Primary Antibodies
Secondary Antibodies
Proteins & Peptides
ELISA Kits
About Us
Contact Us
Sign In/Register
0
ISO 9001:2015 Certified
Live Customer Support
4.5/5 on Trustpilot
100% Quality Guarantee
Home
Primary Antibodies
CUL1 Antibodies
Anti-CUL1 Antibody (A47057)
Anti-CUL1 Antibody (A47057)
Overview
Specifications
Images
Enlarge Image
Enlarge Image
$430
Product Datasheet
Rabbit polyclonal antibody to CUL1 for IHC.
100% Guarantee
Price Match Guarantee
Product Size:
100µl
Quantity:
1
2
3
4
5
6
7
8
9
10
Add To Cart
Request a Quotation
Custom or Bulk Request
Shipping Information
Freight/Packing Charges:
$40
Dispatched from St. Louis, MO.
Lead Time: 6-9 business days.
Specifications
Name
Anti-CUL1 Antibody
Description
Rabbit polyclonal antibody to CUL1
Specificity
The antibody detects endogenous levels of total CUL1 protein.
Applications
IHC
Reactivity
Human, Mouse
Immunogen
Synthetic peptide of human CUL1
Host
Rabbit
Clonality
Polyclonal
Conjugate
Unconjugated
Purification
Antigen affinity purification.
Concentration
1.2 mg/mL
Formulation
Rabbit IgG in pH7.4 PBS, 0.05% NaN3, 40% Glycerol.
Storage
Shipped at 4°C. Upon delivery aliquot and store at -20°C. Avoid freeze/thaw cycles.
Synonyms
CUL-1, Cullin-1
Suitable Secondaries
Goat Anti-Rabbit IgG H&L Antibody (AP) (A294874)
Goat Anti-Rabbit IgG H&L Antibody (Biotin) (A294795)
Goat Anti-Rabbit IgG H&L Antibody (FITC) (A294887)
Goat Anti-Rabbit IgG H&L Antibody (HRP) (A294888)
See all Anti-Rabbit IgG Secondaries →
Disclaimer
This product is for research use only. It is not intended for diagnostic or therapeutic use.
Scientific Validation Data
Validation Data
(2)
Enlarge Image
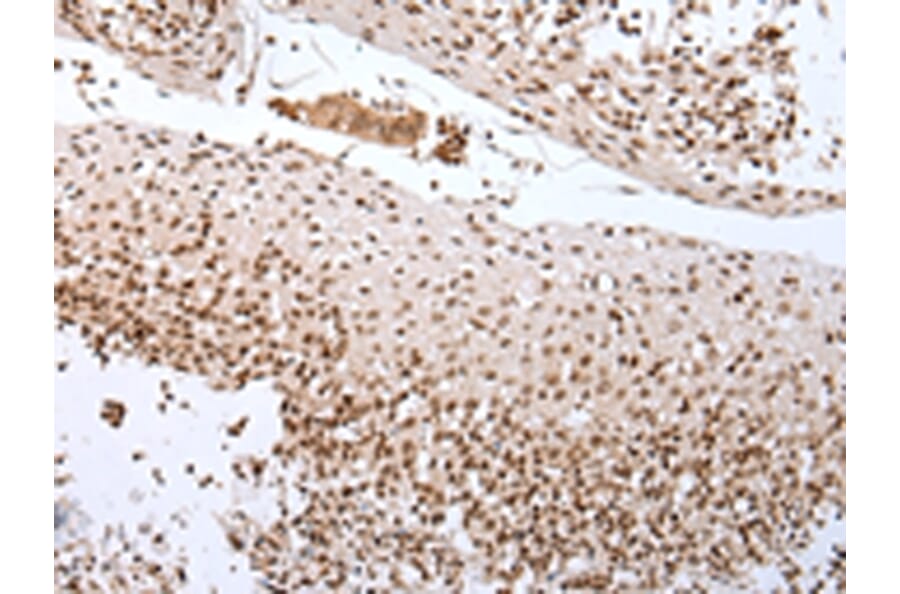
Immunohistochemistry - Anti-CUL1 Antibody (A47057)
Immunohistochemical analysis of paraffin-embedded Human tonsil tissue using #43243 at dilution 1/20.
