Primary Antibodies
Secondary Antibodies
Proteins & Peptides
ELISA Kits
About Us
Contact Us
Sign In/Register
0
ISO 9001:2015 Certified
Live Customer Support
4.5/5 on Trustpilot
100% Quality Guarantee
Home
Primary Antibodies
RAIDD Antibodies
Anti-CRADD Antibody (A46040)
Anti-CRADD Antibody (A46040)
Overview
Specifications
Images
Enlarge Image
$430
Product Datasheet
Rabbit polyclonal antibody to CRADD for IHC.
100% Guarantee
Price Match Guarantee
Product Size:
100µl
Quantity:
1
2
3
4
5
6
7
8
9
10
Add To Cart
Request a Quotation
Custom or Bulk Request
Shipping Information
Freight/Packing Charges:
$40
Dispatched from St. Louis, MO.
Lead Time: 6-9 business days.
Tags:
Plasma Membrane Marker
Specifications
Name
Anti-CRADD Antibody
Description
Rabbit polyclonal antibody to CRADD
Specificity
The antibody detects endogenous levels of total CRADD protein.
Applications
IHC
Reactivity
Human
Immunogen
Full length fusion protein
Host
Rabbit
Clonality
Polyclonal
Conjugate
Unconjugated
Purification
Antigen affinity purification.
Concentration
1.3 mg/mL
Formulation
Supplied in PBS, pH 7.3, containing 0.05% sodium azide and 50% glycerol.
Storage
Shipped at 4°C. Upon delivery aliquot and store at -20°C. Avoid freeze/thaw cycles.
Synonyms
Caspase and RIP adapter with death domain, Death domain-containing protein CRADD, RIP-associated protein with a death domain
Suitable Secondaries
Goat Anti-Rabbit IgG H&L Antibody (AP) (A294874)
Goat Anti-Rabbit IgG H&L Antibody (Biotin) (A294795)
Goat Anti-Rabbit IgG H&L Antibody (FITC) (A294887)
Goat Anti-Rabbit IgG H&L Antibody (HRP) (A294888)
See all Anti-Rabbit IgG Secondaries →
Disclaimer
This product is for research use only. It is not intended for diagnostic or therapeutic use.
Scientific Validation Data
Validation Data
(1)
Enlarge Image
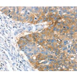
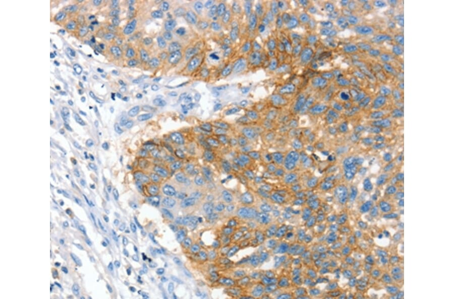
Immunohistochemistry - Anti-CRADD Antibody (A46040)
Immunohistochemical analysis of paraffin-embedded Human lung cancer tissue using #36713 at dilution 1/25.
Publishing research using Anti-CRADD Antibody (A46040)? Please
let us know
so that we can list the citation on this page.
Alternative products to Anti-CRADD Antibody (A46040)
(2)
A305968
Anti-RAIDD Antibody [ARC1770]
Rabbit monoclonal [ARC1770] antibody to RAIDD for WB and ICC/IF.
(2)
A305654
Anti-RAIDD Antibody [ARC1771]
Rabbit monoclonal [ARC1771] antibody to RAIDD for WB and IHC.
(2)
A48765
Anti-RAIDD Antibody
Rabbit polyclonal antibody to RAIDD for ELISA, WB and ICC/IF.
(2)
A47838
Anti-RAIDD Antibody
Rabbit polyclonal antibody to RAIDD for ELISA, WB and IHC.
A28269
Anti-RAIDD Antibody
Rabbit polyclonal antibody to RAIDD for WB.
A346643
Anti-RAIDD Antibody [25GB3380]
Recombinant rabbit monoclonal [25GB3380] antibody to RAIDD for WB, Flow Cytometry and ICC/IF.
A346642
Anti-RAIDD Antibody [24GB4230]
Recombinant rabbit monoclonal [24GB4230] antibody to RAIDD for WB, Flow Cytometry and ICC/IF.
A13263
Anti-RAIDD Antibody
Rabbit polyclonal antibody to RAIDD for WB.
A43279
Anti-CRADD Antibody
Rabbit polyclonal antibody to CRADD for WB.
A58470
Anti-RAIDD Antibody [PAT14G8AT]
Mouse monoclonal [PAT14G8AT] antibody to RAIDD for ELISA and WB.
(2)
A305968
Anti-RAIDD Antibody [ARC1770]
Rabbit monoclonal [ARC1770] antibody to RAIDD for WB and ICC/IF.
(2)
A305654
Anti-RAIDD Antibody [ARC1771]
Rabbit monoclonal [ARC1771] antibody to RAIDD for WB and IHC.
(2)
A48765
Anti-RAIDD Antibody
Rabbit polyclonal antibody to RAIDD for ELISA, WB and ICC/IF.
(2)
A47838
Anti-RAIDD Antibody
Rabbit polyclonal antibody to RAIDD for ELISA, WB and IHC.
A28269
Anti-RAIDD Antibody
Rabbit polyclonal antibody to RAIDD for WB.
A346643
Anti-RAIDD Antibody [25GB3380]
Recombinant rabbit monoclonal [25GB3380] antibody to RAIDD for WB, Flow Cytometry and ICC/IF.
A346642
Anti-RAIDD Antibody [24GB4230]
Recombinant rabbit monoclonal [24GB4230] antibody to RAIDD for WB, Flow Cytometry and ICC/IF.
A13263
Anti-RAIDD Antibody
Rabbit polyclonal antibody to RAIDD for WB.
A43279
Anti-CRADD Antibody
Rabbit polyclonal antibody to CRADD for WB.
A58470
Anti-RAIDD Antibody [PAT14G8AT]
Mouse monoclonal [PAT14G8AT] antibody to RAIDD for ELISA and WB.
See all CRADD Antibodies
Proteins predicted to interact with RAIDD
Predicted protein interactions based upon String database. Revelancy score correlates with probability of interaction.
LRDD Antibodies
99.9% Relevancy Score
Caspase-2 Antibodies
99.9% Relevancy Score
TRADD Antibodies
98% Relevancy Score
FADD Antibodies
96.7% Relevancy Score
CYFIP2 Antibodies
93.4% Relevancy Score
RIP Antibodies
81.4% Relevancy Score
APAF1 Antibodies
74.5% Relevancy Score
TNFR1 Antibodies
69.8% Relevancy Score
RIP2 Antibodies
69.2% Relevancy Score
Top