Primary Antibodies
Secondary Antibodies
Proteins & Peptides
ELISA Kits
About Us
Contact Us
Sign In/Register
0
ISO 9001:2015 Certified
Live Customer Support
4.5/5 on Trustpilot
100% Quality Guarantee
Home
Primary Antibodies
Citrate Synthase Antibodies
Anti-CS Antibody (A39204)
Anti-CS Antibody (A39204)
Overview
Specifications
Images
Enlarge Image
Enlarge Image
$430
Product Datasheet
Rabbit polyclonal antibody to CS for WB and IHC.
100% Guarantee
Price Match Guarantee
Product Size:
100µl
Quantity:
1
2
3
4
5
6
7
8
9
10
Add To Cart
Request a Quotation
Custom or Bulk Request
Shipping Information
Freight/Packing Charges:
$40
Dispatched from St. Louis, MO.
Lead Time: 6-9 business days.
Specifications
Name
Anti-CS Antibody
Description
Rabbit polyclonal antibody to CS
Specificity
The antibody detects endogenous levels of total CS protein.
Applications
WB
,
IHC
Reactivity
Human
Immunogen
Fusion protein of human CS
Host
Rabbit
Clonality
Polyclonal
Conjugate
Unconjugated
Purification
Antigen affinity purification.
Concentration
1 mg/mL
Formulation
Rabbit IgG in pH7.4 PBS, 0.05% NaN3, 40% Glycerol.
Storage
Shipped at 4°C. Upon delivery aliquot and store at -20°C. Avoid freeze/thaw cycles.
Synonyms
Citrate, Citrate synthase, mitochondrial, Si)-synthase
Suitable Secondaries
Goat Anti-Rabbit IgG H&L Antibody (AP) (A294874)
Goat Anti-Rabbit IgG H&L Antibody (Biotin) (A294795)
Goat Anti-Rabbit IgG H&L Antibody (FITC) (A294887)
Goat Anti-Rabbit IgG H&L Antibody (HRP) (A294888)
See all Anti-Rabbit IgG Secondaries →
Disclaimer
This product is for research use only. It is not intended for diagnostic or therapeutic use.
Scientific Validation Data
Validation Data
(2)
Enlarge Image
Anti-CS Antibody (A39204)
Gel: 8% SDS-PAGE Lysate: 40 μg Lane: 231 cell Primary antibody: 1/400 dilution Secondary antibody: Goat anti rabbit IgG at 1/8000 dilution Exposure time: 10 seconds
Enlarge Image
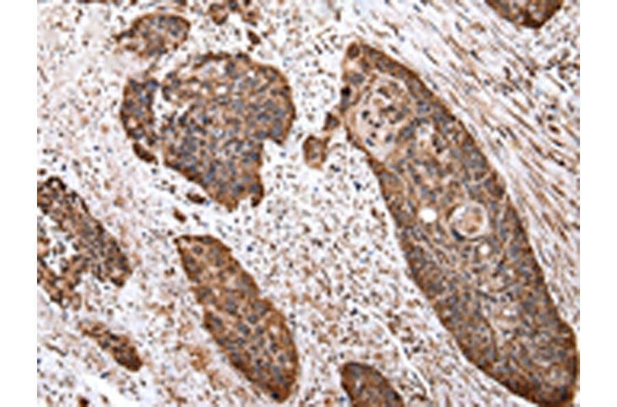
Immunohistochemistry - Anti-CS Antibody (A39204)
Immunohistochemical analysis of paraffin-embedded Human oesophagus cancer tissue using #43035 at dilution 1/20. (Original magnification: ¡Á200)
Publishing research using Anti-CS Antibody (A39204)? Please
let us know
so that we can list the citation on this page.
Alternative products to Anti-CS Antibody (A39204)
(2)
A31000
Anti-CS Antibody
Rabbit polyclonal antibody to CS for WB, IHC and IF.
(2)
A35693
Anti-CS Antibody
Rabbit polyclonal antibody to CS for WB and ICC/IF.
(3)
A36456
Anti-Citrate synthase, mitochondrial Antibody
Rabbit polyclonal antibody to Citrate synthase, mitochondrial for WB and IHC.
A345264
Anti-Citrate Synthase Antibody [24GB10735]
Recombinant rabbit monoclonal [24GB10735] antibody to Citrate Synthase for WB, Flow Cytometry and ICC/IF.
A345265
Anti-Citrate Synthase Antibody [23GB780]
Recombinant rabbit monoclonal [23GB780] antibody to Citrate Synthase for WB, Flow Cytometry and ICC/IF.
A116539
Anti-Citrate Synthase Antibody
Rabbit polyclonal antbody to Citrate Synthase for IF, ELISA, Dot and WB.
A116541
Anti-Citrate Synthase Antibody
Rabbit polyclonal antbody to Citrate Synthase for IP.
(2)
A31000
Anti-CS Antibody
Rabbit polyclonal antibody to CS for WB, IHC and IF.
(2)
A35693
Anti-CS Antibody
Rabbit polyclonal antibody to CS for WB and ICC/IF.
(3)
A36456
Anti-Citrate synthase, mitochondrial Antibody
Rabbit polyclonal antibody to Citrate synthase, mitochondrial for WB and IHC.
A345264
Anti-Citrate Synthase Antibody [24GB10735]
Recombinant rabbit monoclonal [24GB10735] antibody to Citrate Synthase for WB, Flow Cytometry and ICC/IF.
A345265
Anti-Citrate Synthase Antibody [23GB780]
Recombinant rabbit monoclonal [23GB780] antibody to Citrate Synthase for WB, Flow Cytometry and ICC/IF.
A116539
Anti-Citrate Synthase Antibody
Rabbit polyclonal antbody to Citrate Synthase for IF, ELISA, Dot and WB.
A116541
Anti-Citrate Synthase Antibody
Rabbit polyclonal antbody to Citrate Synthase for IP.
See all CS Antibodies
Proteins predicted to interact with Citrate Synthase
Predicted protein interactions based upon String database. Revelancy score correlates with probability of interaction.
Aconitase 1 Antibodies
99.9% Relevancy Score
Aconitase 2 Antibodies
99.9% Relevancy Score
MDH2 Antibodies
99.9% Relevancy Score
ATP Citrate Lyase Antibodies
99.8% Relevancy Score
DLAT Antibodies
99.6% Relevancy Score
SDHB Antibodies
99.6% Relevancy Score
IDH2 Antibodies
99.4% Relevancy Score
IDH1 Antibodies
99.3% Relevancy Score
FH Antibodies
99.3% Relevancy Score
Top