Enlarge Image
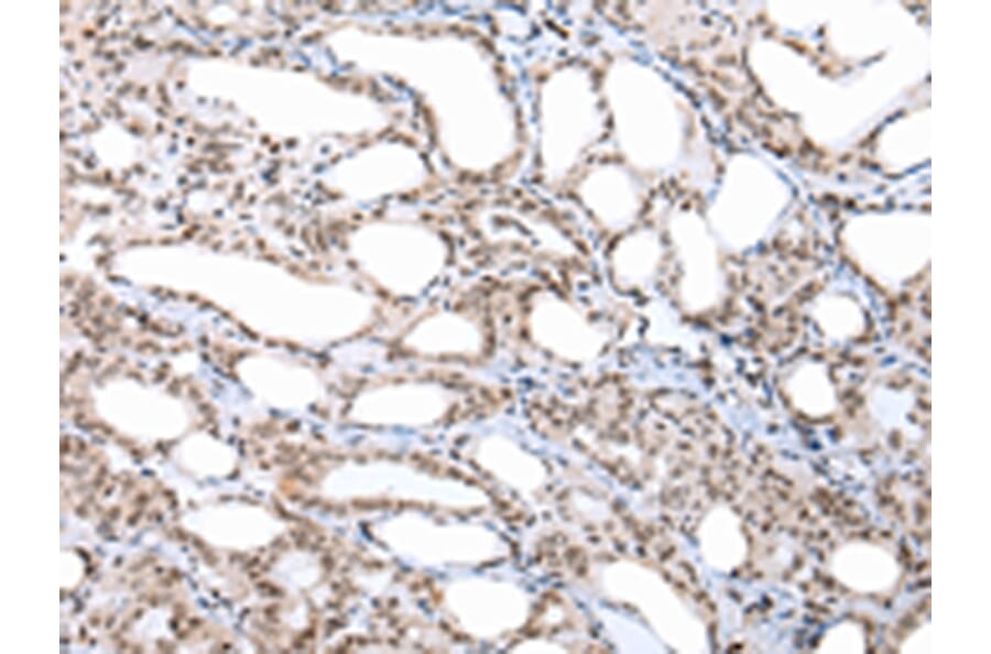
Immunohistochemistry - Anti-CUL1 Antibody (A47057)
Immunohistochemical analysis of paraffin-embedded Human thyroid cancer tissue using #43243 at dilution 1/20.
Publishing research using Anti-CUL1 Antibody (A47057)? Please
let us know
so that we can list the citation on this page.
Alternative products to Anti-CUL1 Antibody (A47057)
(5)
A95442
Anti-Cullin 1 Antibody
Rabbit polyclonal antibody to Cullin 1 for WB, IHC, IF and ELISA.
(2)
A25110
Anti-CUL-1 (Y761) Antibody
Rabbit polyclonal antibody to CUL-1 (Y761) for WB, IHC and IF.
(2)
A30023
Anti-CUL1 Antibody
Rabbit polyclonal antibody to CUL1 for WB and IHC.
(2)
A38496
Anti-CUL1 Antibody
Rabbit polyclonal antibody to CUL1 for WB and ICC/IF.
A345530
Anti-CUL1 Antibody [23GB1555]
Recombinant rabbit monoclonal [23GB1555] antibody to CUL1 for WB, Flow Cytometry and ICC/IF.
A345528
Anti-CUL1 Antibody [24GB11015]
Recombinant rabbit monoclonal [24GB11015] antibody to CUL1 for WB, Flow Cytometry and ICC/IF.
(5)
A95442
Anti-Cullin 1 Antibody
Rabbit polyclonal antibody to Cullin 1 for WB, IHC, IF and ELISA.
(2)
A25110
Anti-CUL-1 (Y761) Antibody
Rabbit polyclonal antibody to CUL-1 (Y761) for WB, IHC and IF.
(2)
A30023
Anti-CUL1 Antibody
Rabbit polyclonal antibody to CUL1 for WB and IHC.
(2)
A38496
Anti-CUL1 Antibody
Rabbit polyclonal antibody to CUL1 for WB and ICC/IF.
A345530
Anti-CUL1 Antibody [23GB1555]
Recombinant rabbit monoclonal [23GB1555] antibody to CUL1 for WB, Flow Cytometry and ICC/IF.
A345528
Anti-CUL1 Antibody [24GB11015]
Recombinant rabbit monoclonal [24GB11015] antibody to CUL1 for WB, Flow Cytometry and ICC/IF.
See all CUL1 Antibodies
Proteins predicted to interact with CUL1
Predicted protein interactions based upon String database. Revelancy score correlates with probability of interaction.
DCUN1D1 Antibodies
99.9% Relevancy Score
FBXW7 Antibodies
99.9% Relevancy Score
RBX1 Antibodies
99.9% Relevancy Score
beta TRCP2 Antibodies
99.9% Relevancy Score
UBC12 Antibodies
99.9% Relevancy Score
NEDD8 Antibodies
99.9% Relevancy Score
IkB alpha Antibodies
99.9% Relevancy Score
beta TRCP Antibodies
99.9% Relevancy Score
FBXL5 Antibodies
99.9% Relevancy Score
Top