ISO 9001:2015 Certified
Live Customer Support
4.5/5 on Trustpilot
100% Quality Guarantee

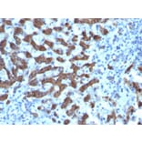
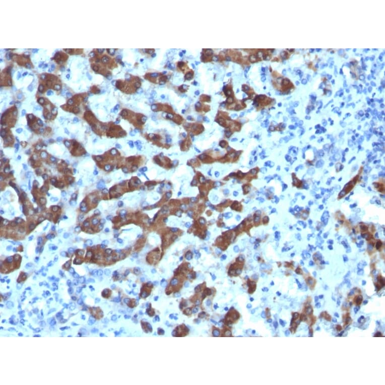
Anti-CPS1 Antibody [CPS1/1022] - BSA and Azide free (A251437)

Mouse monoclonal [CPS1/1022] antibody to CPS1 for IHC-P.

Alternative Formats and ConjugatesAlternative Formats

Shipping Information

$40
Dispatched from St. Louis, MO.
Lead Time: 5-8 business days.
Name
Anti-CPS1 Antibody [CPS1/1022] - BSA and Azide free
Description
Mouse monoclonal [CPS1/1022] antibody to CPS1.
Specificity
This antibody recognizes a protein of 165kDa, identified as carbamoyl phosphate synthetase 1 (CPS1). This mitochondrial enzyme catalyzes synthesis of carbamoyl phosphate from ammonia and bicarbonate. This reaction is the first committed step of the urea cycle, which is important in the removal of excess urea from cells.Deficiency of CPS1 is an autosomal recessive disorder that causes hyperammonemia. CPS1 is a hepatocyte specific protein that localizes to the mitochondria of hepatocytes. It is a sensitive marker for distinguishing hepatocellular carcinomas (HCC) from other metastatic carcinomas as well as cholangio-carcinomas. HCCs occur primarily in the stomach, but they are also found in many other organs. CPS1 may also be a useful marker for intestinal metaplasia. Reportedly, strong expression of CPS1 correlates with smaller tumor size and longer patient survival. Occasionally, CPS1 is also found in gastric carcinomas as well as in a few other non-hepatic tumors.
Applications
IHC-P
Dilutions
IHC-P: 1-2 µg/ml
Reactivity
Human, Canine
Immunogen
Recombinant human CPS1 protein.
Host
Mouse
Clonality
Monoclonal
Clone ID
CPS1/1022
Isotype
IgG1
Light Chains
kappa
Conjugate

Unconjugated

Purification
Protein A/G chromatography.
Concentration
1 mg/ml
Molecular Weight
~165 kDa
Product Form
Liquid
Formulation
Supplied in 10mM Phosphate Buffered Saline; without Sodium Azide and carrier free.
Storage
Shipped at 4°C. Upon delivery aliquot and store at -20°C. Avoid freeze / thaw cycles.
General Notes
This monoclonal antibody is also available in a different formulation with BSA and Sodium Azide - Anti-CPS1 Antibody [CPS1/1022] (A248255).
Synonyms
Carbamoyl-phosphate synthase [ammonia], mitochondrial, Carbamoyl-phosphate synthetase I, CPSase I
Disclaimer
This product is for research use only. It is not intended for diagnostic or therapeutic use.
Publishing research using Anti-CPS1 Antibody [CPS1/1022] - BSA and Azide free (A251437)? Please let us know so that we can list the citation on this page.

Alternative products to Anti-CPS1 Antibody [CPS1/1022] - BSA and Azide free (A251437)

Proteins predicted to interact with CPS1

Predicted protein interactions based upon String database. Revelancy score correlates with probability of interaction.
99.9% Relevancy Score
99.8% Relevancy Score
97.2% Relevancy Score
96.9% Relevancy Score
96.8% Relevancy Score
92.3% Relevancy Score
91.7% Relevancy Score
91.4% Relevancy Score
90.8% Relevancy Score