ISO 9001:2015 Certified
Live Customer Support
4.5/5 on Trustpilot
100% Quality Guarantee

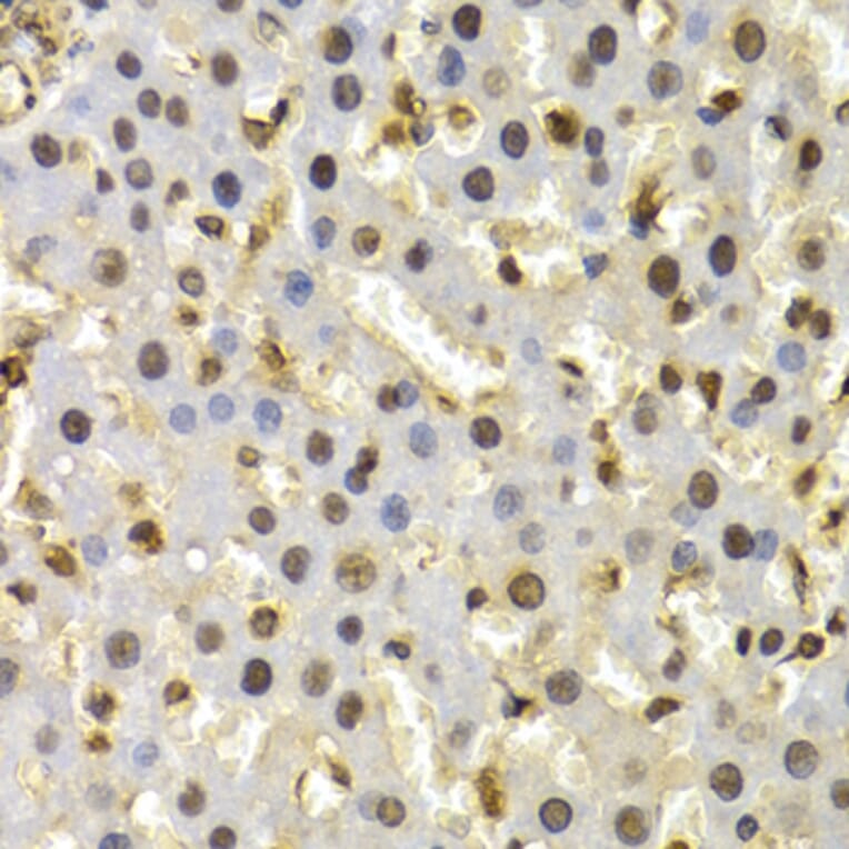
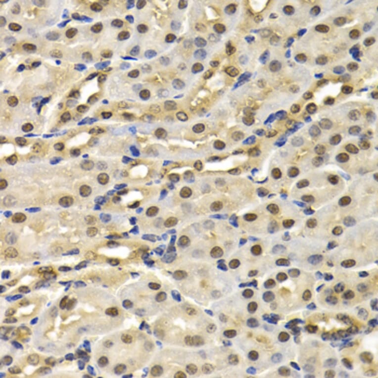
Anti-CUL4B Antibody (A30962)

$435

Rabbit polyclonal antibody to CUL4B for WB, IHC and IF.

Shipping Information

$40
Dispatched from St. Louis, MO.
Lead Time: 7-10 business days.
Name
Anti-CUL4B Antibody
Description
Rabbit polyclonal antibody to CUL4B
Specificity
CUL4B pAb detects endogenous levels of CUL4B protein.
Applications
WB, IHC, IF
Reactivity
Human, Mouse, Rat
Immunogen
Recombinant full length Human CUL4B.
Host
Rabbit
Clonality
Polyclonal
Conjugate

Unconjugated

Molecular Weight
~ 103 kDa
Purity
The antibody was affinity-purified from rabbit antiserum by affinity-chromatography using epitope-specific immunogen and the purity is > 95% (by SDS-PAGE).
Product Form
1mg/ml in PBS with 0.1% Sodium Azide, 50% Glycerol.
Synonyms
CUL-4B, Cullin-4B, KIAA0695
Disclaimer
This product is for research use only. It is not intended for diagnostic or therapeutic use.
Publishing research using Anti-CUL4B Antibody (A30962)? Please let us know so that we can list the citation on this page.

Alternative products to Anti-CUL4B Antibody (A30962)

Proteins predicted to interact with CUL4B

Predicted protein interactions based upon String database. Revelancy score correlates with probability of interaction.
99.9% Relevancy Score
99.9% Relevancy Score
99.9% Relevancy Score
99.9% Relevancy Score
99.9% Relevancy Score
99.9% Relevancy Score
99.8% Relevancy Score
99.7% Relevancy Score
99.6% Relevancy Score