Primary Antibodies
Secondary Antibodies
Proteins & Peptides
ELISA Kits
About Us
Contact Us
Sign In/Register
0
ISO 9001:2015 Certified
Live Customer Support
4.5/5 on Trustpilot
100% Quality Guarantee
Home
Primary Antibodies
CD116 Antibodies
Anti-CSF2RA Antibody (A37339)
Anti-CSF2RA Antibody (A37339)
Overview
Specifications
Images
Enlarge Image
Enlarge Image
$415
Rabbit polyclonal antibody to CSF2RA for WB and IHC.
100% Guarantee
Price Match Guarantee
Product Size:
50µl
100µl
Quantity:
1
2
3
4
5
6
7
8
9
10
Add To Cart
Request a Quotation
Custom or Bulk Request
Shipping Information
Freight/Packing Charges:
$40
Dispatched from St. Louis, MO.
Lead Time: 6-9 business days.
Tags:
Basophil Marker
Specifications
Name
Anti-CSF2RA Antibody
Description
Rabbit polyclonal antibody to CSF2RA
Specificity
The antibody detects endogenous level of total CSF2RA antibody.
Applications
WB
,
IHC
Reactivity
Human
Immunogen
Recombinant protein of human CSF2RA.
Host
Rabbit
Clonality
Polyclonal
Conjugate
Unconjugated
Purification
Antibodies were purified by affinity purification using immunogen.
Concentration
1 mg/ml
Formulation
Supplied at 1.0mg / mL in phosphate buffered saline (without Mg2+ and Ca2+), pH 7.4, 150mM NaCl, 0.02% sodium azide and 50% glycerol.
Storage
Store at -20˚C
Synonyms
CDw116, CSF2R, CSF2RY, GM-CSF-R-alpha, GMCSFR-alpha, GMR-alpha, Granulocyte-macrophage colony-stimulating factor receptor subunit alpha
Suitable Secondaries
Goat Anti-Rabbit IgG H&L Antibody (AP) (A294874)
Goat Anti-Rabbit IgG H&L Antibody (Biotin) (A294795)
Goat Anti-Rabbit IgG H&L Antibody (FITC) (A294887)
Goat Anti-Rabbit IgG H&L Antibody (HRP) (A294888)
See all Anti-Rabbit IgG Secondaries →
Disclaimer
This product is for research use only. It is not intended for diagnostic or therapeutic use.
Scientific Validation Data
Validation Data
(2)
Enlarge Image
Anti-CSF2RA Antibody (A37339)
Western blot analysis of extracts of Jurkat cell line, using CSF2RA antibody.
Enlarge Image
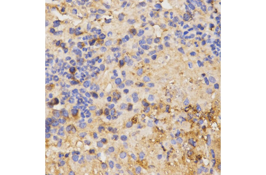
Immunohistochemistry - Anti-CSF2RA Antibody (A37339)
Immunohistochemistry analysis of paraffin-embedded mouse liver fibrosis tissue using Map2 antibody at dilution of 1: 200 (x400 lens)
Publishing research using Anti-CSF2RA Antibody (A37339)? Please
let us know
so that we can list the citation on this page.
Alternative products to Anti-CSF2RA Antibody (A37339)
(3)
A323573
Mavrilimumab Biosimilar - Anti-CD116 Antibody - Low endotoxin, Azide free
Recombinant human monoclonal antibody to CD116 for ELISA, FACS, Functional Assay and In Vivo.
(2)
A338580
Mavrilimumab Biosimilar - Anti-CD116 Antibody - BSA and Azide free
Human monoclonal antibody to CD116 Research grade Mavrilimumab biosimilar for ELISA, Flow Cytometry, Functional Studies and in vivo Research.
(4)
A100585
Anti-CSF2RA Antibody
Rabbit polyclonal antibody to CSF2RA for WB and ELISA.
A86376
Anti-CD116 Antibody [4H1]
Mouse monoclonal [4H1] antibody to CD116 for Flow Cytometry, IP, WB, IHC-Fr and CyTOF.
A29044
Anti-CSF2RA Antibody
Rabbit polyclonal antibody to CSF2RA for WB.
A40547
Anti-CD116 Antibody
Rabbit polyclonal antibody to CD116 for WB and ELISA.
A11504
Anti-CD116 Antibody
Rabbit polyclonal antibody to CD116 for WB.
A11617
Anti-CD116 Antibody
Rabbit polyclonal antibody to CD116 for ICC/IF.
A332154
Mavrilimumab Biosimilar - Anti-CD116 Antibody
Recombinant human monoclonal antibody to CD116 for Flow Cytometry.
A42378
Anti-CSF2RA Antibody
Rabbit polyclonal antibody to CSF2RA for WB.
A42478
Anti-CSF2RA Antibody
Rabbit polyclonal antibody to CSF2RA for WB.
A309615
Anti-CD116 Antibody [ARC59284]
Rabbit monoclonal [ARC59284] antibody to CD116 for WB.
(3)
A323573
Mavrilimumab Biosimilar - Anti-CD116 Antibody - Low endotoxin, Azide free
Recombinant human monoclonal antibody to CD116 for ELISA, FACS, Functional Assay and In Vivo.
(2)
A338580
Mavrilimumab Biosimilar - Anti-CD116 Antibody - BSA and Azide free
Human monoclonal antibody to CD116 Research grade Mavrilimumab biosimilar for ELISA, Flow Cytometry, Functional Studies and in vivo Research.
(4)
A100585
Anti-CSF2RA Antibody
Rabbit polyclonal antibody to CSF2RA for WB and ELISA.
A86376
Anti-CD116 Antibody [4H1]
Mouse monoclonal [4H1] antibody to CD116 for Flow Cytometry, IP, WB, IHC-Fr and CyTOF.
A29044
Anti-CSF2RA Antibody
Rabbit polyclonal antibody to CSF2RA for WB.
A40547
Anti-CD116 Antibody
Rabbit polyclonal antibody to CD116 for WB and ELISA.
A11504
Anti-CD116 Antibody
Rabbit polyclonal antibody to CD116 for WB.
A11617
Anti-CD116 Antibody
Rabbit polyclonal antibody to CD116 for ICC/IF.
A332154
Mavrilimumab Biosimilar - Anti-CD116 Antibody
Recombinant human monoclonal antibody to CD116 for Flow Cytometry.
A42378
Anti-CSF2RA Antibody
Rabbit polyclonal antibody to CSF2RA for WB.
A42478
Anti-CSF2RA Antibody
Rabbit polyclonal antibody to CSF2RA for WB.
A309615
Anti-CD116 Antibody [ARC59284]
Rabbit monoclonal [ARC59284] antibody to CD116 for WB.
See all CSF2RA Antibodies
Proteins predicted to interact with CD116
Predicted protein interactions based upon String database. Revelancy score correlates with probability of interaction.
GM-CSF Antibodies
99.9% Relevancy Score
IL3RB Antibodies
99.9% Relevancy Score
JAK2 Antibodies
87.9% Relevancy Score
IL-3 Antibodies
86.4% Relevancy Score
G-CSFR Antibodies
84.2% Relevancy Score
Prosurfactant Protein B Antibodies
82.7% Relevancy Score
CRLF2 Antibodies
80.9% Relevancy Score
G-CSF Antibodies
80.9% Relevancy Score
SLC25A6 Antibodies
78.5% Relevancy Score
Top