Primary Antibodies
Secondary Antibodies
Proteins & Peptides
ELISA Kits
About Us
Contact Us
Sign In/Register
0
ISO 9001:2015 Certified
Live Customer Support
4.5/5 on Trustpilot
100% Quality Guarantee
Home
Primary Antibodies
COX8A Antibodies
Anti-COX8A Antibody (A45867)
Anti-COX8A Antibody (A45867)
Overview
Specifications
Images
Enlarge Image
Enlarge Image
$430
Product Datasheet
Rabbit polyclonal antibody to COX8A for IHC.
100% Guarantee
Price Match Guarantee
Product Size:
100µl
Quantity:
1
2
3
4
5
6
7
8
9
10
Add To Cart
Request a Quotation
Custom or Bulk Request
Shipping Information
Freight/Packing Charges:
$40
Dispatched from St. Louis, MO.
Lead Time: 6-9 business days.
Specifications
Name
Anti-COX8A Antibody
Description
Rabbit polyclonal antibody to COX8A
Specificity
The antibody detects endogenous levels of total COX8A protein.
Applications
IHC
Reactivity
Human
Immunogen
Fusion protein corresponding to a region derived from internal residues of human cytochrome c oxidase subunit VIIIA (ubiquitous)
Host
Rabbit
Clonality
Polyclonal
Conjugate
Unconjugated
Purification
Antigen affinity purification.
Concentration
0.5 mg/mL
Formulation
Supplied in PBS, pH 7.3, containing 0.05% sodium azide and 50% glycerol.
Storage
Shipped at 4°C. Upon delivery aliquot and store at -20°C. Avoid freeze/thaw cycles.
Synonyms
COX8, COX8L, Cytochrome c oxidase polypeptide VIII-liver/heart, Cytochrome c oxidase subunit 8-2, Cytochrome c oxidase subunit 8A, mitochondrial
Suitable Secondaries
Goat Anti-Rabbit IgG H&L Antibody (AP) (A294874)
Goat Anti-Rabbit IgG H&L Antibody (Biotin) (A294795)
Goat Anti-Rabbit IgG H&L Antibody (FITC) (A294887)
Goat Anti-Rabbit IgG H&L Antibody (HRP) (A294888)
See all Anti-Rabbit IgG Secondaries →
Disclaimer
This product is for research use only. It is not intended for diagnostic or therapeutic use.
Scientific Validation Data
Validation Data
(2)
Enlarge Image
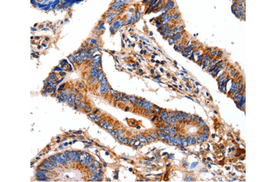
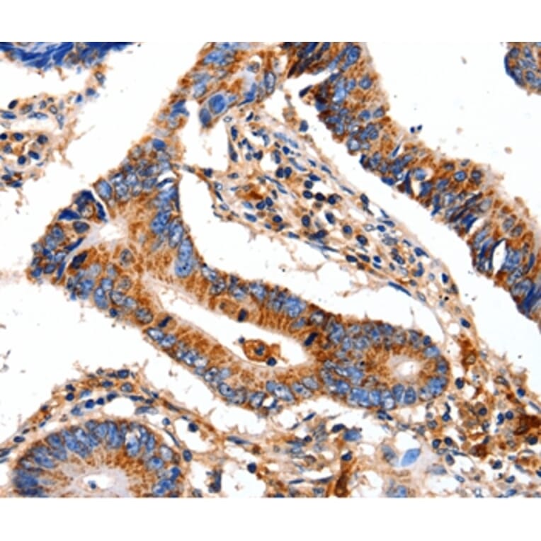
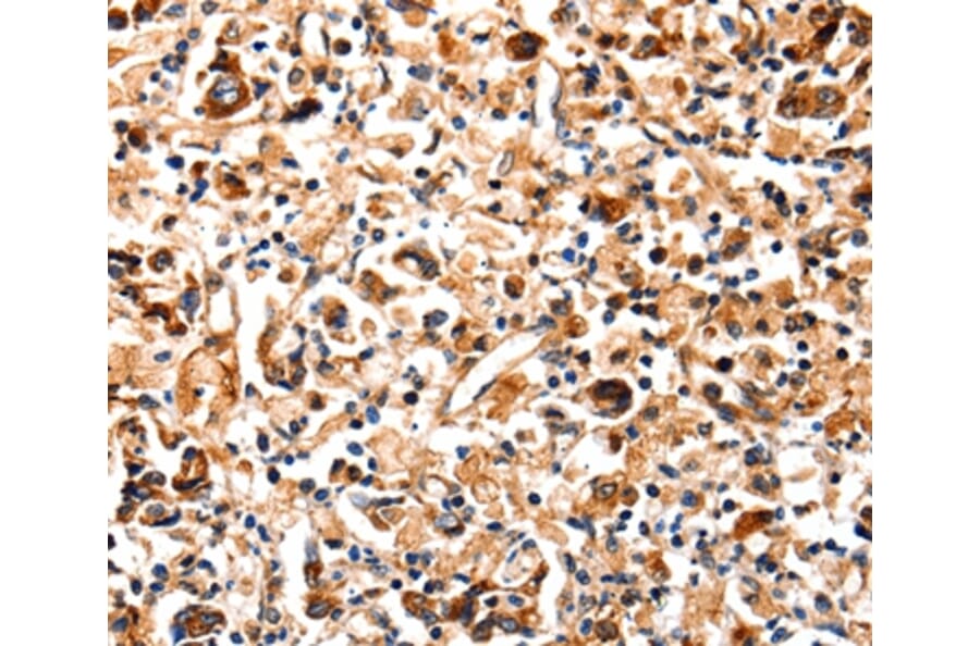
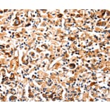
Immunohistochemistry - Anti-COX8A Antibody (A45867)
Immunohistochemical analysis of paraffin-embedded Human gastric cancer tissue using #35584 at dilution 1/12.
Enlarge Image
Immunohistochemistry - Anti-COX8A Antibody (A45867)
Immunohistochemical analysis of paraffin-embedded Human colon cancer tissue using #35584 at dilution 1/12.
Publishing research using Anti-COX8A Antibody (A45867)? Please
let us know
so that we can list the citation on this page.
Alternative products to Anti-COX8A Antibody (A45867)
A28478
Anti-COX8A Antibody
Rabbit polyclonal antibody to COX8A for WB.
A91396
Anti-COX8A Antibody
Rabbit polyclonal antibody to COX8A for WB.
A28478
Anti-COX8A Antibody
Rabbit polyclonal antibody to COX8A for WB.
A91396
Anti-COX8A Antibody
Rabbit polyclonal antibody to COX8A for WB.
Proteins predicted to interact with COX8A
Predicted protein interactions based upon String database. Revelancy score correlates with probability of interaction.
COX5B Antibodies
99.9% Relevancy Score
COX6A1 Antibodies
99.8% Relevancy Score
COX6C Antibodies
99.8% Relevancy Score
COX6B1 Antibodies
99.8% Relevancy Score
COX7B Antibodies
99.7% Relevancy Score
COX7C Antibodies
99.7% Relevancy Score
COX5A Antibodies
99.6% Relevancy Score
COX IV Antibodies
99.6% Relevancy Score
MTCO1 Antibodies
99% Relevancy Score
Top