Supplied in Phosphate Buffered Saline, pH 7.3, with 50% Glycerol and 0.01% Thiomersal.
Storage
Shipped at 4°C. Upon delivery aliquot and store at -20°C. Avoid freeze/thaw cycles.
Synonyms
COX IV-1, COX4, COX4I1, Cytochrome c oxidase polypeptide IV, Cytochrome c oxidase subunit 4 isoform 1, mitochondrial, Cytochrome c oxidase subunit IV isoform 1
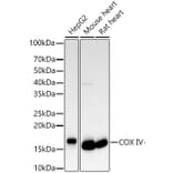
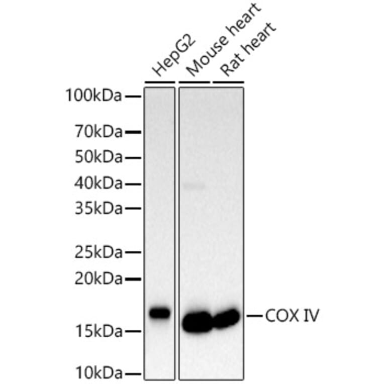
Western blot analysis of various lysates, using Anti-COX IV Antibody (A309799) at 1:500 dilution. The secondary antibody was Goat Anti-Rabbit IgG H&L Antibody (HRP) at 1:10,000 dilution. Lysates/proteins were present at 25µg per lane. The blocking buffer used was 3% non-fat dry milk in TBST. Detection was with a ECL Basic Kit. Exposure time: 10s.
Western blot analysis of extracts from wild type(WT) and COX IVknockdown (KD) 293T(KD) cells, using Anti-COX IV Antibody (A309799) at 1:500 dilution. The secondary antibody was Goat Anti-Rabbit IgG H&L Antibody (HRP) at 1:10,000 dilution. Lysates/proteins were present at 25µg per lane. The blocking buffer used was 3% non-fat dry milk in TBST. Detection was with a ECL Basic Kit. Exposure time: 10s.
Immunofluorescence - Anti-COX IV Antibody (A309799)
Immunofluorescence analysis of HeLa cells using Anti-COX IV Antibody (A309799) at a dilution of 1:50 (40x lens). DAPI was used to stain the cell nuclei (blue).
Immunofluorescence - Anti-COX IV Antibody (A309799)
Immunofluorescence analysis of HepG2 cells using Anti-COX IV Antibody (A309799) at a dilution of 1:50 (40x lens). DAPI was used to stain the cell nuclei (blue).
Immunofluorescence - Anti-COX IV Antibody (A309799)
Immunofluorescence analysis of NIH/3T3 cells using Anti-COX IV Antibody (A309799) at a dilution of 1:50 (40x lens). DAPI was used to stain the cell nuclei (blue).