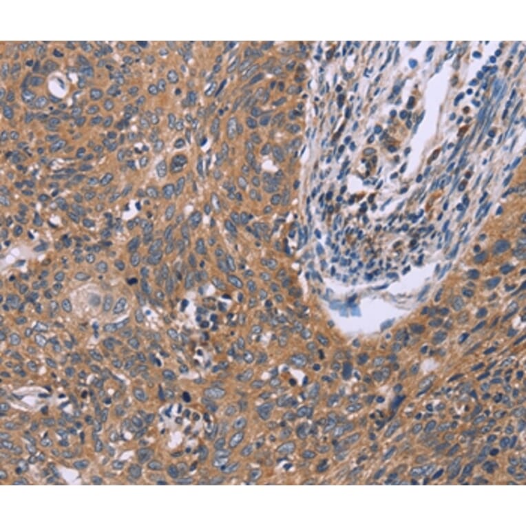
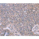
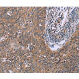
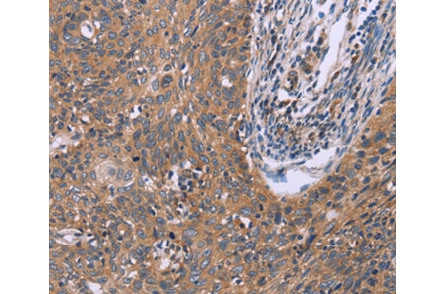
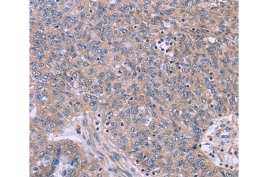
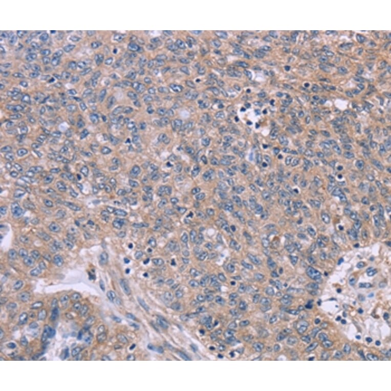
The antibody detects endogenous levels of total CSF2RB protein.
Applications
IHC
Reactivity
Human
Immunogen
Synthetic peptide corresponding to residues near the C terminal of human colony stimulating factor 2 receptor, beta, low-affinity (granulocyte-macrophage)
Host
Rabbit
Clonality
Polyclonal
Conjugate
Unconjugated
Purification
Antigen affinity purification.
Concentration
2.8 mg/mL
Formulation
Supplied in PBS, pH 7.3, containing 0.05% sodium azide and 50% glycerol.
Storage
Shipped at 4°C. Upon delivery aliquot and store at -20°C. Avoid freeze/thaw cycles.
Synonyms
CD131, CDw131, Cytokine receptor common subunit beta, GM-CSF/IL-3/IL-5 receptor common beta subunit, IL5RB
Recombinant human monoclonal antibody to IL3RB for use as a research grade Anti-Human IL3RB [CSL 311 for ELISA, Flow Cytometry, Functional Studies and in vivo Research.
Recombinant human monoclonal antibody to IL3RB for use as a research grade Trabikibart biosimilar for ELISA, Flow Cytometry, Functional Studies and in vivo Research.
Recombinant human monoclonal antibody to IL3RB for use as a research grade birinkibart biosimilar for ELISA, Flow Cytometry, Functional Studies and in vivo Research.
Recombinant human monoclonal antibody to IL3RB for use as a research grade Anti-Human IL3RB [CSL 311 for ELISA, Flow Cytometry, Functional Studies and in vivo Research.
Recombinant human monoclonal antibody to IL3RB for use as a research grade Trabikibart biosimilar for ELISA, Flow Cytometry, Functional Studies and in vivo Research.
Recombinant human monoclonal antibody to IL3RB for use as a research grade birinkibart biosimilar for ELISA, Flow Cytometry, Functional Studies and in vivo Research.