Primary Antibodies
Secondary Antibodies
Proteins & Peptides
ELISA Kits
About Us
Contact Us
Sign In/Register
0
ISO 9001:2015 Certified
Live Customer Support
4.5/5 on Trustpilot
100% Quality Guarantee
Home
Primary Antibodies
CRISP3 Antibodies
Anti-CRISP3 Antibody (A45447)
Anti-CRISP3 Antibody (A45447)
Overview
Specifications
Images
Enlarge Image
Enlarge Image
$430
Product Datasheet
Rabbit polyclonal antibody to CRISP3 for IHC.
100% Guarantee
Price Match Guarantee
Product Size:
100µl
Quantity:
1
2
3
4
5
6
7
8
9
10
Add To Cart
Request a Quotation
Custom or Bulk Request
Shipping Information
Freight/Packing Charges:
$40
Dispatched from St. Louis, MO.
Lead Time: 6-9 business days.
Specifications
Name
Anti-CRISP3 Antibody
Description
Rabbit polyclonal antibody to CRISP3
Specificity
The antibody detects endogenous levels of total CRISP3 protein.
Applications
IHC
Reactivity
Human
Immunogen
Fusion protein corresponding to a region derived from internal residues of human cysteine-rich secretory protein 3
Host
Rabbit
Clonality
Polyclonal
Conjugate
Unconjugated
Purification
Antigen affinity purification.
Concentration
2.2 mg/mL
Formulation
Supplied in PBS, pH 7.3, containing 0.05% sodium azide and 50% glycerol.
Storage
Shipped at 4°C. Upon delivery aliquot and store at -20°C. Avoid freeze/thaw cycles.
Synonyms
CRISP-3, Cysteine-rich secretory protein 3, SGP28, Specific granule protein of 28 kDa
Suitable Secondaries
Goat Anti-Rabbit IgG H&L Antibody (AP) (A294874)
Goat Anti-Rabbit IgG H&L Antibody (Biotin) (A294795)
Goat Anti-Rabbit IgG H&L Antibody (FITC) (A294887)
Goat Anti-Rabbit IgG H&L Antibody (HRP) (A294888)
See all Anti-Rabbit IgG Secondaries →
Disclaimer
This product is for research use only. It is not intended for diagnostic or therapeutic use.
Scientific Validation Data
Validation Data
(2)
Enlarge Image
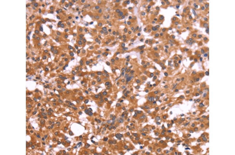
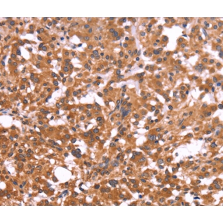
Immunohistochemistry - Anti-CRISP3 Antibody (A45447)
Immunohistochemical analysis of paraffin-embedded Human thyroid cancer tissue using #36371 at dilution 1/50.
Enlarge Image
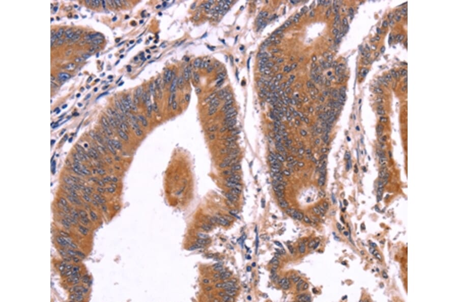
Immunohistochemistry - Anti-CRISP3 Antibody (A45447)
Immunohistochemical analysis of paraffin-embedded Human colon cancer tissue using #36371 at dilution 1/50.
Publishing research using Anti-CRISP3 Antibody (A45447)? Please
let us know
so that we can list the citation on this page.
Proteins predicted to interact with CRISP3
Predicted protein interactions based upon String database. Revelancy score correlates with probability of interaction.
alpha 1B Glycoprotein Antibodies
94.1% Relevancy Score
GART Antibodies
83.1% Relevancy Score
LYRIC Antibodies
76.1% Relevancy Score
MSMB Antibodies
72.6% Relevancy Score
MMP8 Antibodies
67.2% Relevancy Score
CRISP2 Antibodies
66.6% Relevancy Score
Lipocalin 2 Antibodies
62.7% Relevancy Score
OLFM4 Antibodies
62.6% Relevancy Score
CD66b Antibodies
60.2% Relevancy Score
Top