ISO 9001:2015 Certified
Live Customer Support
4.5/5 on Trustpilot
100% Quality Guarantee

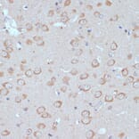
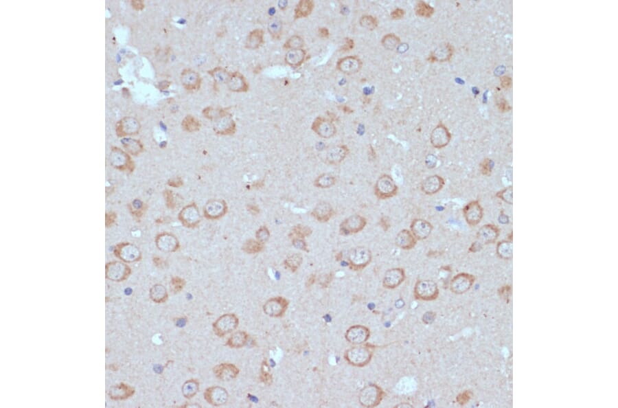
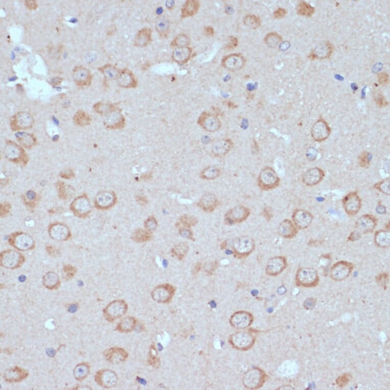
Anti-COPG2 Antibody (A87789)

Rabbit polyclonal antibody to COPG2 for WB, IHC and ICC/IF.

Shipping Information

$40
Dispatched from St. Louis, MO.
Lead Time: 7-10 business days.
Name
Anti-COPG2 Antibody
Description
Rabbit polyclonal antibody to COPG2.
Applications
WB, IHC, ICC/IF
Dilutions
WB: 1:500-1:2,000, IHC: 1:50-1:100, ICC/IF: 1:50-1:100
Reactivity
Human, Mouse, Rat
Immunogen
Recombinant fusion protein containing a sequence corresponding to amino acids 542-871 of human COPG2 (NP_036265.3).
Sequence
LNATYIFNGLTVSVPGMEKALHQYTLEPSEKPFDMKSIPLAMAPVFEQKAEITLVATKPEKLAPSRQDIFQEQLAAIPEFLNIGPLFKSSEPVQLTEAETEYFVRCIKHMFTNHIVFQFDCTNTLNDQLLEKVTVQMEPSDSYEVLSCIPAPSLPYNQPGICYTLVRLPDDDPTAVAGSFSCTMKFTVRDCDPNTGVPDEDGYDDEYVLEDLEVTVSDHIQKVLKPNFAAAWEEVGDTFEKEETFALSSTKTLEEAVNNIITFLGMQPCERSDKVPENKNSHSLYLAGIFRGGYDLLVRSRLALADGVTMQVTVRSKERTPVDVILASVG
Host
Rabbit
Clonality
Polyclonal
Isotype
IgG
Conjugate

Unconjugated

Purification
Affinity purification.
Concentration
Lot Specific
Molecular Weight
105 kDa
Product Form
Liquid
Formulation
Supplied in Phosphate Buffered Saline, pH 7.3, with 50% Glycerol and 0.01% Thiomersal.
Storage
Shipped at 4°C. Upon delivery aliquot and store at -20°C. Avoid freeze/thaw cycles.
Synonyms
Coatomer subunit gamma-2, Gamma-2-coat protein, Gamma-2-COP
Disclaimer
This product is for research use only. It is not intended for diagnostic or therapeutic use.
Publishing research using Anti-COPG2 Antibody (A87789)? Please let us know so that we can list the citation on this page.

Alternative products to Anti-COPG2 Antibody (A87789)

Proteins predicted to interact with COPG2

Predicted protein interactions based upon String database. Revelancy score correlates with probability of interaction.
99.9% Relevancy Score
99.8% Relevancy Score
99.7% Relevancy Score
99.6% Relevancy Score
99% Relevancy Score
98.8% Relevancy Score
97.7% Relevancy Score
96.5% Relevancy Score
90.9% Relevancy Score