ISO 9001:2015 Certified
Live Customer Support
4.5/5 on Trustpilot
100% Quality Guarantee

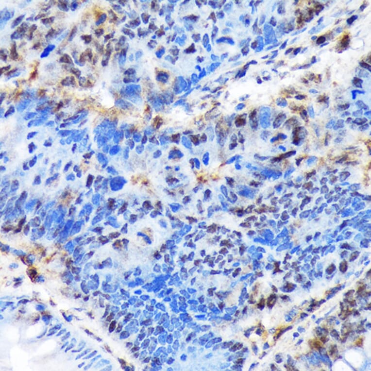
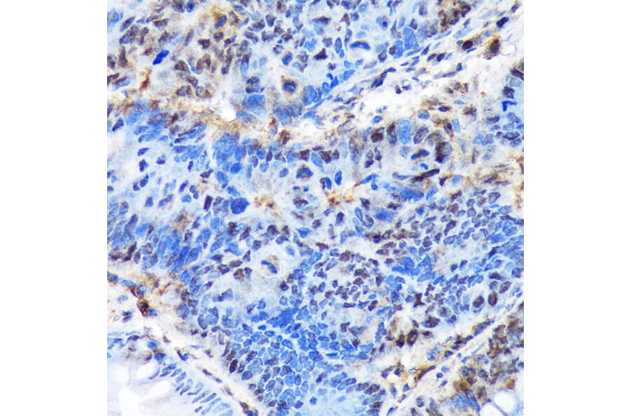
Anti-Ctip1/BCL-11A Antibody [ARC1486] (A305976)

Rabbit monoclonal [ARC1486] antibody to Ctip1/BCL-11A for WB and IHC.

Shipping Information

$40
Dispatched from St. Louis, MO.
Lead Time: 7-10 business days.
Name
Anti-Ctip1/BCL-11A Antibody [ARC1486]
Description
Rabbit monoclonal [ARC1486] antibody to Ctip1/BCL-11A.
Applications
WB, IHC
Dilutions
WB: 1:500-1:2,000, IHC: 1:50-1:200
Reactivity
Human, Mouse, Rat
Immunogen
Recombinant fusion protein containing a sequence corresponding to amino acids 401-589 of human CTIP1/BCL11A (Q9H165).
Sequence
GEKPYKCNLCDHACTQASKLKRHMKTHMHKSSPMTVKSDDGLSTASSPEPGTSDLVGSASSALKSVVAKFKSENDPNLIPENGDEEEEEDDEEEEEEEEEEEEELTESERVDYGFGLSLEAARHHENSSRGAVVGVGDESRALPDVMQGMVLSSMQHFSEAFHQVLGEKHKRGHLAEAEGHRDTCDEDS
Host
Rabbit
Clonality
Monoclonal
Clone ID
ARC1486
Isotype
IgG
Conjugate

Unconjugated

Purification
Affinity purification.
Concentration
Lot Specific
Molecular Weight
100 kDa
Product Form
Liquid
Formulation
Supplied in Phosphate Buffered Saline, pH 7.3, with 50% Glycerol, 0.05% BSA, and 0.02% Sodium Azide.
Storage
Shipped at 4°C. Upon delivery aliquot and store at -20°C. Avoid freeze/thaw cycles.
Disclaimer
This product is for research use only. It is not intended for diagnostic or therapeutic use.
Publishing research using Anti-Ctip1/BCL-11A Antibody [ARC1486] (A305976)? Please let us know so that we can list the citation on this page.