ISO 9001:2015 Certified
Live Customer Support
4.5/5 on Trustpilot
100% Quality Guarantee

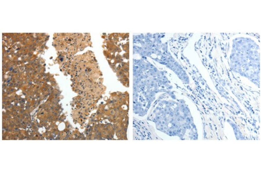
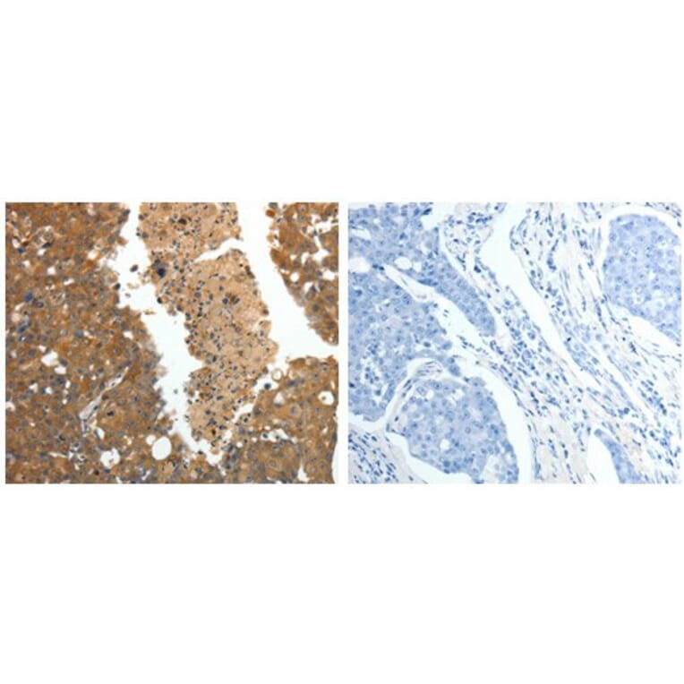
Anti-CRP Antibody (A48620)

Rabbit polyclonal antibody to CRP for ELISA, WB and IHC.

Shipping Information

$40
Dispatched from St. Louis, MO.
Lead Time: 6-9 business days.
Name
Anti-CRP Antibody
Description
Rabbit polyclonal antibody to CRP
Specificity
The antibody detects endogenous level of total CRP protein.
Applications
ELISA, WB, IHC
Dilutions
ELISA: 1:2000-1:10000 Western blotting: 1:1000-1:5000 Immunohistochemistry: 1:100-1:300
Reactivity
Human
Immunogen
Fusion protein corresponding to a region derived from 2-91 amino acids of human C-reactive protein, pentraxin-related
Host
Rabbit
Clonality
Polyclonal
Conjugate

Unconjugated

Predicted MW
25kd
Formulation
Supplied in phosphate-buffered saline (without Mg²? and Ca²?), pH 7.3, containing 150 mM NaCl, 0.05% sodium azide, and 50% glycerol.
Storage
Shipped at 4°C. Upon delivery aliquot and store at -20°C. Avoid freeze/thaw cycles.
Disclaimer
This product is for research use only. It is not intended for diagnostic or therapeutic use.
Publishing research using Anti-CRP Antibody (A48620)? Please let us know so that we can list the citation on this page.