Primary Antibodies
Secondary Antibodies
Proteins & Peptides
ELISA Kits
About Us
Contact Us
Sign In/Register
0
ISO 9001:2015 Certified
Live Customer Support
4.5/5 on Trustpilot
100% Quality Guarantee
Home
Primary Antibodies
Carboxypeptidase A2 Antibodies
Anti-CPA2 Antibody (A38724)
Anti-CPA2 Antibody (A38724)
Overview
Specifications
Images
Enlarge Image
Enlarge Image
$430
Product Datasheet
Rabbit polyclonal antibody to CPA2 for WB and IHC.
100% Guarantee
Price Match Guarantee
Product Size:
100µl
Quantity:
1
2
3
4
5
6
7
8
9
10
Add To Cart
Request a Quotation
Custom or Bulk Request
Shipping Information
Freight/Packing Charges:
$40
Dispatched from St. Louis, MO.
Lead Time: 6-9 business days.
Specifications
Name
Anti-CPA2 Antibody
Description
Rabbit polyclonal antibody to CPA2
Specificity
The antibody detects endogenous levels of total CPA2 protein.
Applications
WB
,
IHC
Reactivity
Human, Mouse
Immunogen
Fusion protein corresponding to a region derived from internal residues of human carboxypeptidase A2 (pancreatic)
Host
Rabbit
Clonality
Polyclonal
Conjugate
Unconjugated
Purification
Antigen affinity purification.
Concentration
1 mg/mL
Formulation
Supplied in PBS, pH 7.3, containing 0.05% sodium azide and 50% glycerol.
Storage
Shipped at 4°C. Upon delivery aliquot and store at -20°C. Avoid freeze/thaw cycles.
Suitable Secondaries
Goat Anti-Rabbit IgG H&L Antibody (AP) (A294874)
Goat Anti-Rabbit IgG H&L Antibody (Biotin) (A294795)
Goat Anti-Rabbit IgG H&L Antibody (FITC) (A294887)
Goat Anti-Rabbit IgG H&L Antibody (HRP) (A294888)
See all Anti-Rabbit IgG Secondaries →
Disclaimer
This product is for research use only. It is not intended for diagnostic or therapeutic use.
Scientific Validation Data
Validation Data
(2)
Enlarge Image
Anti-CPA2 Antibody (A38724)
Gel: 8% SDS-PAGE Lysates (from left to right): Mouse pancreas tissue Amount of lysate: 40ug per lane Primary antibody: 1/500 dilution Secondary antibody dilution: 1/8000 Exposure time: 10 seconds
Enlarge Image
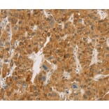
Immunohistochemistry - Anti-CPA2 Antibody (A38724)
Immunohistochemical analysis of paraffin-embedded Human liver cancer tissue using #36364 at dilution 1/20.
Publishing research using Anti-CPA2 Antibody (A38724)? Please
let us know
so that we can list the citation on this page.
Proteins predicted to interact with Carboxypeptidase A2
Predicted protein interactions based upon String database. Revelancy score correlates with probability of interaction.
Elastase Antibodies
94% Relevancy Score
Carboxypeptidase A Antibodies
93.8% Relevancy Score
CPA3 Antibodies
91.8% Relevancy Score
Chymotrypsin Antibodies
82.5% Relevancy Score
Cela3b Antibodies
82.2% Relevancy Score
LXN Antibodies
80.9% Relevancy Score
PNLIPRP1 Antibodies
68.7% Relevancy Score
Pancreatic Polypeptide Antibodies
66% Relevancy Score
PRSS2 Antibodies
63.9% Relevancy Score
Top