Primary Antibodies
Secondary Antibodies
Proteins & Peptides
ELISA Kits
About Us
Contact Us
Sign In/Register
0
ISO 9001:2015 Certified
Live Customer Support
4.5/5 on Trustpilot
100% Quality Guarantee
Home
Primary Antibodies
COX7A2L Antibodies
Anti-COX7A2L Antibody (A45251)
Anti-COX7A2L Antibody (A45251)
Overview
Specifications
Images
Enlarge Image
Enlarge Image
$430
Product Datasheet
Rabbit polyclonal antibody to COX7A2L for IHC.
100% Guarantee
Price Match Guarantee
Product Size:
100µl
Quantity:
1
2
3
4
5
6
7
8
9
10
Add To Cart
Request a Quotation
Custom or Bulk Request
Shipping Information
Freight/Packing Charges:
$40
Dispatched from St. Louis, MO.
Lead Time: 6-9 business days.
Specifications
Name
Anti-COX7A2L Antibody
Description
Rabbit polyclonal antibody to COX7A2L
Specificity
The antibody detects endogenous levels of total COX7A2L protein.
Applications
IHC
Reactivity
Human
Immunogen
Synthetic peptide of human COX7A2L
Host
Rabbit
Clonality
Polyclonal
Conjugate
Unconjugated
Purification
Antigen affinity purification.
Concentration
1.9 mg/mL
Formulation
Rabbit IgG in pH7.4 PBS, 0.05% NaN3, 40% Glycerol.
Storage
Shipped at 4°C. Upon delivery aliquot and store at -20°C. Avoid freeze/thaw cycles.
Synonyms
COX7a-related protein, COX7AR, COX7RP, Cytochrome c oxidase subunit 7A-related protein, mitochondrial, Cytochrome c oxidase subunit VIIa-related protein, EB1
Suitable Secondaries
Goat Anti-Rabbit IgG H&L Antibody (AP) (A294874)
Goat Anti-Rabbit IgG H&L Antibody (Biotin) (A294795)
Goat Anti-Rabbit IgG H&L Antibody (FITC) (A294887)
Goat Anti-Rabbit IgG H&L Antibody (HRP) (A294888)
See all Anti-Rabbit IgG Secondaries →
Disclaimer
This product is for research use only. It is not intended for diagnostic or therapeutic use.
Scientific Validation Data
Validation Data
(2)
Enlarge Image
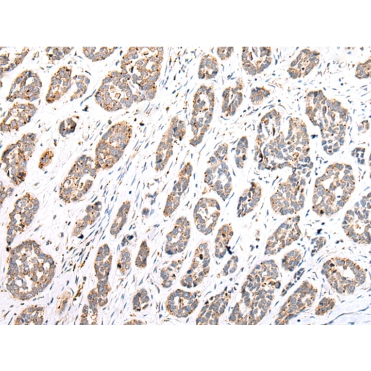
Immunohistochemistry - Anti-COX7A2L Antibody (A45251)
Immunohistochemical analysis of paraffin-embedded Human breast cancer tissue using #43279 at dilution 1/35.
Enlarge Image
Immunohistochemistry - Anti-COX7A2L Antibody (A45251)
Immunohistochemical analysis of paraffin-embedded Human oesophagus cancer tissue using #43279 at dilution 1/35.
Publishing research using Anti-COX7A2L Antibody (A45251)? Please
let us know
so that we can list the citation on this page.
Alternative products to Anti-COX7A2L Antibody (A45251)
A329279
Anti-COX7A2L Antibody
Rabbit polyclonal antibody to COX7A2L for WB and ELISA.
A28477
Anti-COX7A2L Antibody
Rabbit polyclonal antibody to COX7A2L for WB.
A16146
Anti-COX7A2L Antibody
Rabbit polyclonal antibody to COX7A2L for WB.
A329279
Anti-COX7A2L Antibody
Rabbit polyclonal antibody to COX7A2L for WB and ELISA.
A28477
Anti-COX7A2L Antibody
Rabbit polyclonal antibody to COX7A2L for WB.
A16146
Anti-COX7A2L Antibody
Rabbit polyclonal antibody to COX7A2L for WB.
Proteins predicted to interact with COX7A2L
Predicted protein interactions based upon String database. Revelancy score correlates with probability of interaction.
NDUFS5 Antibodies
99.6% Relevancy Score
NDUFS4 Antibodies
99.6% Relevancy Score
COX6A1 Antibodies
98.1% Relevancy Score
COX7C Antibodies
97.7% Relevancy Score
COX5B Antibodies
97.2% Relevancy Score
MTCO1 Antibodies
96.9% Relevancy Score
COX5A Antibodies
96.9% Relevancy Score
COX IV Antibodies
96.7% Relevancy Score
COX6B1 Antibodies
95.1% Relevancy Score
Top