Primary Antibodies
Secondary Antibodies
Proteins & Peptides
ELISA Kits
About Us
Contact Us
Sign In/Register
0
ISO 9001:2015 Certified
Live Customer Support
4.5/5 on Trustpilot
100% Quality Guarantee
Home
Primary Antibodies
CSMD1 Antibodies
Anti-CSMD1 Antibody (A46203)
Anti-CSMD1 Antibody (A46203)
Overview
Specifications
Images
Enlarge Image
Enlarge Image
$430
Product Datasheet
Rabbit polyclonal antibody to CSMD1 for IHC.
100% Guarantee
Price Match Guarantee
Product Size:
100µl
Quantity:
1
2
3
4
5
6
7
8
9
10
Add To Cart
Request a Quotation
Custom or Bulk Request
Shipping Information
Freight/Packing Charges:
$40
Dispatched from St. Louis, MO.
Lead Time: 6-9 business days.
Specifications
Name
Anti-CSMD1 Antibody
Description
Rabbit polyclonal antibody to CSMD1
Specificity
The antibody detects endogenous levels of total CSMD1 protein.
Applications
IHC
Reactivity
Human, Mouse
Immunogen
Synthetic peptide corresponding to residues near the C terminal of human CUB and Sushi multiple domains 1
Host
Rabbit
Clonality
Polyclonal
Conjugate
Unconjugated
Purification
Antigen affinity purification.
Concentration
3 mg/mL
Formulation
Supplied in PBS, pH 7.3, containing 0.05% sodium azide and 50% glycerol.
Storage
Shipped at 4°C. Upon delivery aliquot and store at -20°C. Avoid freeze/thaw cycles.
Synonyms
CUB and sushi domain-containing protein 1, CUB and sushi multiple domains protein 1, KIAA1890
Suitable Secondaries
Goat Anti-Rabbit IgG H&L Antibody (AP) (A294874)
Goat Anti-Rabbit IgG H&L Antibody (Biotin) (A294795)
Goat Anti-Rabbit IgG H&L Antibody (FITC) (A294887)
Goat Anti-Rabbit IgG H&L Antibody (HRP) (A294888)
See all Anti-Rabbit IgG Secondaries →
Disclaimer
This product is for research use only. It is not intended for diagnostic or therapeutic use.
Scientific Validation Data
Validation Data
(2)
Enlarge Image
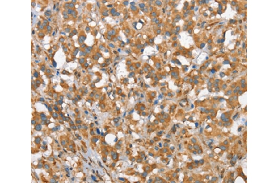
Immunohistochemistry - Anti-CSMD1 Antibody (A46203)
Immunohistochemical analysis of paraffin-embedded Human thyroid cancer tissue using #37511 at dilution 1/40.
Enlarge Image
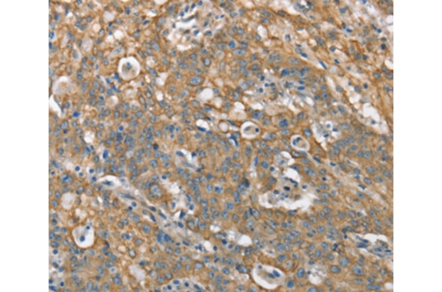
Immunohistochemistry - Anti-CSMD1 Antibody (A46203)
Immunohistochemical analysis of paraffin-embedded Human gastric cancer tissue using #37511 at dilution 1/40.
Publishing research using Anti-CSMD1 Antibody (A46203)? Please
let us know
so that we can list the citation on this page.
Alternative products to Anti-CSMD1 Antibody (A46203)
A84747
Anti-CSMD1 Antibody
Goat polyclonal antibody to CSMD1 for ELISA and WB.
A84747
Anti-CSMD1 Antibody
Goat polyclonal antibody to CSMD1 for ELISA and WB.
Proteins predicted to interact with CSMD1
Predicted protein interactions based upon String database. Revelancy score correlates with probability of interaction.
NT5C2 Antibodies
56.8% Relevancy Score
PTPRT Antibodies
55.7% Relevancy Score
PTPRD Antibodies
55.6% Relevancy Score
CaV1.2 Antibodies
54.6% Relevancy Score
SerpinB8 Antibodies
53.5% Relevancy Score
Teneurin-4 Antibodies
53% Relevancy Score
MCPH1 Antibodies
52.9% Relevancy Score
GRIK2 Antibodies
50.1% Relevancy Score
Piccolo Antibodies
49.5% Relevancy Score
Top