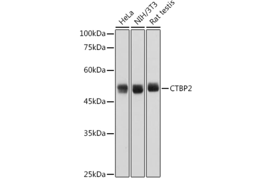
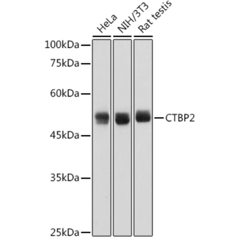
Western Blot - Anti-CTBP2 Antibody [ARC2509] (A308893)
Western blot analysis of extracts of various cell lines, using Anti-CTBP2 Antibody [ARC2509] (A308893) at 1:1,000 dilution. The secondary antibody was Goat Anti-Rabbit IgG H&L Antibody (HRP) at 1:10,000 dilution. Lysates/proteins were present at 25µg per lane. The blocking buffer used was 3% non-fat dry milk in TBST. Detection was with a ECL Basic Kit. Exposure time: 1s.
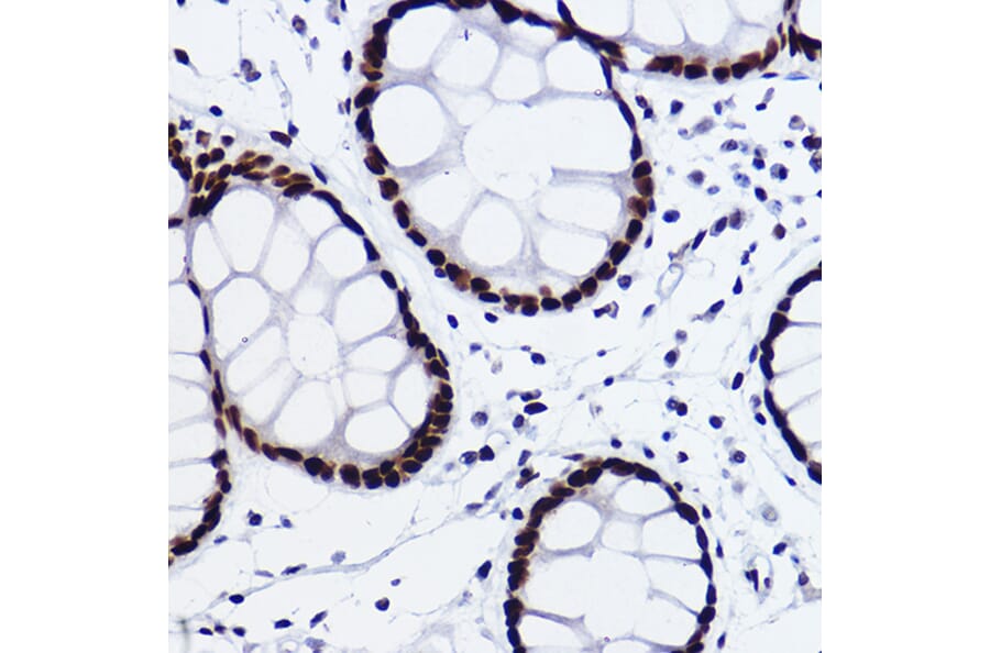
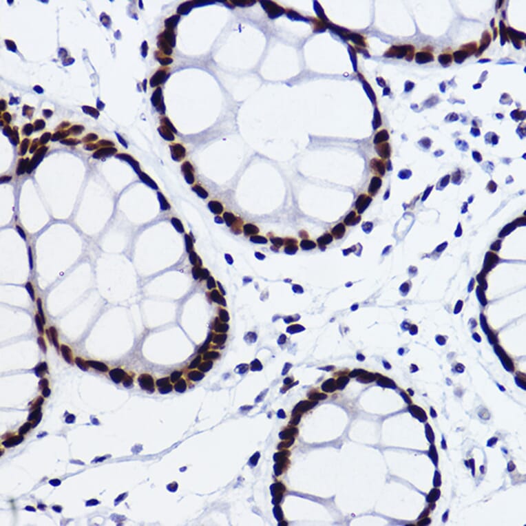
Immunohistochemistry analysis of paraffin-embedded human colon carcinoma tissue using Anti-CTBP2 Antibody [ARC2509] (A308893) at a dilution of 1:100 (40x lens). Perform high pressure antigen retrieval with 10 mM citrate buffer pH 6.0 before commencing with IHC staining protocol.
