ISO 9001:2015 Certified
Live Customer Support
4.5/5 on Trustpilot
100% Quality Guarantee

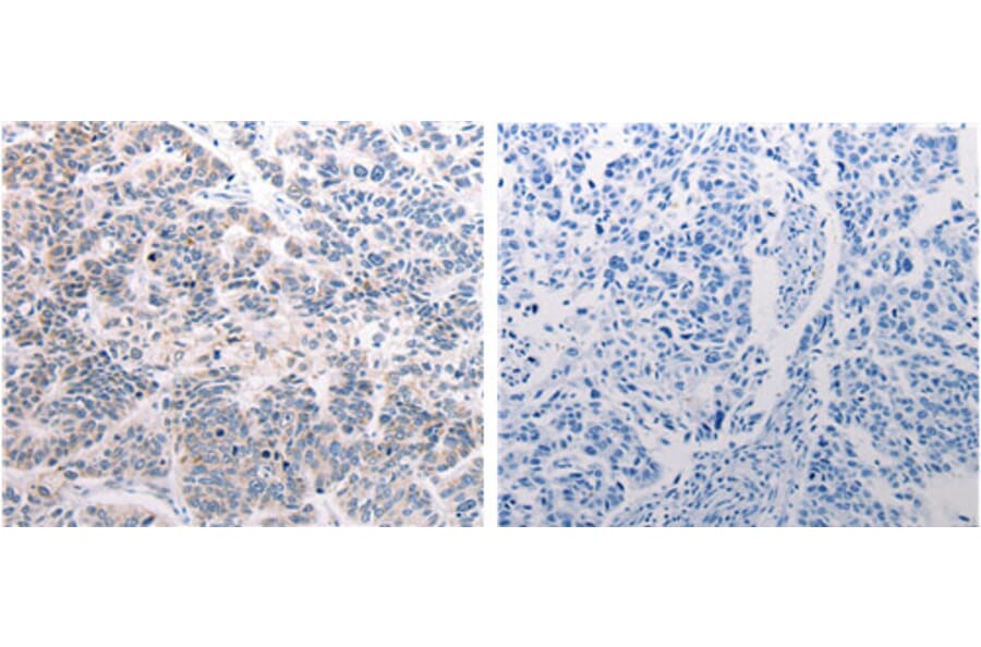
Anti-CSNK2B Antibody (A47683)

Rabbit polyclonal antibody to CSNK2B for ELISA, WB and IHC.

Shipping Information

$40
Dispatched from St. Louis, MO.
Lead Time: 6-9 business days.
Name
Anti-CSNK2B Antibody
Description
Rabbit polyclonal antibody to CSNK2B
Specificity
The antibody detects endogenous level of total CSNK2B protein.
Applications
ELISA, WB, IHC
Dilutions
ELISA: 1:1000-1:5000 Western blotting: 1:1000-1:5000 Immunohistochemistry: 1:10-1:50
Reactivity
Human, Mouse, Rat
Immunogen
Synthetic peptide corresponding to a region derived from 201-215 amino acids of Human Casein kinase II subunit beta
Host
Rabbit
Clonality
Polyclonal
Conjugate

Unconjugated

Predicted MW
25kd
Formulation
Supplied in phosphate-buffered saline (without Mg²? and Ca²?), pH 7.3, containing 150 mM NaCl, 0.05% sodium azide, and 50% glycerol.
Storage
Shipped at 4°C. Upon delivery aliquot and store at -20°C. Avoid freeze/thaw cycles.
Synonyms
Casein kinase II subunit beta, CK II beta, CK2N, G5A, Phosvitin, Protein G5a
Disclaimer
This product is for research use only. It is not intended for diagnostic or therapeutic use.
Publishing research using Anti-CSNK2B Antibody (A47683)? Please let us know so that we can list the citation on this page.

Alternative products to Anti-CSNK2B Antibody (A47683)

Proteins predicted to interact with Casein Kinase 2 beta

Predicted protein interactions based upon String database. Revelancy score correlates with probability of interaction.
99.9% Relevancy Score
99.9% Relevancy Score
96.4% Relevancy Score
96.4% Relevancy Score
95.5% Relevancy Score
94.3% Relevancy Score
94% Relevancy Score
93.5% Relevancy Score
92.6% Relevancy Score