Notice: Error: The total number of locks exceeds the lock table size
Error No: 1206
INSERT INTO oc_analytics set ip = '', agent = 'Mozilla/5.0 AppleWebKit/537.36 (KHTML, like Gecko; compatible; ClaudeBot/1.0; +claudebot@anthropic.com)', url = '/catalog/primary-antibodies/csrp2-dlp1-antibody-a10161', route = 'product/product', port = '62345', country_code ='US', country_name='United States', city='Columbus', organisation='', referrer='', adflag='N', adcampaign='', adurl='', product_id='10161' in D:\wwwroot_antibodies\system\library\db\mysqli.php on line 42 Anti-CSRP2/Dlp1 Antibody (A10161) | Antibodies.com
ISO 9001:2015 Certified
Live Customer Support
4.5/5 on Trustpilot
100% Quality Guarantee

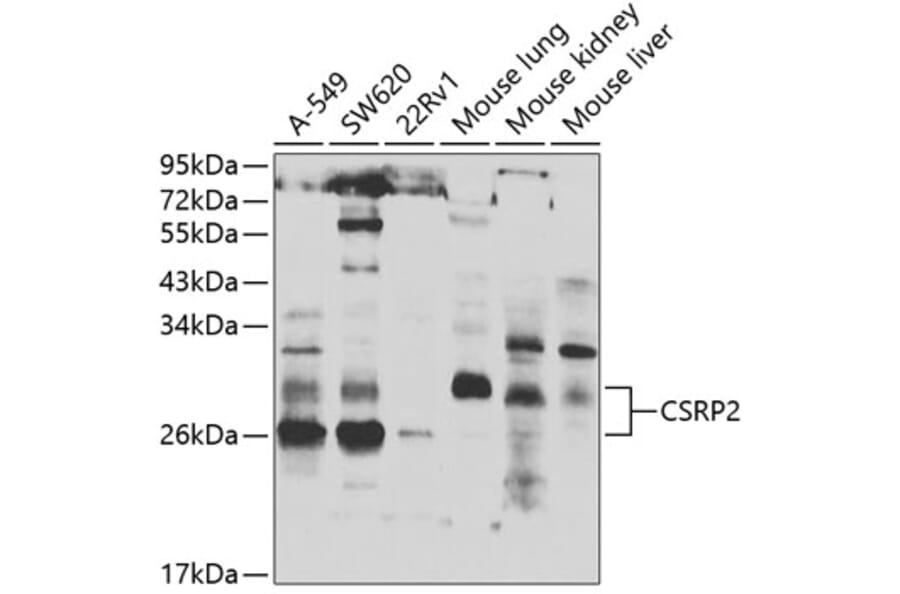
Anti-CSRP2/Dlp1 Antibody (A10161)

Rabbit polyclonal antibody to CSRP2/Dlp1 for WB.

Shipping Information

$40
Dispatched from St. Louis, MO.
Lead Time: 7-10 business days.
Name
Anti-CSRP2/Dlp1 Antibody
Description
Rabbit polyclonal antibody to CSRP2/Dlp1.
Applications
WB
Dilutions
WB: 1:500-1:2,000
Reactivity
Human, Mouse
Immunogen
Recombinant fusion protein containing a sequence corresponding to amino acids 1-193 of human CSRP2 (NP_001312.1).
Sequence
MPVWGGGNKCGACGRTVYHAEEVQCDGRSFHRCCFLCMVCRKNLDSTTVAIHDEEIYCKSCYGKKYGPKGYGYGQGAGTLNMDRGERLGIKPESVQPHRPTTNPNTSKFAQKYGGAEKCSRCGDSVYAAEKIIGAGKPWHKNCFRCAKCGKSLESTTLTEKEGEIYCKGCYAKNFGPKGFGYGQGAGALVHAQ
Host
Rabbit
Clonality
Polyclonal
Isotype
IgG
Conjugate

Unconjugated

Purification
Affinity purification.
Concentration
Lot Specific
Molecular Weight
26 - 30 kDa
Product Form
Liquid
Formulation
Supplied in Phosphate Buffered Saline, pH 7.3, with 50% Glycerol and 0.02% Sodium Azide.
Storage
Shipped at 4°C. Upon delivery aliquot and store at -20°C. Avoid freeze/thaw cycles.
Disclaimer
This product is for research use only. It is not intended for diagnostic or therapeutic use.
Publishing research using Anti-CSRP2/Dlp1 Antibody (A10161)? Please let us know so that we can list the citation on this page.