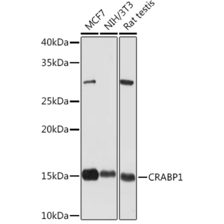
Western Blot - Anti-CRABP1 Antibody [ARC1991] (A308999)
Western blot analysis of extracts of various cell lines, using Anti-CRABP1 Antibody [ARC1991] (A308999) at 1:1,000 dilution. The secondary antibody was Goat Anti-Rabbit IgG H&L Antibody (HRP) at 1:10,000 dilution. Lysates/proteins were present at 25µg per lane. The blocking buffer used was 3% non-fat dry milk in TBST. Detection was with a ECL Basic Kit. Exposure time: 30s.
Western Blot - Anti-CRABP1 Antibody [ARC1991] (A308999)
Western blot analysis of extracts of Mouse testis, using Anti-CRABP1 Antibody [ARC1991] (A308999) at 1:1,000 dilution. The secondary antibody was Goat Anti-Rabbit IgG H&L Antibody (HRP) at 1:10,000 dilution. Lysates/proteins were present at 25µg per lane. The blocking buffer used was 3% non-fat dry milk in TBST. Detection was with a ECL Basic Kit. Exposure time: 3min.
Immunohistochemistry analysis of paraffin-embedded rat cornea using Anti-CRABP1 Antibody [ARC1991] (A308999) at a dilution of 1:100 (40x lens). Perform microwave antigen retrieval with 10 mM Tris/EDTA buffer pH 9.0 before commencing with IHC staining protocol.
Immunohistochemistry analysis of paraffin-embedded rat retina using Anti-CRABP1 Antibody [ARC1991] (A308999) at a dilution of 1:100 (40x lens). Perform microwave antigen retrieval with 10 mM Tris/EDTA buffer pH 9.0 before commencing with IHC staining protocol.
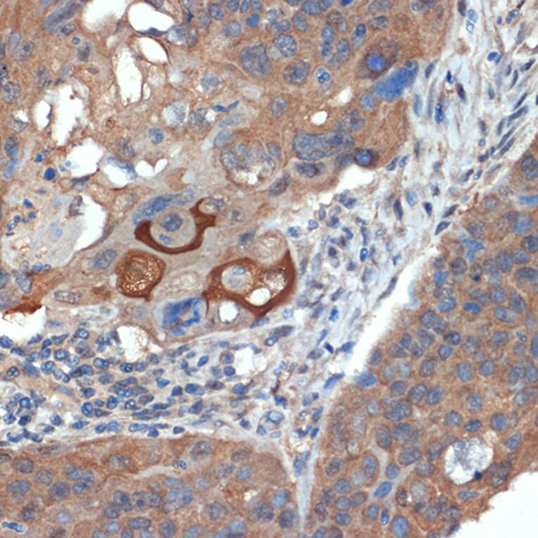
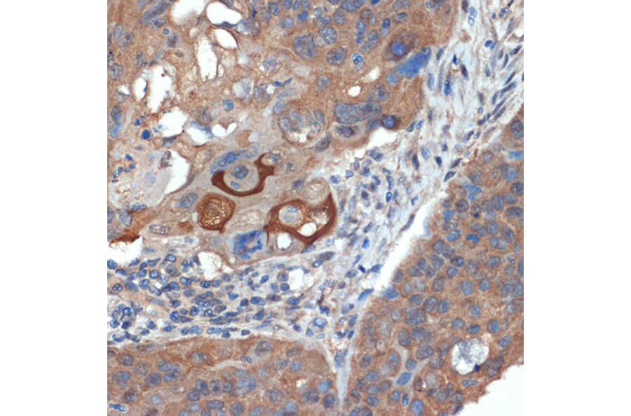
Immunohistochemistry analysis of paraffin-embedded human esophageal cancer using Anti-CRABP1 Antibody [ARC1991] (A308999) at a dilution of 1:100 (40x lens). Perform microwave antigen retrieval with 10 mM Tris/EDTA buffer pH 9.0 before commencing with IHC staining protocol.
Immunohistochemistry analysis of paraffin-embedded mouse retina using Anti-CRABP1 Antibody [ARC1991] (A308999) at a dilution of 1:100 (40x lens). Perform microwave antigen retrieval with 10 mM Tris/EDTA buffer pH 9.0 before commencing with IHC staining protocol.
Immunofluorescence analysis of rat eye using Anti-CRABP1 Antibody [ARC1991] (A308999) at a dilution of 1:100 (40x lens). DAPI was used to stain the cell nuclei (blue).