Primary Antibodies
Secondary Antibodies
Proteins & Peptides
ELISA Kits
About Us
Contact Us
Sign In/Register
0
ISO 9001:2015 Certified
Live Customer Support
4.5/5 on Trustpilot
100% Quality Guarantee
Home
Primary Antibodies
CST6 Antibodies
Anti-CST6 Antibody (A46786)
Anti-CST6 Antibody (A46786)
Overview
Specifications
Images
Enlarge Image
Enlarge Image
$430
Product Datasheet
Rabbit polyclonal antibody to CST6 for IHC.
100% Guarantee
Price Match Guarantee
Product Size:
100µl
Quantity:
1
2
3
4
5
6
7
8
9
10
Add To Cart
Request a Quotation
Custom or Bulk Request
Shipping Information
Freight/Packing Charges:
$40
Dispatched from St. Louis, MO.
Lead Time: 6-9 business days.
Specifications
Name
Anti-CST6 Antibody
Description
Rabbit polyclonal antibody to CST6
Specificity
The antibody detects endogenous levels of total CST6 protein.
Applications
IHC
Reactivity
Human
Immunogen
Fusion protein corresponding to a region derived from internal residues of human cystatin E / M
Host
Rabbit
Clonality
Polyclonal
Conjugate
Unconjugated
Purification
Antigen affinity purification.
Concentration
1.3 mg/mL
Formulation
Supplied in PBS, pH 7.3, containing 0.05% sodium azide and 50% glycerol.
Storage
Shipped at 4°C. Upon delivery aliquot and store at -20°C. Avoid freeze/thaw cycles.
Synonyms
Cystatin-6, Cystatin-E, Cystatin-M
Suitable Secondaries
Goat Anti-Rabbit IgG H&L Antibody (AP) (A294874)
Goat Anti-Rabbit IgG H&L Antibody (Biotin) (A294795)
Goat Anti-Rabbit IgG H&L Antibody (FITC) (A294887)
Goat Anti-Rabbit IgG H&L Antibody (HRP) (A294888)
See all Anti-Rabbit IgG Secondaries →
Disclaimer
This product is for research use only. It is not intended for diagnostic or therapeutic use.
Scientific Validation Data
Validation Data
(2)
Enlarge Image
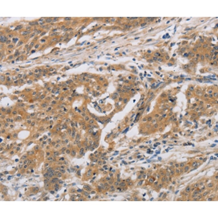
Immunohistochemistry - Anti-CST6 Antibody (A46786)
Immunohistochemical analysis of paraffin-embedded Human ovarian cancer tissue using #36393 at dilution 1/30.
Enlarge Image
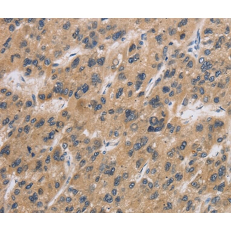
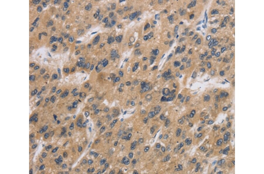
Immunohistochemistry - Anti-CST6 Antibody (A46786)
Immunohistochemical analysis of paraffin-embedded Human liver cancer tissue using #36393 at dilution 1/30.
Publishing research using Anti-CST6 Antibody (A46786)? Please
let us know
so that we can list the citation on this page.
Alternative products to Anti-CST6 Antibody (A46786)
(2)
A10301
Anti-CST6 Antibody
Rabbit polyclonal antibody to CST6 for WB and ICC/IF.
A29166
Anti-CST6 Antibody
Rabbit polyclonal antibody to CST6 for WB.
(2)
A10301
Anti-CST6 Antibody
Rabbit polyclonal antibody to CST6 for WB and ICC/IF.
A29166
Anti-CST6 Antibody
Rabbit polyclonal antibody to CST6 for WB.
Proteins predicted to interact with CST6
Predicted protein interactions based upon String database. Revelancy score correlates with probability of interaction.
Legumain Antibodies
99.7% Relevancy Score
Transglutaminase 3 Antibodies
86.7% Relevancy Score
Cathepsin S Antibodies
76% Relevancy Score
Cathepsin V Antibodies
58% Relevancy Score
Cathepsin L Antibodies
56.1% Relevancy Score
RanGAP1 Antibodies
51.8% Relevancy Score
BRMS1 Antibodies
50.9% Relevancy Score
Cathepsin B Antibodies
48.2% Relevancy Score
BRMS1L Antibodies
47.9% Relevancy Score
Top