ISO 9001:2015 Certified
Live Customer Support
4.5/5 on Trustpilot
100% Quality Guarantee

Anti-Creatine kinase MT Antibody (A16834)

Rabbit polyclonal antibody to Creatine kinase MT for WB, ICC/IF and IP.

Shipping Information

$40
Dispatched from St. Louis, MO.
Lead Time: 7-10 business days.
Name
Anti-Creatine kinase MT Antibody
Description
Rabbit polyclonal antibody to Creatine kinase MT.
Applications
WB, ICC/IF, IP
Dilutions
WB: 1:500-1:2,000, ICC/IF: 1:50-1:100, IP: 1:500-1:1,000
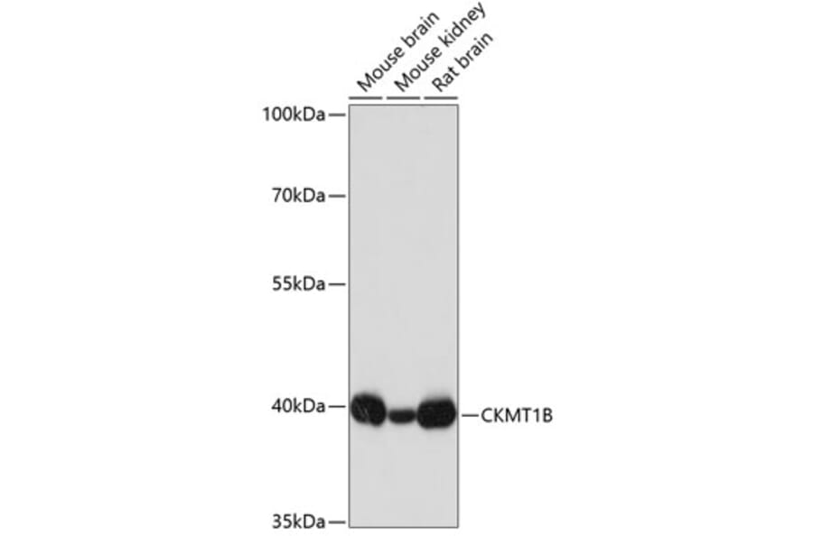
Reactivity
Human, Mouse, Rat
Immunogen
Recombinant fusion protein containing a sequence corresponding to amino acids 1-85 of human CKMT1B (NP_066270.1).
Sequence
MAGPFSRLLSARPGLRLLALAGAGSLAAGFLLRPEPVRAASERRRLYPPSAEYPDLRKHNNCMASHLTPAVYARLCDKTTPTGWT
Host
Rabbit
Clonality
Polyclonal
Isotype
IgG
Conjugate

Unconjugated

Purification
Affinity purification.
Concentration
Lot Specific
Molecular Weight
42 kDa
Product Form
Liquid
Formulation
Supplied in Phosphate Buffered Saline, pH 7.3, with 50% Glycerol and 0.01% Thiomersal.
Storage
Shipped at 4°C. Upon delivery aliquot and store at -20°C. Avoid freeze/thaw cycles.
Disclaimer
This product is for research use only. It is not intended for diagnostic or therapeutic use.
Publishing research using Anti-Creatine kinase MT Antibody (A16834)? Please let us know so that we can list the citation on this page.

Alternative products to Anti-Creatine kinase MT Antibody (A16834)