ISO 9001:2015 Certified
Live Customer Support
4.5/5 on Trustpilot
100% Quality Guarantee

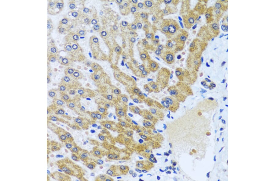
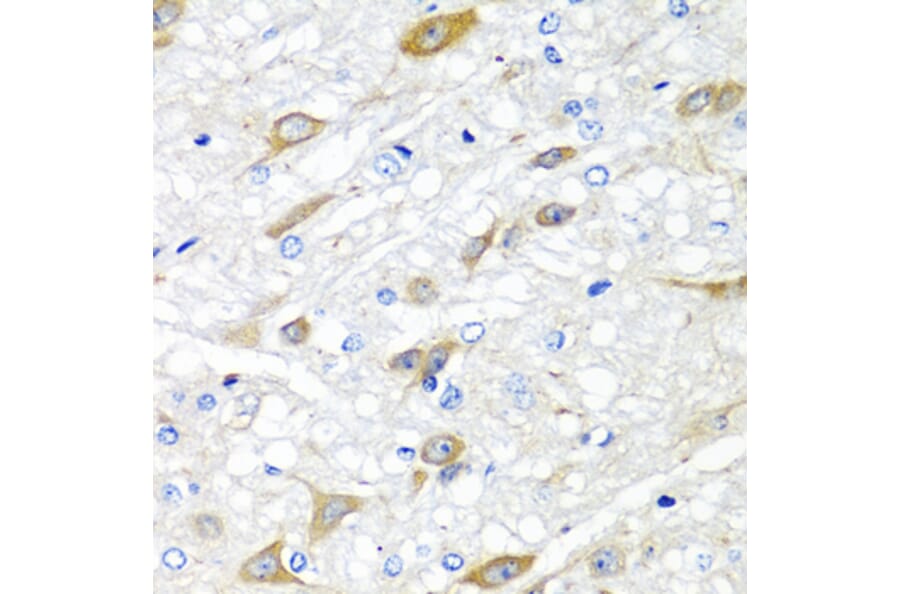
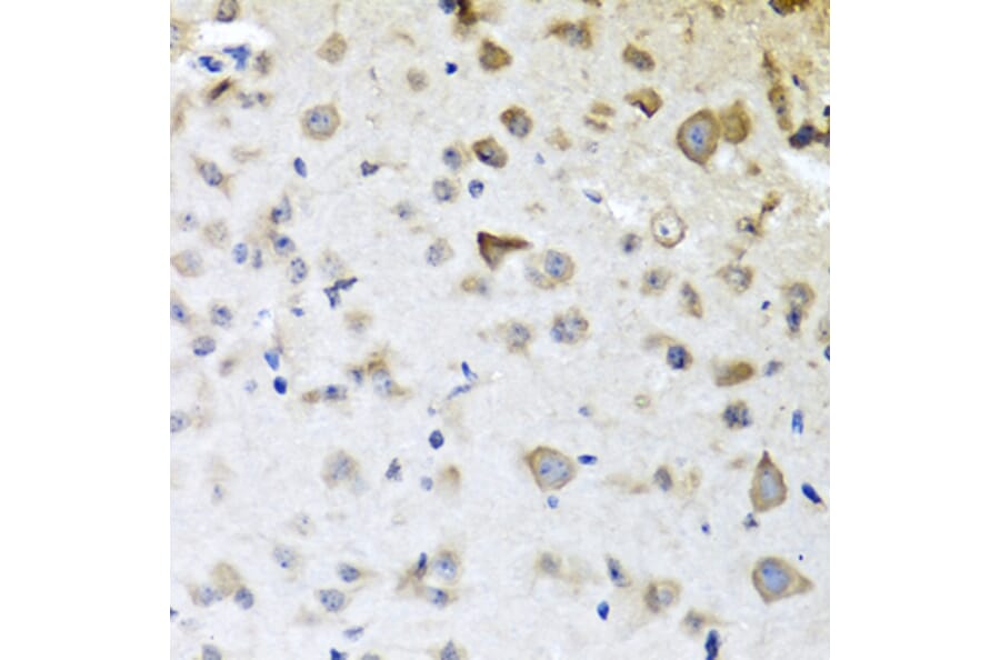
Anti-CPA6 Antibody (A89961)

Rabbit polyclonal antibody to CPA6 for WB, IHC and ICC/IF.

Shipping Information

$40
Dispatched from St. Louis, MO.
Lead Time: 7-10 business days.
Name
Anti-CPA6 Antibody
Description
Rabbit polyclonal antibody to CPA6.
Applications
WB, IHC, ICC/IF
Dilutions
WB: 1:500-1:2,000, IHC: 1:50-1:200, ICC/IF: 1:50-1:200
Reactivity
Human, Mouse, Rat
Immunogen
Recombinant fusion protein containing a sequence corresponding to amino acids 130-437 of human CPA6 (NP_065094.3).
Sequence
SLSGYNYEVYHSLEEIQNWMHHLNKTHSGLIHMFSIGRSYEGRSLFILKLGRRSRLKRAVWIDCGIHAREWIGPAFCQWFVKEALLTYKSDPAMRKMLNHLYFYIMPVFNVDGYHFSWTNDRFWRKTRSRNSRFRCRGVDANRNWKVKWCDEGASMHPCDDTYCGPFPESEPEVKAVANFLRKHRKHIRAYLSFHAYAQMLLYPYSYKYATIPNFRCVESAAYKAVNALQSVYGVRYRYGPASTTLYVSSGSSMDWAYKNGIPYAFAFELRDTGYFGFLLPEMLIKPTCTETMLAVKNITMHLLKKCP
Host
Rabbit
Clonality
Polyclonal
Isotype
IgG
Conjugate

Unconjugated

Purification
Affinity purification.
Concentration
Lot Specific
Molecular Weight
51 kDa
Product Form
Liquid
Formulation
Supplied in Phosphate Buffered Saline, pH 7.3, with 50% Glycerol and 0.02% Sodium Azide.
Storage
Shipped at 4°C. Upon delivery aliquot and store at -20°C. Avoid freeze/thaw cycles.
Synonyms
CPAH
Disclaimer
This product is for research use only. It is not intended for diagnostic or therapeutic use.
Publishing research using Anti-CPA6 Antibody (A89961)? Please let us know so that we can list the citation on this page.

Alternative products to Anti-CPA6 Antibody (A89961)

Proteins predicted to interact with Carboxypeptidase A6

Predicted protein interactions based upon String database. Revelancy score correlates with probability of interaction.
60.4% Relevancy Score
59.9% Relevancy Score
55.4% Relevancy Score
47.8% Relevancy Score
45.9% Relevancy Score
41% Relevancy Score
40.8% Relevancy Score
40.3% Relevancy Score