Primary Antibodies
Secondary Antibodies
Proteins & Peptides
ELISA Kits
About Us
Contact Us
Sign In/Register
0
ISO 9001:2015 Certified
Live Customer Support
4.5/5 on Trustpilot
100% Quality Guarantee
Home
Primary Antibodies
CRMP1 Antibodies
Anti-CRMP1 Antibody (A47870)
Anti-CRMP1 Antibody (A47870)
Overview
Specifications
Images
Enlarge Image
Enlarge Image
$780
Product Datasheet
Rabbit polyclonal antibody to CRMP1 for ELISA, WB and IHC.
100% Guarantee
Price Match Guarantee
Product Size:
100µl
Quantity:
1
2
3
4
5
6
7
8
9
10
Add To Cart
Request a Quotation
Custom or Bulk Request
Shipping Information
Freight/Packing Charges:
$40
Dispatched from St. Louis, MO.
Lead Time: 6-9 business days.
Specifications
Name
Anti-CRMP1 Antibody
Description
Rabbit polyclonal antibody to CRMP1
Applications
ELISA
,
WB
,
IHC
Reactivity
Human, Mouse
Immunogen
Raised against a 16 amino acid peptide from near the center of human CRMP1.
Host
Rabbit
Clonality
Polyclonal
Conjugate
Unconjugated
Purification
Affinity chromatography purified via peptide column
Formulation
Supplied in phosphate-buffered saline with 0.02% Sodium Azide.
Storage
Shipped at 4°C. Upon delivery aliquot and store at -20°C. Avoid freeze/thaw cycles.
Synonyms
Collapsin response mediator protein 1, CRMP-1, Dihydropyrimidinase-related protein 1, DPYSL1, DRP-1, Inactive dihydropyrimidinase, ULIP-3, ULIP3, Unc-33-like phosphoprotein 3
Suitable Secondaries
Goat Anti-Rabbit IgG H&L Antibody (AP) (A294874)
Goat Anti-Rabbit IgG H&L Antibody (Biotin) (A294795)
Goat Anti-Rabbit IgG H&L Antibody (FITC) (A294887)
Goat Anti-Rabbit IgG H&L Antibody (HRP) (A294888)
See all Anti-Rabbit IgG Secondaries →
Disclaimer
This product is for research use only. It is not intended for diagnostic or therapeutic use.
Scientific Validation Data
Validation Data
(2)
Enlarge Image
Anti-CRMP1 Antibody (A47870)
Western blot analysis of CRMP1 in Caco-2 cell lysate with CRMP1 antibody at (A) 1, (B) 2 and (C) 4 µg/mL.
Enlarge Image
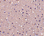
Immunohistochemistry - Anti-CRMP1 Antibody (A47870)
Immunohistochemistry of CRMP1 in human brain tissue with CRMP1 antibody at 10 µg/mL.
Publishing research using Anti-CRMP1 Antibody (A47870)? Please
let us know
so that we can list the citation on this page.
Alternative products to Anti-CRMP1 Antibody (A47870)
(3)
A14145
Anti-CRMP1 Antibody
Rabbit polyclonal antibody to CRMP1 for WB and ICC/IF.
(2)
A47973
Anti-CRMP1 Antibody
Rabbit polyclonal antibody to CRMP1 for ELISA, WB and IHC.
(2)
A47869
Anti-CRMP1 Antibody
Rabbit polyclonal antibody to CRMP1 for ELISA, WB and IHC.
(2)
A48125
Anti-CRMP1 Antibody
Rabbit polyclonal antibody to CRMP1 for ELISA, WB and IHC.
A54649
Anti-CRMP1 Antibody
Rabbit polyclonal antibody to CRMP1 for ELISA and WB.
A337950
Anti-CRMP1 Nanobody [SAA1228]
Recombinant alpaca monoclonal [SAA1228] nanobody to CRMP1 for ELISA, IP and WB.
A50918
Anti-CRMP-1 (Phospho-Tyr504) Antibody
Rabbit Polycolonal antibody to CRMP-1 (Phospho-Tyr504) for WB.
A345383
Anti-CRMP1 Antibody [25GB2215]
Recombinant rabbit monoclonal [25GB2215] antibody to CRMP1 for WB, Flow Cytometry and ICC/IF.
A345382
Anti-CRMP1 Antibody [23GB3480]
Recombinant rabbit monoclonal [23GB3480] antibody to CRMP1 for WB, Flow Cytometry and ICC/IF.
A306048
Anti-CRMP1 Antibody [ARC1918]
Rabbit monoclonal [ARC1918] antibody to CRMP1 for WB.
(3)
A14145
Anti-CRMP1 Antibody
Rabbit polyclonal antibody to CRMP1 for WB and ICC/IF.
(2)
A47973
Anti-CRMP1 Antibody
Rabbit polyclonal antibody to CRMP1 for ELISA, WB and IHC.
(2)
A47869
Anti-CRMP1 Antibody
Rabbit polyclonal antibody to CRMP1 for ELISA, WB and IHC.
(2)
A48125
Anti-CRMP1 Antibody
Rabbit polyclonal antibody to CRMP1 for ELISA, WB and IHC.
A54649
Anti-CRMP1 Antibody
Rabbit polyclonal antibody to CRMP1 for ELISA and WB.
A337950
Anti-CRMP1 Nanobody [SAA1228]
Recombinant alpaca monoclonal [SAA1228] nanobody to CRMP1 for ELISA, IP and WB.
A50918
Anti-CRMP-1 (Phospho-Tyr504) Antibody
Rabbit Polycolonal antibody to CRMP-1 (Phospho-Tyr504) for WB.
A345383
Anti-CRMP1 Antibody [25GB2215]
Recombinant rabbit monoclonal [25GB2215] antibody to CRMP1 for WB, Flow Cytometry and ICC/IF.
A345382
Anti-CRMP1 Antibody [23GB3480]
Recombinant rabbit monoclonal [23GB3480] antibody to CRMP1 for WB, Flow Cytometry and ICC/IF.
A306048
Anti-CRMP1 Antibody [ARC1918]
Rabbit monoclonal [ARC1918] antibody to CRMP1 for WB.
See all CRMP1 Antibodies
Proteins predicted to interact with CRMP1
Predicted protein interactions based upon String database. Revelancy score correlates with probability of interaction.
CRMP4 Antibodies
94.7% Relevancy Score
GNE Antibodies
90.7% Relevancy Score
CRMP2 Antibodies
85.3% Relevancy Score
Semaphorin 3A Antibodies
83.9% Relevancy Score
Plexin A1 Antibodies
79.6% Relevancy Score
DHODH Antibodies
76.8% Relevancy Score
DPYD Antibodies
76.8% Relevancy Score
Plexin A4 Antibodies
75.5% Relevancy Score
UMPS Antibodies
75.3% Relevancy Score
Top