Western Blot - Anti-Cortactin Antibody [ARC1613] (A307999)
Western blot analysis of extracts of various cell lines, using Anti-Cortactin Antibody [ARC1613] (A307999) at 1:1,000 dilution. The secondary antibody was Goat Anti-Rabbit IgG H&L Antibody (HRP) at 1:10,000 dilution. Lysates/proteins were present at 25µg per lane. The blocking buffer used was 3% non-fat dry milk in TBST. Detection was with a ECL Basic Kit. Exposure time: 3s.
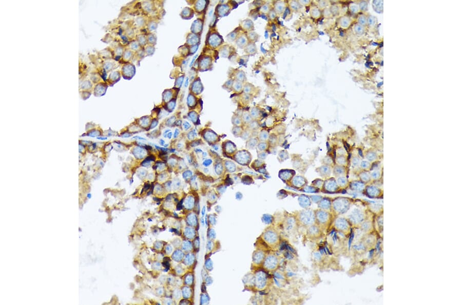
Immunohistochemistry analysis of paraffin-embedded rat testis using Anti-Cortactin Antibody [ARC1613] (A307999) at a dilution of 1:100 (40x lens). Perform microwave antigen retrieval with 10 mM Tris/EDTA buffer pH 9.0 before commencing with IHC staining protocol.
Immunohistochemistry analysis of paraffin-embedded human esophageal cancer using Anti-Cortactin Antibody [ARC1613] (A307999) at a dilution of 1:100 (40x lens). Perform microwave antigen retrieval with 10 mM Tris/EDTA buffer pH 9.0 before commencing with IHC staining protocol.
Immunohistochemistry analysis of paraffin-embedded mouse testis using Anti-Cortactin Antibody [ARC1613] (A307999) at a dilution of 1:100 (40x lens). Perform microwave antigen retrieval with 10 mM Tris/EDTA buffer pH 9.0 before commencing with IHC staining protocol.
Immunofluorescence analysis of C6 cells using Anti-Cortactin Antibody [ARC1613] (A307999) at a dilution of 1:100 (40x lens). DAPI was used to stain the cell nuclei (blue).
Immunofluorescence analysis of NIH-3T3 cells using Anti-Cortactin Antibody [ARC1613] (A307999) at a dilution of 1:100 (40x lens). DAPI was used to stain the cell nuclei (blue).
Immunofluorescence analysis of U-2 OS cells using Anti-Cortactin Antibody [ARC1613] (A307999) at a dilution of 1:100 (40x lens). DAPI was used to stain the cell nuclei (blue).
Western Blot - Anti-Cortactin Antibody [ARC1613] (A307999)
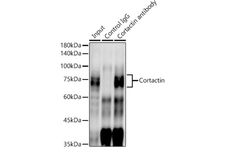
Immunoprecipitation analysis of 600µg extracts of mouse lung cells using 3µg of Anti-Cortactin Antibody [ARC1613] (A307999). This Western blot was performed on the immunoprecipitate using Anti-Cortactin Antibody [ARC1613] (A307999) at a dilution of 1:1000.