Western blot analysis of extracts of various cell lines, using Anti-CTNNA1 Antibody (A14873) at 1:1,000 dilution. The secondary antibody was Goat Anti-Rabbit IgG H&L Antibody (HRP) at 1:10,000 dilution. Lysates/proteins were present at 25µg per lane. The blocking buffer used was 3% non-fat dry milk in TBST. Detection was with a ECL Basic Kit. Exposure time: 60s.
Western blot analysis of extracts from normal (control) and alpha-Catenin Rabbit polyclonal antibody knockout (KO) 293T cells, using Anti-CTNNA1 Antibody (A14873) at 1:1,000 dilution. The secondary antibody was Goat Anti-Rabbit IgG H&L Antibody (HRP) at 1:10,000 dilution. Lysates/proteins were present at 25µg per lane. The blocking buffer used was 3% non-fat dry milk in TBST. Detection was with a ECL Basic Kit. Exposure time: 10s.
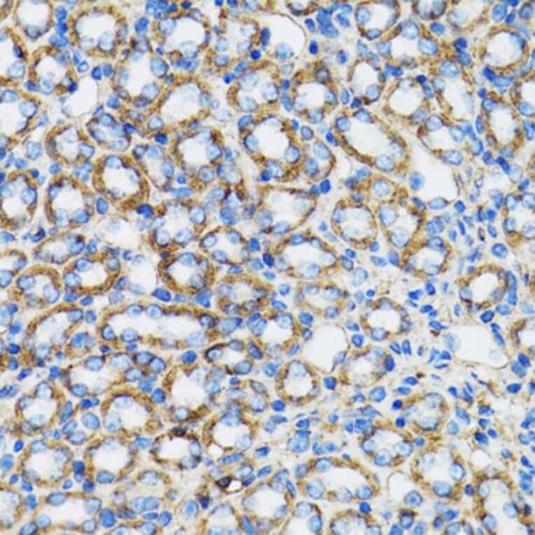
Immunohistochemistry analysis of paraffin-embedded rat kidney using Anti-CTNNA1 Antibody (A14873) at a dilution of 1:100 (40x lens). Perform microwave antigen retrieval with 10 mM PBS buffer pH 7.2 before commencing with IHC staining protocol.
Immunohistochemistry analysis of paraffin-embedded human vermiform appendix using Anti-CTNNA1 Antibody (A14873) at a dilution of 1:100 (40x lens). Perform microwave antigen retrieval with 10 mM PBS buffer pH 7.2 before commencing with IHC staining protocol.
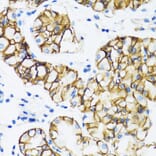
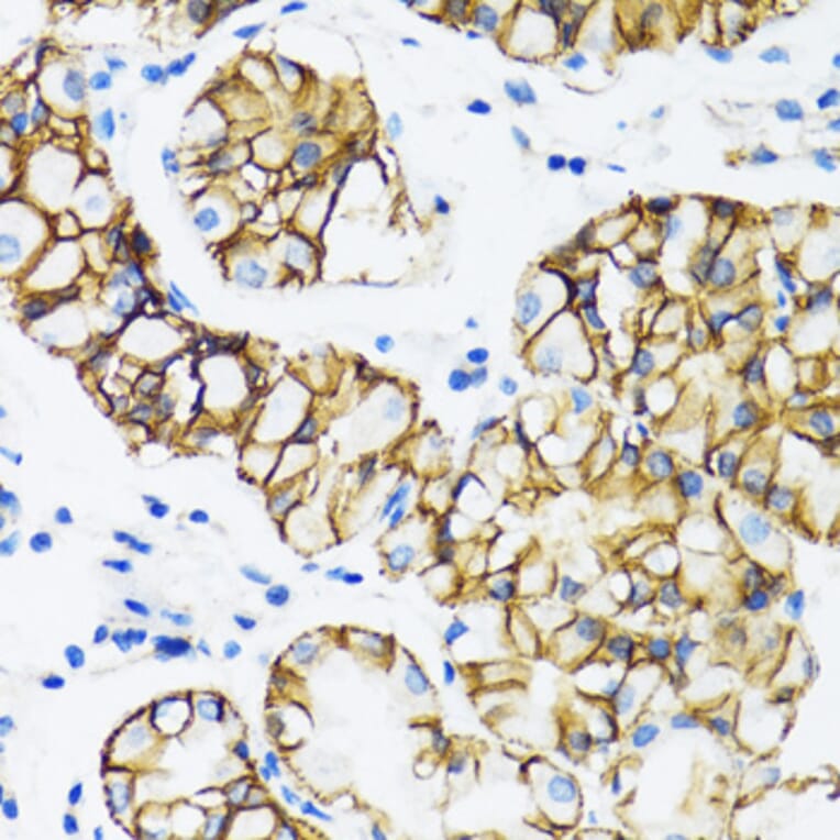
Immunohistochemistry analysis of paraffin-embedded human stomach using Anti-CTNNA1 Antibody (A14873) at a dilution of 1:100 (40x lens). Perform microwave antigen retrieval with 10 mM PBS buffer pH 7.2 before commencing with IHC staining protocol.
