Primary Antibodies
Secondary Antibodies
Proteins & Peptides
ELISA Kits
About Us
Contact Us
Sign In/Register
0
ISO 9001:2015 Certified
Live Customer Support
4.5/5 on Trustpilot
100% Quality Guarantee
Home
Primary Antibodies
CRTH2 Antibodies
Anti-CRTH2 Antibody (A47901)
Anti-CRTH2 Antibody (A47901)
Overview
Specifications
Images
Enlarge Image
Enlarge Image
$780
Product Datasheet
Rabbit polyclonal antibody to CRTH2 for ELISA, WB and IHC.
100% Guarantee
Price Match Guarantee
Product Size:
100µl
Quantity:
1
2
3
4
5
6
7
8
9
10
Add To Cart
Request a Quotation
Custom or Bulk Request
Shipping Information
Freight/Packing Charges:
$40
Dispatched from St. Louis, MO.
Lead Time: 6-9 business days.
Tags:
Basophil Marker
Cytotoxic T cell Marker
Mast Cell Marker
T Helper Cell Marker
Specifications
Name
Anti-CRTH2 Antibody
Description
Rabbit polyclonal antibody to CRTH2
Applications
ELISA
,
WB
,
IHC
Reactivity
Human, Mouse, Rat
Immunogen
Raised against a 15 amino acid peptide from near the center of human CRTH2.
Host
Rabbit
Clonality
Polyclonal
Conjugate
Unconjugated
Purification
Affinity chromatography purified via peptide column
Formulation
Supplied in phosphate-buffered saline with 0.02% Sodium Azide.
Storage
Shipped at 4°C. Upon delivery aliquot and store at -20°C. Avoid freeze/thaw cycles.
Synonyms
CD294, Chemoattractant receptor-homologous molecule expressed on Th2 cells, DL1R, G-protein coupled receptor 44, GPR44, Prostaglandin D2 receptor 2, PTGDR2
Suitable Secondaries
Goat Anti-Rabbit IgG H&L Antibody (AP) (A294874)
Goat Anti-Rabbit IgG H&L Antibody (Biotin) (A294795)
Goat Anti-Rabbit IgG H&L Antibody (FITC) (A294887)
Goat Anti-Rabbit IgG H&L Antibody (HRP) (A294888)
See all Anti-Rabbit IgG Secondaries →
Disclaimer
This product is for research use only. It is not intended for diagnostic or therapeutic use.
Scientific Validation Data
Validation Data
(2)
Enlarge Image
Anti-CRTH2 Antibody (A47901)
Western blot analysis of CRTH2 in human heart tissue lysate with CRTH2 antibody at (A) 1 and (B) 2 µg/mL.
Enlarge Image
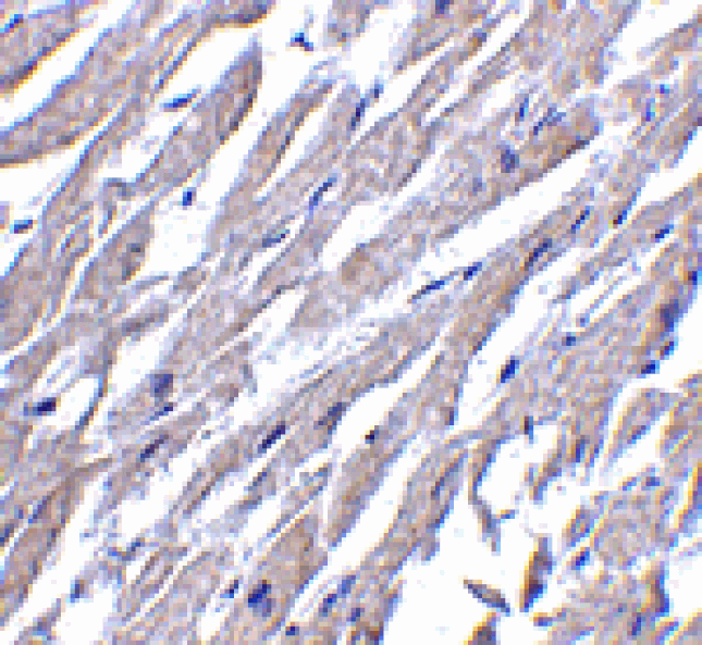
Immunohistochemistry - Anti-CRTH2 Antibody (A47901)
Immunohistochemistry of CRTH2 in human heart tissue with CRTH2 antibody at 2.5 µg/mL.
