Primary Antibodies
Secondary Antibodies
Proteins & Peptides
ELISA Kits
About Us
Contact Us
Sign In/Register
0
ISO 9001:2015 Certified
Live Customer Support
4.5/5 on Trustpilot
100% Quality Guarantee
Home
Primary Antibodies
CTRP4 Antibodies
Anti-CTRP4 Antibody (A47865)
Anti-CTRP4 Antibody (A47865)
Overview
Specifications
Images
Enlarge Image
Enlarge Image
$780
Product Datasheet
Rabbit polyclonal antibody to CTRP4 for ELISA, WB and IHC.
100% Guarantee
Price Match Guarantee
Product Size:
100µl
Quantity:
1
2
3
4
5
6
7
8
9
10
Add To Cart
Request a Quotation
Custom or Bulk Request
Shipping Information
Freight/Packing Charges:
$40
Dispatched from St. Louis, MO.
Lead Time: 6-9 business days.
Specifications
Name
Anti-CTRP4 Antibody
Description
Rabbit polyclonal antibody to CTRP4
Specificity
These proteins are often highly modified post-translationally and migrate in SDS-PAGE at positions other than their predicted size.
Applications
ELISA
,
WB
,
IHC
Reactivity
Human, Mouse, Rat
Immunogen
Raised against a 16 amino acid peptide from near the carboxy terminus of human CTRP4.
Host
Rabbit
Clonality
Polyclonal
Conjugate
Unconjugated
Purification
Affinity chromatography purified via peptide column
Formulation
Supplied in phosphate-buffered saline with 0.02% Sodium Azide.
Storage
Shipped at 4°C. Upon delivery aliquot and store at -20°C. Avoid freeze/thaw cycles.
Synonyms
C1q/TNF-related protein 4, C1QTNF4, Complement C1q tumor necrosis factor-related protein 4
Suitable Secondaries
Goat Anti-Rabbit IgG H&L Antibody (AP) (A294874)
Goat Anti-Rabbit IgG H&L Antibody (Biotin) (A294795)
Goat Anti-Rabbit IgG H&L Antibody (FITC) (A294887)
Goat Anti-Rabbit IgG H&L Antibody (HRP) (A294888)
See all Anti-Rabbit IgG Secondaries →
Disclaimer
This product is for research use only. It is not intended for diagnostic or therapeutic use.
Scientific Validation Data
Validation Data
(2)
Enlarge Image
Anti-CTRP4 Antibody (A47865)
Western blot analysis of CTRP4 in rat brain cell lysate with CTRP4 antibody at (A) 1, (B) 2, and (C) 4 µg/mL.
Enlarge Image
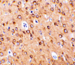
Immunohistochemistry - Anti-CTRP4 Antibody (A47865)
Immunohistochemistry of CTRP4 in rat brain with CTRP4 antibody at 10 µg/mL.
Publishing research using Anti-CTRP4 Antibody (A47865)? Please
let us know
so that we can list the citation on this page.
Alternative products to Anti-CTRP4 Antibody (A47865)
(2)
A47866
Anti-CTRP4 Antibody
Rabbit polyclonal antibody to CTRP4 for ELISA, WB and IHC.
(2)
A47866
Anti-CTRP4 Antibody
Rabbit polyclonal antibody to CTRP4 for ELISA, WB and IHC.
Proteins predicted to interact with CTRP4
Predicted protein interactions based upon String database. Revelancy score correlates with probability of interaction.
MTCH2 Antibodies
48.8% Relevancy Score
PLEKHM1 Antibodies
38.1% Relevancy Score
STK32A Antibodies
36.7% Relevancy Score
GAT1 Antibodies
35.8% Relevancy Score
NDUFS3 Antibodies
32.2% Relevancy Score
VGAT Antibodies
31% Relevancy Score
CRHR1 Antibodies
30.4% Relevancy Score
GPCR PGR10 Antibodies
30.3% Relevancy Score
RFWD3 Antibodies
30.2% Relevancy Score
Top