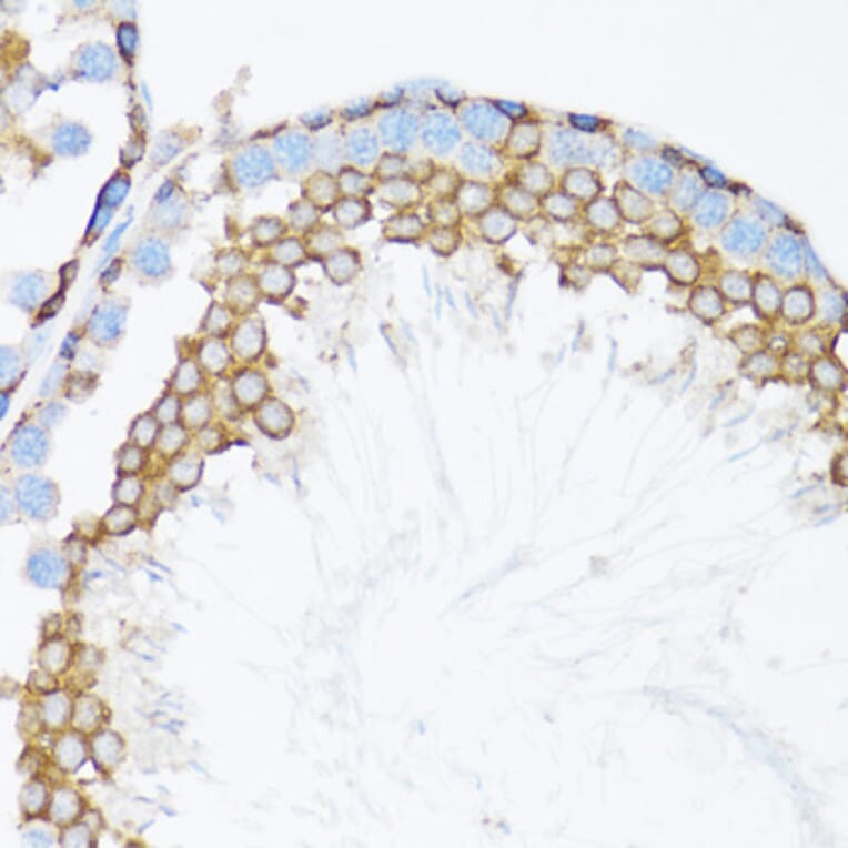
Immunohistochemistry analysis of paraffin-embedded mouse testis using Anti-CTNNA1 Antibody (A14873) at a dilution of 1:100 (40x lens). Perform microwave antigen retrieval with 10 mM PBS buffer pH 7.2 before commencing with IHC staining protocol.
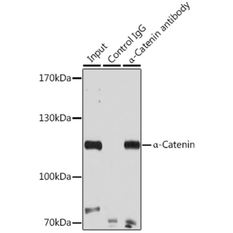
Immunoprecipitation analysis of 200µg extracts of 293T cells using 3µg of Anti-CTNNA1 Antibody (A14873). This Western blot was performed on the immunoprecipitate using Anti-CTNNA1 Antibody (A14873) at a dilution of 1:500.