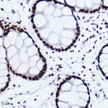
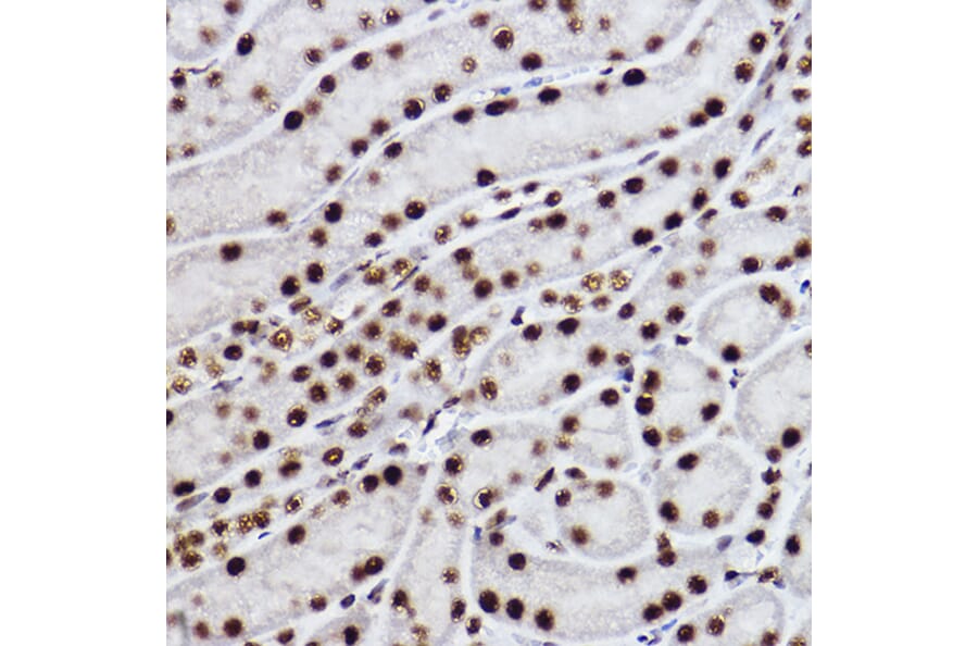
Immunohistochemistry analysis of paraffin-embedded mouse kidney using Anti-CTBP2 Antibody [ARC2509] (A308893) at a dilution of 1:100 (40x lens). Perform high pressure antigen retrieval with 10 mM citrate buffer pH 6.0 before commencing with IHC staining protocol.
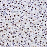
Immunohistochemistry analysis of paraffin-embedded rat ovary using Anti-CTBP2 Antibody [ARC2509] (A308893) at a dilution of 1:100 (40x lens). Perform high pressure antigen retrieval with 10 mM citrate buffer pH 6.0 before commencing with IHC staining protocol.
Immunofluorescence analysis of NIH/3T3 cells using Anti-CTBP2 Antibody [ARC2509] (A308893) at a dilution of 1:100 (40x lens). DAPI was used to stain the cell nuclei (blue).
Immunofluorescence analysis of PC-12 cells using Anti-CTBP2 Antibody [ARC2509] (A308893) at a dilution of 1:100 (40x lens). DAPI was used to stain the cell nuclei (blue).
Immunofluorescence analysis of U2OS cells using Anti-CTBP2 Antibody [ARC2509] (A308893) at a dilution of 1:100 (40x lens). DAPI was used to stain the cell nuclei (blue).
Western Blot - Anti-CTBP2 Antibody [ARC2509] (A308893)
Immunoprecipitation analysis of 300µg extracts of HeLa cells using 3µg of Anti-CTBP2 Antibody [ARC2509] (A308893). This Western blot was performed on the immunoprecipitate using Anti-CTBP2 Antibody [ARC2509] (A308893) at a dilution of 1:1000.