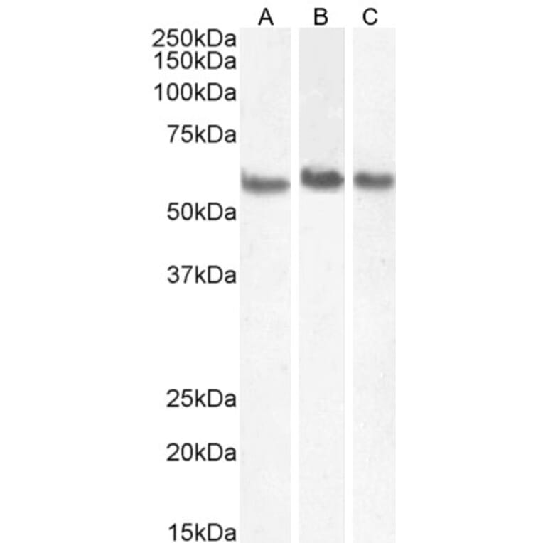
Western Blot - Anti-Coronin 1a/TACO Antibody (A83954)
Coronin 1a/TACO expression in Daudi (A), MOLT4 (B), and Jurkat (C) cell lysates analyzed by western blot. Cells were lysed in RIPA buffer and 35µg protein was run per lane. Primary incubation was performed with Anti-Coronin 1a/TACO Antibody (A83954) at 0.5µg/ml (A-B) or 1µg/ml (C) and detected by chemiluminescence.
Western Blot - Anti-Coronin 1a/TACO Antibody (A83954)
Coronin 1a/TACO expression in Human Lymph node (A) and Spleen (B) lysates analyzed by western blot. Cells were lysed in RIPA buffer and 35µg protein was run per lane. Primary antibody incubation was performed with Anti-Coronin 1a/TACO Antibody (A83954) at 0.5µg/ml and detected by chemiluminescence.
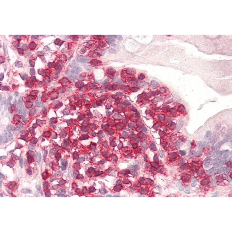
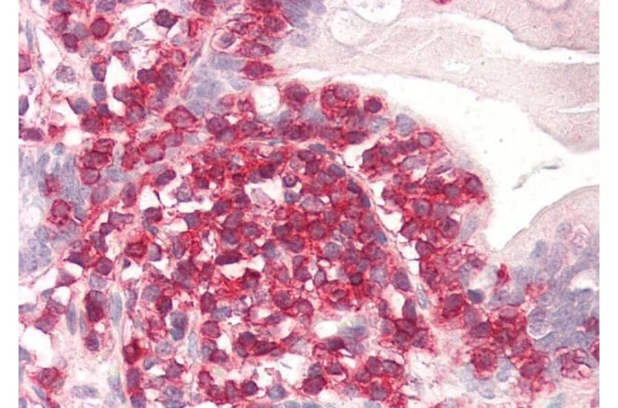
Coronin 1a/TACO expression in Human Spleen analyzed by immunohistochemistry. Tissue was paraffin-embedded, and antigen retrieval was achieved by steaming in citrate buffer, pH 6. Staining was performed with Anti-Coronin 1a/TACO Antibody (A83954) at 3.75µg/ml and revealed with alkaline phosphatase (AP).
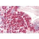
Coronin 1a/TACO expression in Human Small Intestine analyzed by immunohistochemistry. Tissue was paraffin-embedded, and antigen retrieval was achieved by steaming in citrate buffer, pH 6. Staining was performed with Anti-Coronin 1a/TACO Antibody (A83954) at 3.75µg/ml and revealed with alkaline phosphatase (AP).
Coronin 1a/TACO expression in Jurkat cells (blue line) analyzed by flow cytometry. Cells were fixed in PFA and permeabilized with 0.5% Triton. Staining was performed with Anti-Coronin 1a/TACO Antibody (A83954) at 10µg/ml for 1 hour and Alexa Fluor 488 secondary antibody at 1µg/ml. Negative Control: Goat IgG Isotype Control (black line) followed by Alexa Fluor 488 secondary antibody.