ISO 9001:2015 Certified
Live Customer Support
4.5/5 on Trustpilot
100% Quality Guarantee

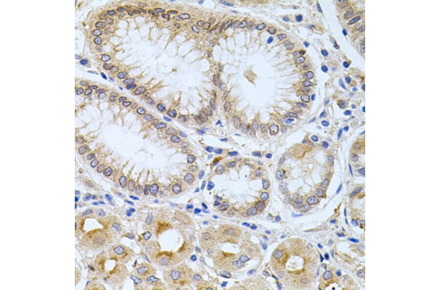
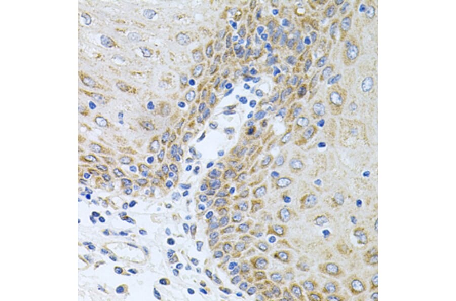
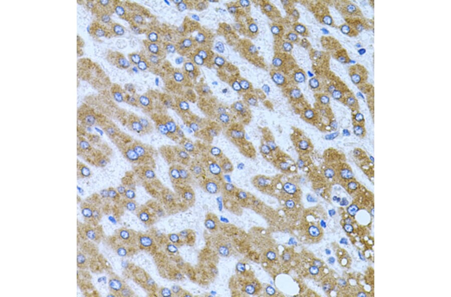
Anti-CPM Antibody (A9917)

Rabbit polyclonal antibody to CPM for WB and IHC.

Shipping Information

$40
Dispatched from St. Louis, MO.
Lead Time: 7-10 business days.
Name
Anti-CPM Antibody
Description
Rabbit polyclonal antibody to CPM.
Applications
WB, IHC
Dilutions
WB: 1:100-1:500, IHC: 1:50-1:100
Reactivity
Human, Rat
Immunogen
Recombinant fusion protein containing a sequence corresponding to amino acids 204-443 of human CPM (NP_001005502.1).
Sequence
VQATGALYSRSLTPDDDVFQYLAHTYASRNPNMKKGDECKNKMNFPNGVTNGYSWYPLQGGMQDYNYIWAQCFEITLELSCCKYPREEKLPSFWNNNKASLIEYIKQVHLGVKGQVFDQNGNPLPNVIVEVQDRKHICPYRTNKYGEYYLLLLPGSYIINVTVPGHDPHITKVIIPEKSQNFSALKKDILLPFQGQLDSIPVSNPSCPMIPLYRNLPDHSAATKPSLFLFLVSLLHIFFK
Host
Rabbit
Clonality
Polyclonal
Isotype
IgG
Conjugate

Unconjugated

Purification
Affinity purification.
Concentration
Lot Specific
Molecular Weight
51 kDa
Product Form
Liquid
Formulation
Supplied in Phosphate Buffered Saline, pH 7.3, with 50% Glycerol and 0.02% Sodium Azide.
Storage
Shipped at 4°C. Upon delivery aliquot and store at -20°C. Avoid freeze/thaw cycles.
Disclaimer
This product is for research use only. It is not intended for diagnostic or therapeutic use.
Publishing research using Anti-CPM Antibody (A9917)? Please let us know so that we can list the citation on this page.

Alternative products to Anti-CPM Antibody (A9917)

Proteins predicted to interact with Carboxypeptidase M

Predicted protein interactions based upon String database. Revelancy score correlates with probability of interaction.
78.6% Relevancy Score
58.9% Relevancy Score
57.1% Relevancy Score
55.8% Relevancy Score
52.6% Relevancy Score
49.3% Relevancy Score
48.7% Relevancy Score
48% Relevancy Score
47.5% Relevancy Score