Primary Antibodies
Secondary Antibodies
Proteins & Peptides
ELISA Kits
About Us
Contact Us
Sign In/Register
0
ISO 9001:2015 Certified
Live Customer Support
4.5/5 on Trustpilot
100% Quality Guarantee
Home
Primary Antibodies
CRIM1 Antibodies
Anti-CRIM1 Antibody (A46200)
Anti-CRIM1 Antibody (A46200)
Overview
Specifications
Images
Enlarge Image
Enlarge Image
$430
Product Datasheet
Rabbit polyclonal antibody to CRIM1 for IHC.
100% Guarantee
Price Match Guarantee
Product Size:
100µl
Quantity:
1
2
3
4
5
6
7
8
9
10
Add To Cart
Request a Quotation
Custom or Bulk Request
Shipping Information
Freight/Packing Charges:
$40
Dispatched from St. Louis, MO.
Lead Time: 6-9 business days.
Specifications
Name
Anti-CRIM1 Antibody
Description
Rabbit polyclonal antibody to CRIM1
Specificity
The antibody detects endogenous levels of total CRIM1 protein.
Applications
IHC
Reactivity
Human
Immunogen
Synthetic peptide corresponding to a region derived from internal residues of human cysteine rich transmembrane BMP regulator 1 (chordin-like)
Host
Rabbit
Clonality
Polyclonal
Conjugate
Unconjugated
Purification
Antigen affinity purification.
Concentration
1.5 mg/mL
Formulation
Supplied in PBS, pH 7.3, containing 0.05% sodium azide and 50% glycerol.
Storage
Shipped at 4°C. Upon delivery aliquot and store at -20°C. Avoid freeze/thaw cycles.
Synonyms
CRIM-1, Cysteine-rich motor neuron 1 protein, Cysteine-rich repeat-containing protein S52, S52
Suitable Secondaries
Goat Anti-Rabbit IgG H&L Antibody (AP) (A294874)
Goat Anti-Rabbit IgG H&L Antibody (Biotin) (A294795)
Goat Anti-Rabbit IgG H&L Antibody (FITC) (A294887)
Goat Anti-Rabbit IgG H&L Antibody (HRP) (A294888)
See all Anti-Rabbit IgG Secondaries →
Disclaimer
This product is for research use only. It is not intended for diagnostic or therapeutic use.
Scientific Validation Data
Validation Data
(2)
Enlarge Image
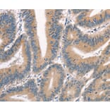
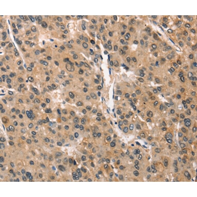
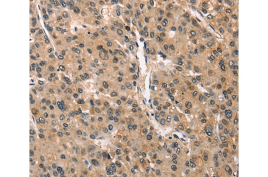
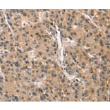
Immunohistochemistry - Anti-CRIM1 Antibody (A46200)
Immunohistochemical analysis of paraffin-embedded Human liver cancer tissue using #37505 at dilution 1/25.
Enlarge Image
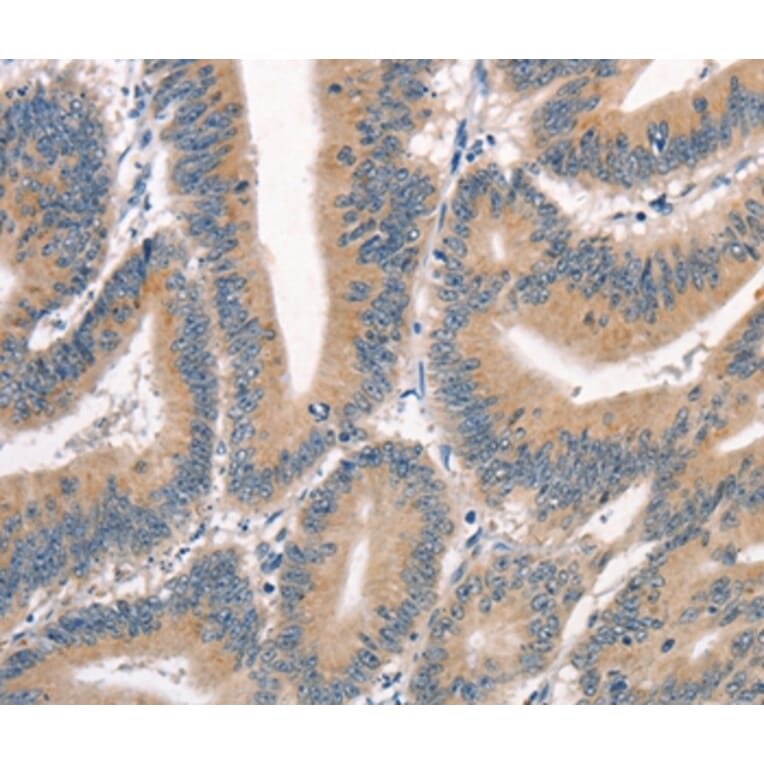
Immunohistochemistry - Anti-CRIM1 Antibody (A46200)
Immunohistochemical analysis of paraffin-embedded Human colon cancer tissue using #37505 at dilution 1/25.
Publishing research using Anti-CRIM1 Antibody (A46200)? Please
let us know
so that we can list the citation on this page.
Alternative products to Anti-CRIM1 Antibody (A46200)
A49523
Anti-CRIM1 Antibody
Rabbit polyclonal antibody to CRIM1 for ELISA and WB.
A49523
Anti-CRIM1 Antibody
Rabbit polyclonal antibody to CRIM1 for ELISA and WB.
Proteins predicted to interact with CRIM1
Predicted protein interactions based upon String database. Revelancy score correlates with probability of interaction.
FEZ2 Antibodies
89.4% Relevancy Score
FAU Antibodies
80.6% Relevancy Score
VPS41 Antibodies
77.1% Relevancy Score
Spastin Antibodies
65.8% Relevancy Score
RPS21 Antibodies
59.6% Relevancy Score
BMP4 Antibodies
58.8% Relevancy Score
WT1 Antibodies
53.4% Relevancy Score
TGF beta 2 Antibodies
50.9% Relevancy Score
FOXQ1 Antibodies
46.7% Relevancy Score
Top