ISO 9001:2015 Certified
Live Customer Support
4.5/5 on Trustpilot
100% Quality Guarantee

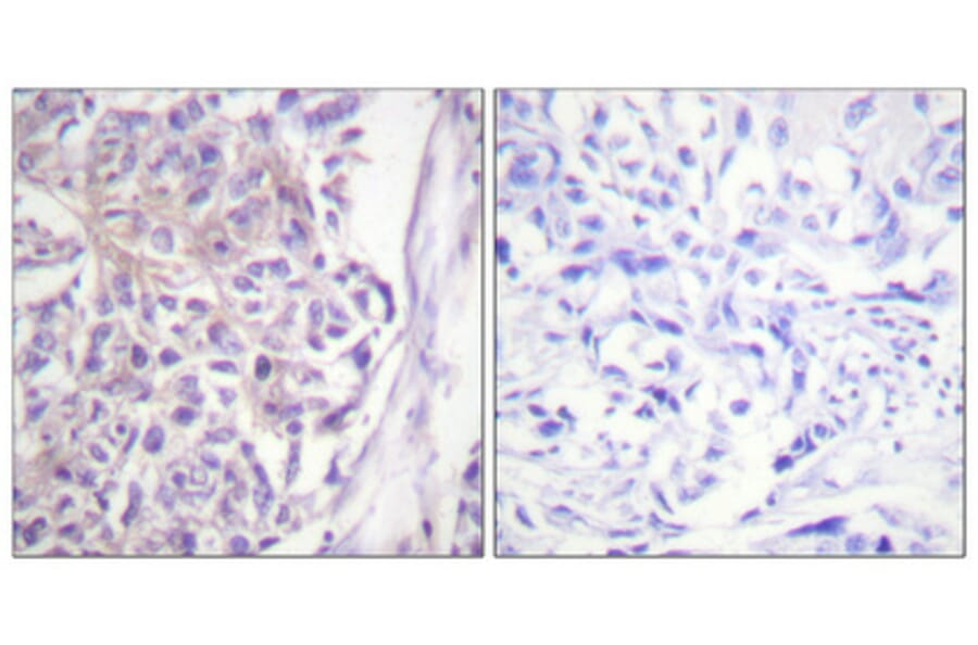
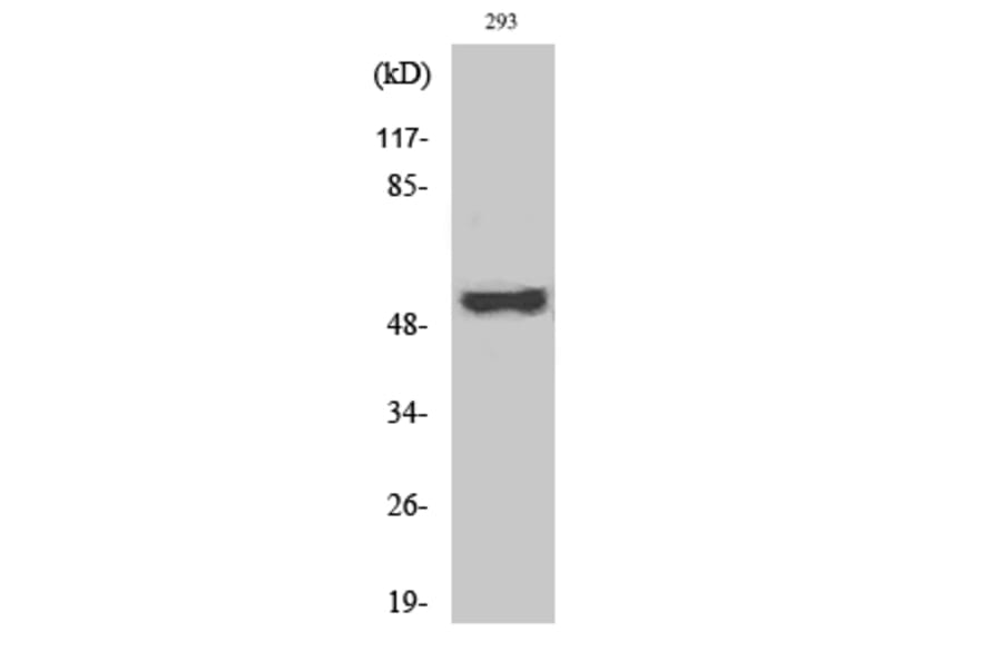
Anti-COT (phospho Thr290) Antibody (A93785)

Rabbit polyclonal antibody to COT (phospho Thr290) for WB, IHC, IF and ELISA.

Shipping Information

$40
Dispatched from St. Louis, MO.
Lead Time: 6-8 business days.
Name
Anti-COT (phospho Thr290) Antibody
Description
Rabbit polyclonal antibody to COT (phospho Thr290).
Specificity
This antibody detects endogenous levels of COT only when phosphorylated at Thr290.
Applications
WB, IHC, IF, ELISA
Dilutions
WB: 1:500~1:1000, IHC: 1:50~1:100, IF: 1:100~1:500, ELISA: 1:40000
Reactivity
Human, Mouse, Rat
Cross Reactivity
No reported cross-reactivity.
Immunogen
Synthetic peptide derived from human COT around the phosphorylation site of Thr290 (amino acids 256-305).
Host
Rabbit
Clonality
Polyclonal
Isotype
IgG
Conjugate

Unconjugated

Purification
Purified from rabbit serum by antigen affinity chromatography using the immunizing phospho peptide.
Molecular Weight
52kDa
Product Form
Liquid
Formulation
Supplied in Phosphate Buffered Saline (without Mg2+ and Ca2+), pH 7.4, with 150mM NaCl, 0.02% Sodium Azide, and 50% Glycerol.
Storage
Shipped at 4°C. Upon delivery aliquot and store at -20°C. Avoid freeze / thaw cycles.
Synonyms
Cancer Osaka thyroid oncogene, COT, ESTF, Mitogen-activated protein kinase kinase kinase 8, Proto-oncogene c-Cot, Serine/threonine-protein kinase cot, TPL-2, Tumor progression locus 2
Disclaimer
This product is for research use only. It is not intended for diagnostic or therapeutic use.
Publishing research using Anti-COT (phospho Thr290) Antibody (A93785)? Please let us know so that we can list the citation on this page.

Alternative products to Anti-COT (phospho Thr290) Antibody (A93785)

Proteins predicted to interact with MAP3K8

Predicted protein interactions based upon String database. Revelancy score correlates with probability of interaction.
99.6% Relevancy Score
99.5% Relevancy Score
97.6% Relevancy Score
96% Relevancy Score
95.4% Relevancy Score
94.2% Relevancy Score
94.2% Relevancy Score
93.6% Relevancy Score
92.6% Relevancy Score