ISO 9001:2015 Certified
Live Customer Support
4.5/5 on Trustpilot
100% Quality Guarantee

Anti-COX2 Antibody [COX2/2377] - BSA and Azide free (A278357)

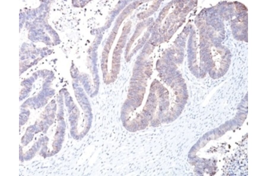
Mouse monoclonal [COX2/2377] antibody to COX2 for IHC-P.

Alternative Formats and ConjugatesAlternative Formats

Shipping Information

$40
Dispatched from St. Louis, MO.
Lead Time: 5-8 business days.
Name
Anti-COX2 Antibody [COX2/2377] - BSA and Azide free
Description
Mouse monoclonal [COX2/2377] antibody to COX2.
Specificity
Prostaglandins are a diverse group of autocrine and paracrine hormones that mediate many cellular and physiologic processes. Prostaglandin H2 (PGH2) is an intermediate molecule in formation of the prostaglandins. Cyclooxygenase-1 (Cox-1) and cyclooxygenase-2 (Cox-2) are prostaglandin synthases that catalyze the formation of PGH2 from arachidonic acid (AA). Cox-1 and Cox-2 are isozymes of prostaglandin-endoperoxidase synthase (PTGS). Cox-1 is constitutively expressed in most tissues and is thought to serve in general housekeeping functions. Cox-2 is efficiently induced in migratory cells responding to pro-inflammatory stimuli and is considered to be an important mediator of inflammation. Both enzymes are targets for the nonsteroidal therapeutic anti-inflammatory drugs, NSAIDs. COX2 expression is significantly increased in 85-90% of human colorectal adenocarcinomas whereas levels of COX-1 are not changed.
Applications
IHC-P
Dilutions
IHC-P: 1-2 µg/ml
Reactivity
Human
Immunogen
Recombinant fragment, around amino acids 442-572, of human COX2. The exact sequence is proprietary.
Host
Mouse
Clonality
Monoclonal
Clone ID
COX2/2377
Isotype
IgG2a
Light Chains
kappa
Conjugate

Unconjugated

Purification
Protein A/G chromatography.
Concentration
1 mg/ml
Molecular Weight
70-72 kDa
Product Form
Liquid
Formulation
Supplied in 10mM Phosphate Buffered Saline; without Sodium Azide and carrier free.
Storage
Shipped at 4°C. Upon delivery aliquot and store at -20°C. Avoid freeze / thaw cycles.
General Notes
This monoclonal antibody is also available in a different formulation with BSA and Sodium Azide - Anti-COX2 Antibody [COX2/2377] (A277769).
Synonyms
COX-2, Cyclooxygenase-2, PGH synthase 2, PGHS-2, PHS II, Prostaglandin G/H synthase 2, Prostaglandin H2 synthase 2, Prostaglandin-endoperoxide synthase 2, PTGS2
Disclaimer
This product is for research use only. It is not intended for diagnostic or therapeutic use.
Publishing research using Anti-COX2 Antibody [COX2/2377] - BSA and Azide free (A278357)? Please let us know so that we can list the citation on this page.

Alternative products to Anti-COX2 Antibody [COX2/2377] - BSA and Azide free (A278357)

Proteins predicted to interact with COX2

Predicted protein interactions based upon String database. Revelancy score correlates with probability of interaction.
98.8% Relevancy Score
97.5% Relevancy Score
97.4% Relevancy Score
97.4% Relevancy Score
97.3% Relevancy Score
96.3% Relevancy Score
96.3% Relevancy Score
96.2% Relevancy Score