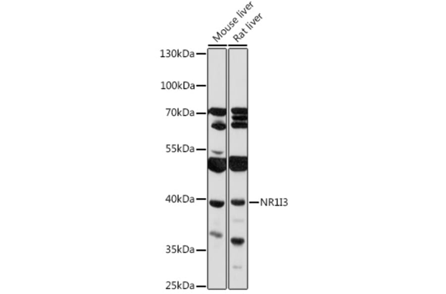
Western Blot - Anti-Constitutive androstane receptor Antibody (A93279)
Western blot analysis of extracts of various cell lines, using Anti-Constitutive androstane receptor Antibody (A93279) at 1:1,000 dilution. The secondary antibody was Goat Anti-Rabbit IgG H&L Antibody (HRP) at 1:10,000 dilution. Lysates/proteins were present at 25µg per lane. The blocking buffer used was 3% non-fat dry milk in TBST. Detection was with a ECL Basic Kit. Exposure time: 30s.
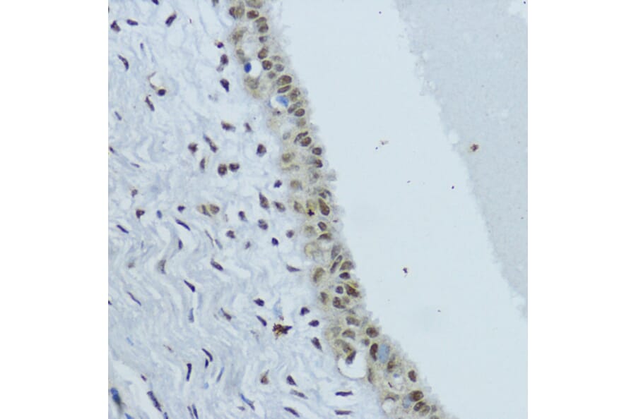
Immunohistochemistry analysis of paraffin-embedded human mammary cancer using Anti-Constitutive androstane receptor Antibody (A93279) at a dilution of 1:200 (40x lens). Perform microwave antigen retrieval with 10 mM PBS buffer pH 7.2 before commencing with IHC staining protocol.
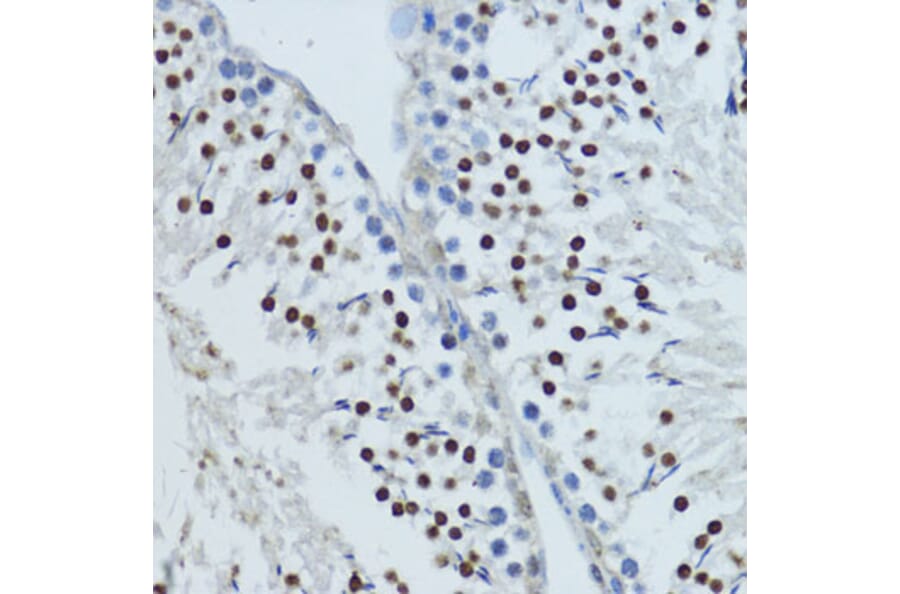
Immunohistochemistry analysis of paraffin-embedded rat testis using Anti-Constitutive androstane receptor Antibody (A93279) at a dilution of 1:200 (40x lens). Perform microwave antigen retrieval with 10 mM PBS buffer pH 7.2 before commencing with IHC staining protocol.
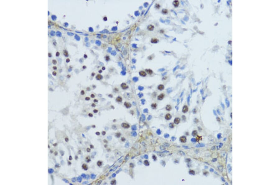
Immunohistochemistry analysis of paraffin-embedded mouse testis using Anti-Constitutive androstane receptor Antibody (A93279) at a dilution of 1:200 (40x lens). Perform microwave antigen retrieval with 10 mM PBS buffer pH 7.2 before commencing with IHC staining protocol.
Alternative products to Anti-Constitutive androstane receptor Antibody (A93279)