ISO 9001:2015 Certified
Live Customer Support
4.5/5 on Trustpilot
100% Quality Guarantee

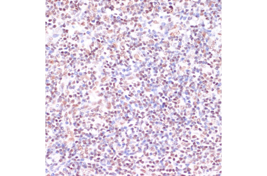
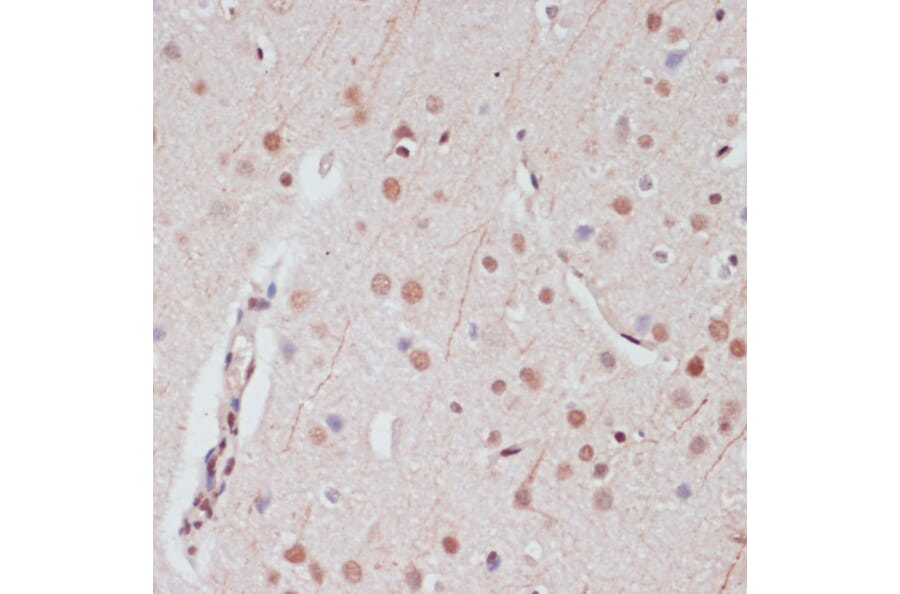
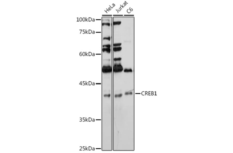
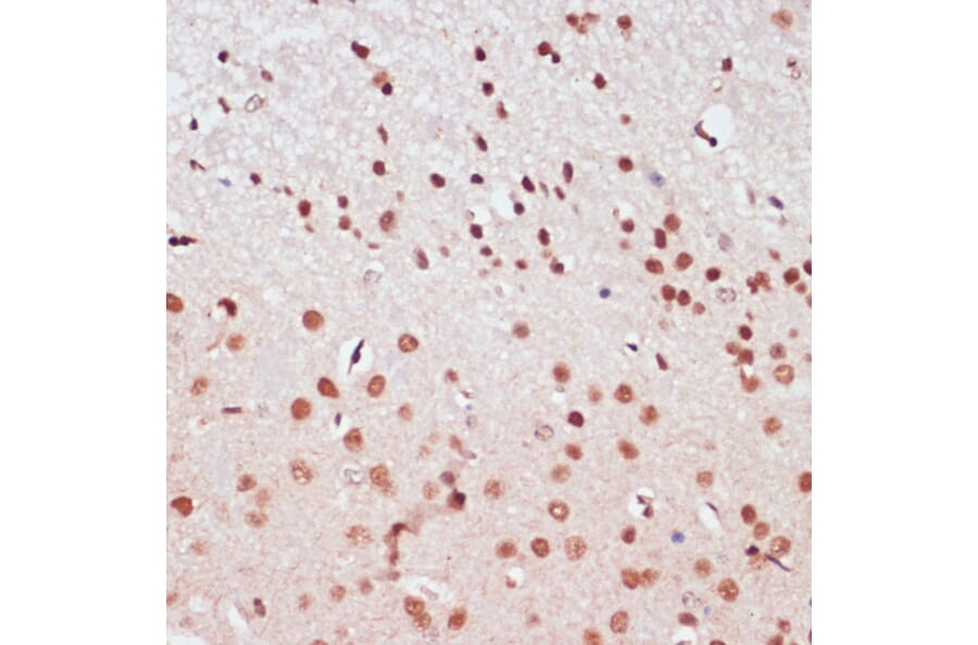
Anti-CREB Antibody (A89728)

Rabbit polyclonal antibody to CREB for WB, IHC, ICC/IF and IP.

Shipping Information

$40
Dispatched from St. Louis, MO.
Lead Time: 7-10 business days.
Name
Anti-CREB Antibody
Description
Rabbit polyclonal antibody to CREB.
Applications
WB, IHC, ICC/IF, IP
Dilutions
WB: 1:500-1:2,000, IHC: 1:50-1:200, ICC/IF: 1:50-1:200, IP: 1:500-1:1,000
Reactivity
Human, Mouse, Rat
Immunogen
Recombinant fusion protein containing a sequence corresponding to amino acids 1-341 of human CREB1 (NP_604391.1).
Sequence
MTMESGAENQQSGDAAVTEAENQQMTVQAQPQIATLAQVSMPAAHATSSAPTVTLVQLPNGQTVQVHGVIQAAQPSVIQSPQVQTVQSSCKDLKRLFSGTQISTIAESEDSQESVDSVTDSQKRREILSRRPSYRKILNDLSSDAPGVPRIEEEKSEEETSAPAITTVTVPTPIYQTSSGQYIAITQGGAIQLANNGTDGVQGLQTLTMTNAAATQPGTTILQYAQTTDGQQILVPSNQVVVQAASGDVQTYQIRTAPTSTIAPGVVMASSPALPTQPAEEAARKREVRLMKNREAARECRRKKKEYVKCLENRVAVLENQNKTLIEELKALKDLYCHKSD
Host
Rabbit
Clonality
Polyclonal
Isotype
IgG
Conjugate

Unconjugated

Purification
Affinity purification.
Concentration
Lot Specific
Molecular Weight
37 kDa
Product Form
Liquid
Formulation
Supplied in Phosphate Buffered Saline, pH 7.3, with 50% Glycerol and 0.01% Thiomersal.
Storage
Shipped at 4°C. Upon delivery aliquot and store at -20°C. Avoid freeze/thaw cycles.
Synonyms
cAMP-responsive element-binding protein 1, CREB-1, CREB1, Cyclic AMP-responsive element-binding protein 1
Disclaimer
This product is for research use only. It is not intended for diagnostic or therapeutic use.
Publishing research using Anti-CREB Antibody (A89728)? Please let us know so that we can list the citation on this page.

Alternative products to Anti-CREB Antibody (A89728)

Proteins predicted to interact with CREB

Predicted protein interactions based upon String database. Revelancy score correlates with probability of interaction.
99.9% Relevancy Score
99.9% Relevancy Score
99.9% Relevancy Score
99.8% Relevancy Score
99.8% Relevancy Score
99.8% Relevancy Score
99.8% Relevancy Score
99.6% Relevancy Score
99.6% Relevancy Score