Publishing research using Anti-CRTH2 Antibody (A47901)? Please
let us know
so that we can list the citation on this page.
Alternative products to Anti-CRTH2 Antibody (A47901)
(4)
A98764
Anti-PTGDR2 Antibody
Rabbit polyclonal antibody to PTGDR2 for WB, IHC, IF and ELISA.
(4)
A283294
Anti-CRTH2 Antibody
Rabbit polyclonal antibody to CRTH2 for WB, IHC-P and ELISA.
(2)
A47900
Anti-CRTH2 Antibody
Rabbit polyclonal antibody to CRTH2 for ELISA, WB and IHC.
(2)
A323981
Anti-CRTH2 Antibody [Research Grade Antibody] - Low endotoxin, Azide free
Recombinant human monoclonal antibody to CRTH2 for ELISA, FACS, Functional Assay and In Vivo.
A26557
Anti-GPR44 (D113) Antibody
Rabbit polyclonal antibody to GPR44 (D113) for WB.
A40591
Anti-CD294 Antibody
Rabbit polyclonal antibody to CD294 for ELISA and WB.
(2)
A320740
Anti-CRTH2 Antibody [BM16]
Rat monoclonal [BM16] antibody to CRTH2 for Flow Cytometry.
A304603
Anti-CRTH2 Antibody - BSA and Azide free
Rabbit polyclonal antibody to CRTH2 for WB.
(4)
A98764
Anti-PTGDR2 Antibody
Rabbit polyclonal antibody to PTGDR2 for WB, IHC, IF and ELISA.
(4)
A283294
Anti-CRTH2 Antibody
Rabbit polyclonal antibody to CRTH2 for WB, IHC-P and ELISA.
(2)
A47900
Anti-CRTH2 Antibody
Rabbit polyclonal antibody to CRTH2 for ELISA, WB and IHC.
(2)
A323981
Anti-CRTH2 Antibody [Research Grade Antibody] - Low endotoxin, Azide free
Recombinant human monoclonal antibody to CRTH2 for ELISA, FACS, Functional Assay and In Vivo.
A26557
Anti-GPR44 (D113) Antibody
Rabbit polyclonal antibody to GPR44 (D113) for WB.
A40591
Anti-CD294 Antibody
Rabbit polyclonal antibody to CD294 for ELISA and WB.
(2)
A320740
Anti-CRTH2 Antibody [BM16]
Rat monoclonal [BM16] antibody to CRTH2 for Flow Cytometry.
A304603
Anti-CRTH2 Antibody - BSA and Azide free
Rabbit polyclonal antibody to CRTH2 for WB.
See all CRTH2 Antibodies
Proteins predicted to interact with CRTH2
Predicted protein interactions based upon String database. Revelancy score correlates with probability of interaction.
B7-H6 Antibodies
89.7% Relevancy Score
Prostaglandin D2 Receptor Antibodies
89.2% Relevancy Score
IL-4 Antibodies
78.9% Relevancy Score
CD127 Antibodies
77.2% Relevancy Score
IL-5RA Antibodies
75.5% Relevancy Score
PTGER3 Antibodies
74.5% Relevancy Score
IL-9 Antibodies
73.6% Relevancy Score
IL-5 Antibodies
73.1% Relevancy Score
IL-13 Antibodies
71.9% Relevancy Score
Top