Primary Antibodies
Secondary Antibodies
Proteins & Peptides
ELISA Kits
About Us
Contact Us
Sign In/Register
0
ISO 9001:2015 Certified
Live Customer Support
4.5/5 on Trustpilot
100% Quality Guarantee
Home
Primary Antibodies
COX16 Antibodies
Anti-COX16 Antibody (A45866)
Anti-COX16 Antibody (A45866)
Overview
Specifications
Images
Enlarge Image
Enlarge Image
$430
Product Datasheet
Rabbit polyclonal antibody to COX16 for IHC.
100% Guarantee
Price Match Guarantee
Product Size:
100µl
Quantity:
1
2
3
4
5
6
7
8
9
10
Add To Cart
Request a Quotation
Custom or Bulk Request
Shipping Information
Freight/Packing Charges:
$40
Dispatched from St. Louis, MO.
Lead Time: 6-9 business days.
Specifications
Name
Anti-COX16 Antibody
Description
Rabbit polyclonal antibody to COX16
Specificity
The antibody detects endogenous levels of total COX16 protein.
Applications
IHC
Reactivity
Human
Immunogen
Fusion protein corresponding to a region derived from internal residues of human COX16 cytochrome c oxidase assembly homolog (S. cerevisiae)
Host
Rabbit
Clonality
Polyclonal
Conjugate
Unconjugated
Purification
Antigen affinity purification.
Concentration
1.2 mg/mL
Formulation
Supplied in PBS, pH 7.3, containing 0.05% sodium azide and 50% glycerol.
Storage
Shipped at 4°C. Upon delivery aliquot and store at -20°C. Avoid freeze/thaw cycles.
Synonyms
C14orf112, Cytochrome c oxidase assembly protein COX16 homolog, mitochondrial, hCOX16, PTD019
Suitable Secondaries
Goat Anti-Rabbit IgG H&L Antibody (AP) (A294874)
Goat Anti-Rabbit IgG H&L Antibody (Biotin) (A294795)
Goat Anti-Rabbit IgG H&L Antibody (FITC) (A294887)
Goat Anti-Rabbit IgG H&L Antibody (HRP) (A294888)
See all Anti-Rabbit IgG Secondaries →
Disclaimer
This product is for research use only. It is not intended for diagnostic or therapeutic use.
Scientific Validation Data
Validation Data
(2)
Enlarge Image
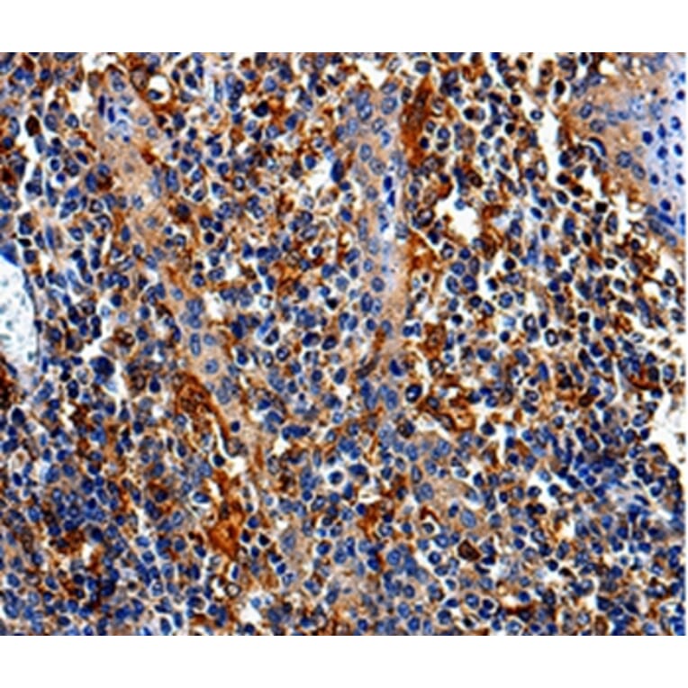
Immunohistochemistry - Anti-COX16 Antibody (A45866)
Immunohistochemical analysis of paraffin-embedded Human tonsil cancer tissue using #35580 at dilution 1/50.
Enlarge Image
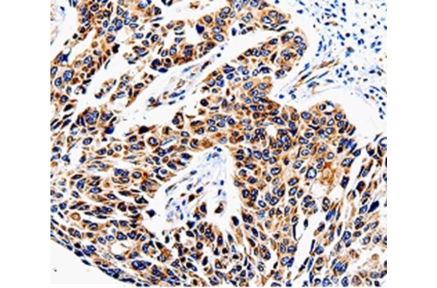
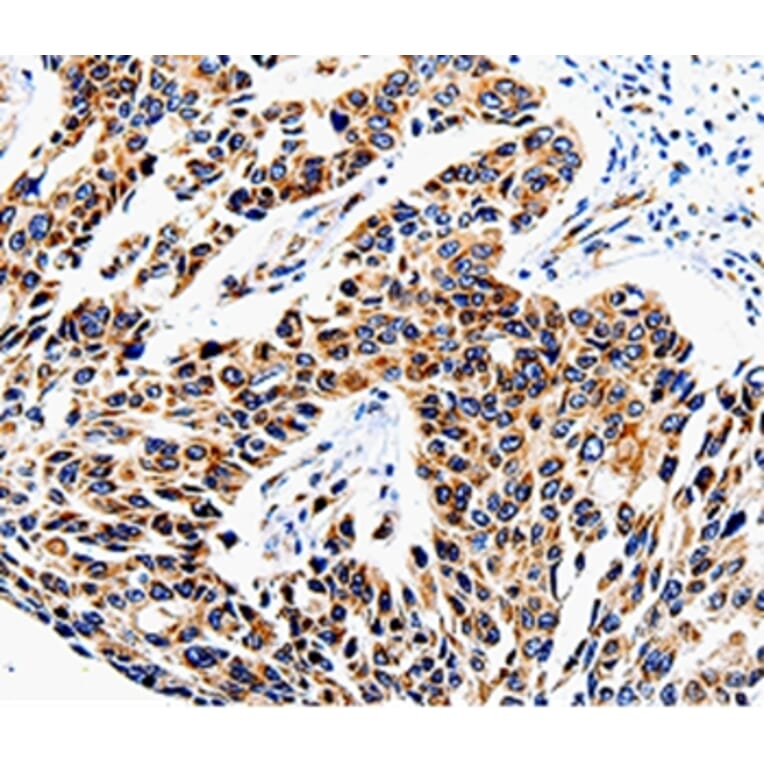
Immunohistochemistry - Anti-COX16 Antibody (A45866)
Immunohistochemical analysis of paraffin-embedded Human lung cancer tissue using #35580 at dilution 1/50.
Publishing research using Anti-COX16 Antibody (A45866)? Please
let us know
so that we can list the citation on this page.
Proteins predicted to interact with COX16
Predicted protein interactions based upon String database. Revelancy score correlates with probability of interaction.
COX17 Antibodies
74.7% Relevancy Score
COX18 Antibodies
74.5% Relevancy Score
SURF1 Antibodies
66.3% Relevancy Score
SCO1 Antibodies
65% Relevancy Score
COX15 Antibodies
63.7% Relevancy Score
COX6C Antibodies
59.4% Relevancy Score
MRPL33 Antibodies
58.2% Relevancy Score
CMC1 Antibodies
57.3% Relevancy Score
COX7A2 Antibodies
57.3% Relevancy Score
Top